مقدمهای بر سندرم چشم گربه ای (Cat Eye Syndrome یا CES)
سندرم چشم گربه ای (Cat Eye Syndrome یا CES) یک اختلال کروموزومی نادر است که ممکن است در بدو تولد آشکار شود. افرادی که آرایش کروموزومی طبیعی دارند، دارای دو کروموزوم 22 هستند که هر دو بازوی کوتاه به نام 22p و بازوی بلند به نام 22q دارند. با این حال، در افراد مبتلا به CES، بازوی کوتاه و ناحیه کوچکی از بازوی بلند کروموزوم 22 (یعنی 22pter-22q11) چهار بار (تترازومی جزئی یا partial tetrasomy) به جای دو بار در سلولهای بدن وجود دارد. در تعداد کمی از افراد مبتلا به CES، ناحیه 22q11 در 3 نسخه وجود دارد (تریزومی جزئی یا partial trisomy).
نام “سندرم چشم گربه ای” از یک ناهنجاری چشمی (ocular) مشخص گرفته شده است که در کمی بیش از نیمی از افراد مبتلا وجود دارد. این نقص که به عنوان کولوبوما (coloboma) شناخته میشود، معمولاً به صورت شکاف یا گپی در عنبیه زیر مردمک ظاهر میشود و بنابراین مردمک کشیده شبیه به چشم گربه است.
با این حال، بسیاری از ویژگیهای دیگر مرتبط با CES وجود دارد که شامل بسیاری از اندامها و سیستمها میشود. این علائم ناشی از رشد غیر طبیعی در مراحل جنینی و درون رحمی است. علائم همراه در حضور و شدت از فردی به فرد دیگر، از جمله در میان اعضای همان خانواده، بسیار متفاوت است. سندرم چشم گربه ای را میتوان به عنوان یک طیف اختلال در نظر گرفت. در حالی که برخی افراد ممکن است تظاهرات کم یا خفیف داشته باشند، برخی دیگر ممکن است ناهنجاریهای شدید متعدد داشته باشند.
مترادفها
- CES
- کروموزوم 22، تکثیر معکوس یا inverted duplication (22pter-22q11)
- کروموزوم 22، تترازومی جزئی یا partial tetrasomy (22pter-22q11)
- کروموزوم 22، تریزومی جزئی یا partial trisomy (22pter-22q11)
- سندرم اشمید فراکارو (Schmid-Fraccaro syndrome)
علائم و نشانهها
علائم کلاسیک مرتبط با سندرم چشم گربه ای عبارت اند از کولوبوما چشمی (ocular coloboma)، آترزی مقعد (anal atresia) و تگها یا حفرههای پوستی پیش گوش با نقص جزئی گوش یا minor ear defect preauricular skin tags or pits (برای توضیحات به مباحث زیر مراجعه کنید). با این حال، این سندرم بسیار متغیر است و تخمین زده شده است که تنها 41 درصد از بیماران مبتلا به CES این سه گانه کلاسیک از علائم را دارند (Berends et al, 2001). به طور کلی ناهنجاریهای مرتبط با CES معمولاً چشمها، گوشها، ناحیه مقعد، قلب و یا کلیهها را درگیر میکنند اما سایر اندامها ممکن است درگیری را نشان دهند و برخی از افراد ناتوانی ذهنی نشان میدهند.

در زیر به رایج ترین ویژگیهای CES پرداخته شده است. این تخمینها احتمالاً بیش از حد برآورد میشوند. برخی از افراد مبتلا ممکن است هیچ علامتی نداشته باشند (بدون علامت یا asymptomatic) یا علائم بسیار کمی داشته باشند که ممکن است اختلال در آنها تشخیص داده نشود. اگرچه کروموزوم CES معمولا جدید است و از والدین به ارث نمیرسد، چند مورد ارثی وجود دارد که تولد کودکی با ویژگیهای متعدد CES منجر به کشف یک مورد خفیف در والدین میشود.
بروز موارد خفیف ناشناخته CES در جمعیت، اگرچه نادر است، ناشناخته است. بنابراین وجود کروموزوم CES به هیچ وجه وجود یا شدت علائم را پیش بینی نمیکند. افراد مبتلا به ندرت همه علائمی را که در زیر مورد بحث قرار گرفته است، خواهند داشت و هر مورد متفاوت و منحصر به فرد است. اگر یک علامت فقط در یک مورد وجود داشته باشد، ممکن است علت مستقلی داشته باشد (نه بخشی از سندرم باشد). والدین باید با پزشک و تیم پزشکی فرزندان خود در مورد کودک خود، علائم بالقوه مرتبط و پیش آگهی کلی صحبت کنند.
1) کولوبوما و سایر ناهنجاریهای چشمی
کولوبوما (کلوبوماس – colobomas یا کولوبوما جمعی – plural colobomata) شامل فقدان نسبی بافت چشمی است که اغلب هر دو چشم را درگیر میکند (دو طرفه). این ناشی از عدم بسته شدن یک شکاف در قسمت پایینی چشم در مراحل اولیه رشد است و در نتیجه شکاف یا گپی باقی میماند. بافتهای چشمی آسیب دیده ممکن است شامل بخش رنگی چشم باشد که میزان نور وارد شده به چشم را کنترل میکند (عنبیه یا iris)، بخش قهوه ای تیره و لایه میانی (مشیمیه یا choroid) و یا غشای داخلی غنی از عصب (شبکیه یا retina) چشم.
کلوبومای عنبیه ممکن است به عنبیه ظاهری غیر عادی “چاله کلید یا keyhole” بدهد. اگر فقط عنبیه درگیر باشد، بینایی تحت تأثیر قرار نمیگیرد. با این حال، یک کولوبوما گستردهتر که لایههای دیگر چشم را درگیر میکند ممکن است منجر به نقص بینایی و یا کوری شود. اگرچه کولوبوما در ابتدا یکی از ویژگیهای اصلی این اختلال در نظر گرفته میشد، این ناهنجاری تنها در کمی بیش از نیمی از افراد مبتلا به سندرم چشم گربه ای وجود دارد.
برخی از افراد مبتلا دارای ناهنجاریهای اضافی چشمی هستند، مانند چشمهای ضربدری (استرابیسم یا strabismus) و یا کوچکی غیر طبیعی یکی از چشمها (میکروفتالمی یک طرفه یا unilateral microphthalmia). در موارد کمتر رایج، سایر نقایص چشمی از جمله عدم وجود عنبیه (آنیریدیا یا aniridia)، کدر شدن ناحیه گنبدی شکل و معمولاً شفاف جلوی کره چشم (قرنیه)، عدم وجود بافت در بخشهایی از پلک (کلوبومای پلک یا eyelid coloboma)، از دست دادن شفافیت عدسی چشم (آب مروارید یا cataract) و یا سندرم دوان (Duane syndrome) ممکن است وجود داشته باشد.
حالت دوم، وضعیتی است که با محدودیت یا عدم وجود برخی حرکات افقی چشم و جمع شدن یا “بازگشت” کره چشم به داخل حفره چشم (مدار یا orbit) در هنگام تلاش برای نگاه کردن به داخل مشخص میشود.
در برخی موارد، بسته به شدت و یا ترکیبی از ناهنجاریهای چشمی موجود، درجات مختلفی از اختلال بینایی ممکن است منجر شود، از جمله کوری.
2) ناهنجاریهای مقعدی
تقریباً در سه چهارم از افراد مبتلا، دهانه مقعد ممکن است به طور غیر معمول کوچک یا باریک باشد (تنگی مقعد یا anal stenosis) یا کانال مقعد ممکن است وجود نداشته باشد (آترزی مقعد یا anal atresia)، گاهی اوقات با یک گذر (فیستول یا fistula) از قسمت انتهایی روده بزرگ (رکتوم یا rectum) به مکانهای غیر عادی.
در مردان، فیستول ممکن است بین رکتوم و اندام عضلانی که ادرار را جمعآوری میکند (مثانه یا bladder)، لولهای که ادرار را از مثانه دفع میکند (مجرای ادرار مثانه یا urethra) یا ناحیه پشت دستگاه تناسلی (پرینه یا perineum) تشکیل شود. در زنان، فیستول ممکن است بین رکتوم و مثانه یا واژن وجود داشته باشد. آترزی و فیستول مقعد با جراحی اصلاح میشوند.
3) ناهنجاریهای گوش
سومین ویژگی کلاسیک CES تگها و یا حفرههای پوستی پیش گوش است. این شایع ترین ویژگی CES است که در بیش از 80 درصد افراد دیده میشود. افراد مبتلا ممکن است برآمدگیهای کوچکی از پوست (برچسبها یا tags) و یا فرورفتگیهای خفیف (حفره) در جلوی گوشهای خارجی (پیش گوش یا preauricular) داشته باشند.
علاوه بر این، قسمتهای بیرونی گوشها (auricles) ممکن است کم شنوا و یا بدشکل (دیسپلاستیک یا dysplastic) بوده و گاهی با انتهای کور یا بدون کانالهای گوش خارجی (میکروتیا یا microtia) باشد. در بیشتر موارد، فقدان (آترزی) مجرای گوش خارجی تمایل دارد یک گوش را تحت تأثیر قرار دهد و ممکن است به دلیل انتقال ناکافی صدا از گوش خارجی به گوش داخلی (کاهش شنوایی رسانایی یا conductive hearing loss) باعث اختلال شنوایی خفیف شود.
4) نقایص قلبی
حدود نیمی از افراد مبتلا به سندرم چشم گربه ای در بدو تولد دارای ناهنجاریهای ساختاری قلب هستند (نقایص مادرزادی قلب)، به ویژه “بازگشت غیر عادی کامل ورید ریوی یا total anomalous pulmonary venous return” یا “تترالوژی فالوت یا tetralogy of Fallot”. علائم و یافتههای مرتبط ممکن است بسته به اندازه، ماهیت و یا ترکیبی از ناهنجاریهای قلبی موجود متفاوت باشد. در افراد مبتلا به بیماری شدید، بیماری مادرزادی قلبی ممکن است منجر به عوارض تهدید کننده زندگی شود.
بازگشت غیر عادی کامل ورید ریوی (Total anomalous pulmonary venous return یا TAPVR) با اختلال در جریان خون به قلب مشخص میشود. وریدهای ریوی به طور معمول خون اکسیژن دار را از هر دو ریه به اتاق فوقانی چپ (دهلیز چپ) قلب باز میگردانند. با این حال، در نوزادان مبتلا به TAPVR، وریدهای ریوی به طور نامناسب خون را مستقیماً به اتاقک بالای سمت راست (دهلیز راست) قلب یا به وریدهایی که به دهلیز راست تخلیه میکنند، باز میگردانند.
همچنین سوراخی بین دو دهلیز (نقص سپتوم دهلیزی یا atrial septal defect) وجود دارد که منجر به مخلوط شدن خون اکسیژن دار و خون دارای اکسیژن کم میشود.
علائم و یافتههای مرتبط ممکن است شامل تغییر رنگ مایل به آبی پوست و غشاهای مخاطی به دلیل اکسیژن خون پایین (سیانوز یا cyanosis)، تنفس سریع غیر طبیعی (تاکی پنه یا tachypnea)، افزایش فشار خون در ریهها (فشار خون ریوی یا pulmonary hypertension)، ناتوانی قلب در پمپاژ خون کافی به سمت بدن باشد. نیازهای بدن برای اکسیژن (نارسایی قلبی) و یا سایر ناهنجاریها را برآورده کند. اگرچه TAPVR یک نقص قلبی نادر است که تنها 1-2 درصد از نقایص قلبی را در کودکان نشان میدهد، یکی از شایع ترین نقصهای قلبی در CES است.
تترالوژی فالوت (Tetralogy of Fallot) از ترکیبی از نقایص قلبی تشکیل شده است. اینها شامل یک باز شدن غیر طبیعی در پارتیشن (سپتوم یا septum) جدا کننده دو حفره پایینی قلب (نقص سپتوم بطنی یا ventricular septal defect) است. انسداد جریان خروجی مناسب خون از بطن راست به ریهها به دلیل باریک شدن دهانه بین بطن و شریان ریوی (تنگی ریوی یا pulmonary stenosis)، جابجایی آئورت، امکان جریان یافتن خون فاقد اکسیژن از بطن راست به بطن آئورت و ضخیم شدن (هیپرتروفی یا hypertrophy) عضله قلب بطن راست است.
شریان ریوی خون خالی از اکسیژن را از بطن راست به ریهها منتقل میکند، جایی که تبادل اکسیژن و دی اکسید کربن اتفاق میافتد. آئورت (aorta)، شریان اصلی بدن، از بطن چپ سرچشمه میگیرد و خون غنی از اکسیژن را برای اکثر شریانها تامین میکند. علائم مرتبط با تترالوژی فالوت میتواند در یک فرد در مقایسه با فرد دیگر متفاوت باشد.
سوراخهای بین دهلیزها یا بطنها (نقص سپتوم دهلیزی یا بطنی) نیز از نقایص شایع قلبی مرتبط با CES هستند. انواع دیگر نقایص قلبی گزارش شده است.
5) نقص کلیه و دستگاه تناسلی
در مجموع نقایص سیستم ادراری و اندامهای تناسلی به عنوان نقصهای دستگاه ادراری-تناسلی طبقه بندی میشوند. این دو سیستم منشأ مشترکی در جنین دارند. نقایص کلیوی معمولی مرتبط با CES شامل توسعه نیافتگی یک یا هر دو کلیه (هیپوپلازی کلیوی یک طرفه یا دو طرفه یا unilateral or bilateral renal hypoplasia)، عدم وجود کلیه (آژنزی یک طرفه یا unilateral agenesis)، وجود یک کلیه اضافی (supernumerary kidney)، تورم غیر طبیعی (اتساع) و تجمع ادرار در کلیهها (هیدرونفروز یا hydronephrosis) و یا رشد غیر طبیعی کیستهای کلیه (دیسپلازی کیستیک یا cystic dysplasia) است. نقایص معمول دستگاه تناسلی در زنان شامل توسعه نیافتگی رحم، فقدان واژن یا دستگاه تناسلی غیر طبیعی است.
در مردان نقایص شامل بیضههای نزول نکرده (کریپتورکیدیسم یا cryptorchidism) و ناهنجاریهای خارجی تناسلی است.
6) ناتوانی ذهنی
برخی از افراد مبتلا به سندرم چشم گربه ای دارای هوش طبیعی هستند. با این حال، برخی ممکن است ناتوانی ذهنی مرزی نرمال تا خفیف، یا کمتر معمول، ناتوانی ذهنی متوسط داشته باشند. Berends و همکاران، در سال 2001 نمرات IQ ۵۱ بیمار را مقایسه کردند و 47 درصد در محدوده نرمال، 22 درصد نرمال مرزی، 18 درصد با ناتوانی ذهنی خفیف و 14 درصد با ناتوانی ذهنی متوسط یافتند. موارد نادری از ناتوانی ذهنی شدید نیز گزارش شده است. افراد دارای ناتوانی ذهنی ممکن است در رسیدن به نقاط عطف رشدی که نیاز به هماهنگی فعالیت عضلانی و ذهنی دارند (تاخیرهای روانی حرکتی یا psychomotor delays) تاخیر داشته باشند.
7) نقصهای اسکلتی
ناهنجاریهای اسکلتی معمولی ممکن است شامل انحنای جانبی غیر طبیعی ستون فقرات (اسکولیوز یا scoliosis)، همجوشی غیر طبیعی برخی از استخوانها در ستون فقرات (همجوشی مهرهها یا vertebral fusions)، عدم وجود استخوان در سمت شست ساعد (آپلازی رادیال یا radial aplasia)، عدم وجود یا همجوشی غیر طبیعی (سینوستوز یا synostosis) برخی دندهها، عدم وجود انگشتان معین و یا تکثیر انگشتان بزرگ (هالوکس یا hallux) و یا دررفتگی باسن باشد.
8) نقایص شکمی
در برخی از افراد مبتلا به CES، بخشهایی از روده ممکن است از طریق نقص در دیواره شکم در ناف (فتق ناف یا umbilical hernia) یا به کانالی که از لایههای عضلانی پایینی دیواره شکم عبور میکند (فتق مغبنی یا inguinal hernia) بیرون بزند.
ویژگیهای دیگر گزارش شده شامل برآمدگی کیسه ای غیر طبیعی (دیورتیکول Meckel) از روده کوچک تحتانی (ایلئوم یا ileum) یا بیماری هیرشپرونگ (Hirschsprung disease) است که چرخش ناقص قسمت بالای روده بزرگ (سکوم یا cecum) و یا عدم وجود گروههایی از رشتههای عصبی (گانگلیون یا ganglia) در دیواره عضلانی روده بزرگ که منجر به اختلال یا عدم وجود انقباضات غیر ارادی و ریتمیک (پریستالسیس یا peristalsis) میشود که مواد زائد را از طریق دستگاه گوارش تحتانی به حرکت در میآورد.
یافتههای مرتبط ممکن است شامل تجمع غیر طبیعی مدفوع در روده بزرگ، گشاد شدن کولون در بالای بخش آسیب دیده (مگاکولون یا megacolon)، نفخ شکم، استفراغ دورهای، از دست دادن اشتها (بیاشتهایی یا anorexia) و یا سایر ناهنجاریها باشد.
علاوه بر این، مجاری صفراوی ممکن است رشد نکنند یا به طور غیر طبیعی رشد کنند (آترزی صفراوی یا biliary atresia). صفرا (Bile)، مایعی که از کبد ترشح میشود، نقش اساسی در حمل مواد زائد از کبد و تجزیه چربیها در روده کوچک دارد. مجاری صفراوی لولههای باریکی هستند که صفرا از طریق آنها از کبد به اولین بخش روده کوچک (اثنی عشر یا duodenum) میرسد.
به دلیل عدم توسعه یا رشد نکردن مجاری صفراوی، صفرا قادر به رسیدن به روده نیست و به طور غیر طبیعی در کبد تجمع مییابد. یافتههای مرتبط ممکن است شامل زرد شدن پوست، غشاهای مخاطی و سفیدی چشم (یرقان یا (jaundice)، ادرار تیره غیر طبیعی، مدفوع رنگ پریده، بزرگ شدن کبد، شکست رشد باشد. بدون درمان مناسب، اسکار و اختلال در عملکرد کبد ممکن است منجر به عوارض بالقوه تهدید کننده زندگی شود.
9) شکاف کام
شکاف کام (Cleft palate) بسته شدن ناقص سقف دهان است. درجات مختلفی از این نقص ممکن است در 14 تا 31 درصد از افراد مبتلا به سندرم چشم گربه ای دیده شود (Berends et al, 2001, Rosias et al, 2001).
10) قد کوتاه
کوتاهی قد در 50-15 درصد افراد مبتلا به CES گزارش شده است (Berends et al, 2001, Rosias et al, 2001). با این حال، هنوز مشخص نیست که این موضوع با کمبود هورمون رشد در بیشتر افراد مبتلا مرتبط باشد.
11) ویژگیهای غیر طبیعی صورت
اکثر افراد مبتلا به سندرم چشم گربه ای ویژگیهای غیر طبیعی جمجمه و ناحیه صورت (جمجمه صورت یا craniofacial) را نشان میدهند. ویژگیهای رایج عبارت اند از چینهای پلک مایل رو به پایین (palpebral fissures).، چشمهایی که فاصله زیادی از هم دارند (هیپرتلوریسم چشمی یا ocular hypertelorism) و چینهای عمودی پوستی که ممکن است گوشههای داخلی چشمها را بپوشانند (چینهای اپیکانتال یا epicanthal folds)، یک فک پایین غیر طبیعی کوچک (هیپوپلازی فک پایین – mandibular hypoplasia یا میکروگناتیا – micrognathia) و یک پل بینی صاف.
ویژگیهای معمولی سندرم چشم گربه ای ای که در بیش از 10 درصد از افراد مبتلا وجود دارد.
علائم از دو مقاله مروری مستقل از سال 2001 هستند. آنها احتمالاً به دلیل تنوع در موارد مورد بررسی، تعریف ویژگیهای مورد استفاده و میزان جزئیات موجود در گزارشهای مورد منتشر شده بررسی شده متفاوت اند. موارد را باید بیش از حد برآورد کرد، زیرا موارد خفیف تشخیص داده نشده را شامل نمیشود.
علل
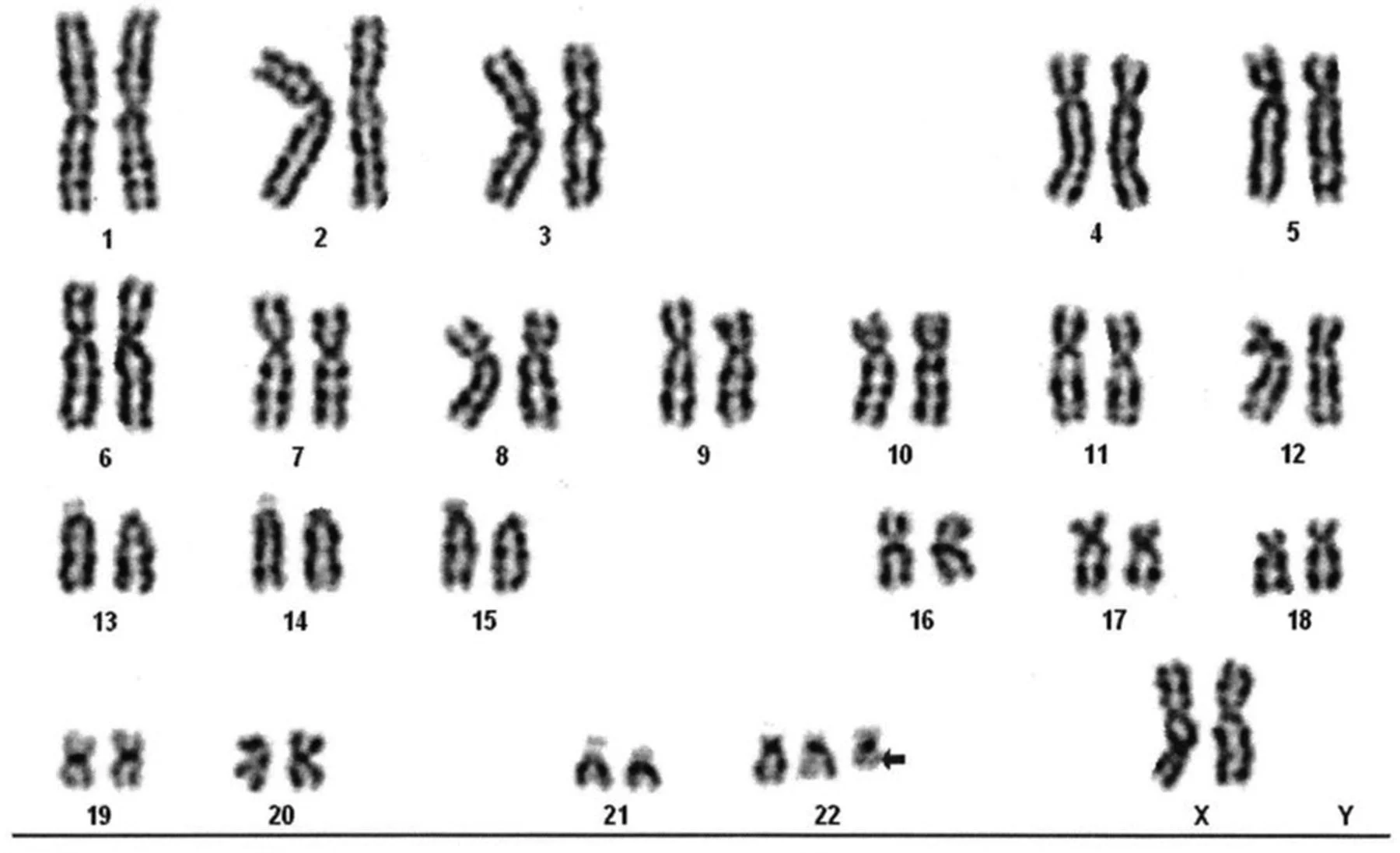
سندرم چشم گربه ای یک اختلال نادر مرتبط با حضور یک قطعه کروموزوم اضافی است که در آن بازوی کوتاه (p) و بخش کوچکی از بازوی بلند (q) کروموزوم 22 معمولاً در چهار نسخه (تترازومی جزئی) به جای دو نسخه وجود دارد. کپی در سلولهای بدن تشخیص CES بر اساس وجود مواد کروموزومی اضافی مشتق شده از کروموزوم 22 است که در زیر توضیح داده شده است.

کروموزومها (Chromosomes) در هسته تمام سلولهای بدن یافت میشوند. آنها دارای ویژگیهای ژنتیکی هر فرد هستند. جفت کروموزومهای انسانی از 1 تا 22 شماره گذاری میشوند، به علاوه دو کروموزوم X برای زنان و یک جفت 23 نابرابر کروموزوم X و Y برای مردان.
هر کروموزوم دارای یک بازوی کوتاه است که به عنوان “p” مشخص میشود، یک بازوی بلند که با حرف “q” مشخص میشود، و یک ناحیه باریک که در آن دو بازو به هم متصل میشوند (سانترومر یا centromere). کروموزومها بیشتر به نوارهایی تقسیم میشوند که به سمت بیرون از سانترومر شماره گذاری میشوند. به عنوان مثال، بازوی کوتاه کروموزوم 22 شامل نوارهای 22p11.1 تا 22p13 است. انتهای یا “ترمینال” بازوی کوتاه به عنوان 22pter شناخته میشود. بازوی بلند شامل باندهای 22q11.1 تا 22q13 است.
بنابراین، افراد با آرایش کروموزومی طبیعی دارای دو کروموزوم 22 هستند که هر دو از یک بازوی کوتاه (22p)، یک بازوی بلند (22q) و یک سانترومر تشکیل شده اند. با این حال، تقریباً همه افراد مبتلا به CES یک کروموزوم اضافی غیر معمول (supernumerary bisatellited marker chromosome) دارند.
این کروموزوم نشانگر از دو بخش کروموزوم 22 مشتق شده است که هر کدام از بازوی کوتاه، سانترومر و یک قطعه از بازوی بلند (22q11) تشکیل شده است که هر دو با هم ترکیب شده و یک کروموزوم اضافی را تشکیل میدهند.
بنابراین، این ناحیه کروموزومی (22pter-22q11) چهار بار در سلولهای بدن وجود دارد: دو بار به عنوان بخشی از دو کروموزوم طبیعی 22 و دو بار با هم در کروموزوم نشانگر. علاوه بر این، در برخی افراد، این کروموزوم اضافی ممکن است تنها در درصد مشخصی از سلولهای بدن وجود داشته باشد (موزائیسم یا mosaicism). موزائیسمی که در سلولهای خونی مورد بررسی مشاهده میشود، لزوماً علائم خفیفتری را پیشبینی نمیکند. هیچ راهی برای پیش بینی علائم خاص یا شدت یک نوزاد با فرم موزاییکی CES وجود ندارد.
در موارد نادر، بخشی از بخش کروموزومی 22 q11 ممکن است سه بار ظاهر شود: یک بار در یک کروموزوم طبیعی 22 و دو بار در یک کروموزوم 22 با تکرار داخلی. بخشی از ناحیه 22q11 برای بیان تمام یا بیشتر ویژگیهای مرتبط با CES حیاتی در نظر گرفته میشود. این منطقه به عنوان منطقه بحرانی CES (CES critical region) نامیده میشود و تقریباً شامل 12 ژن است. تحقیقات برای جداسازی و شناسایی ژن(های) مسئول ویژگیهای مرتبط با CES ادامه دارد.
علت دقیق سندرم چشم گربه ای مشخص نیست. در بیشتر موارد، به نظر میرسد که ناهنجاری کروموزومی به طور تصادفی یا به طور تصادفی به دلیل خطا در تقسیم سلولهای تولید مثلی والدین (خطای میوزی یا meiotic error) ایجاد میشود. در چنین مواردی، والدین کروموزومهای طبیعی دارند. تشکیل کروموزوم نشانگر ممکن است در نتیجه توالیهای خاصی در منطقه باشد که مستعد بازآرایی کروموزومی (chromosomal rearrangement) است. این به دلیل اقدامات خاصی از سوی والدین در دوران بارداری نیست.
در درصد کمی از افراد، والدین (به ویژه با علائم خفیف تر) کروموزوم CES را به فرزندان خود منتقل میکنند. در برخی از این موارد، والدین کروموزوم نشانگر را در برخی از سلولهای بدن دارند در حالی که سایر سلولهای بدن تحت تأثیر قرار نمیگیرند (موزائیسم). مواردی گزارش شده است که موزائیسم برای این ناهنجاری کروموزومی ممکن است در چندین نسل در برخی خانوادهها منتقل شود.
با این حال، همانطور که در بالا ذکر شد، بیان ویژگیهای مرتبط ممکن است متغیر باشد. در نتیجه، افرادی که دارای ویژگیهای متعدد یا شدید هستند ممکن است شناسایی شوند در حالی که نسل قبلی ناشناخته و تشخیص داده نمیشوند. در هر صورت، توجه به این نکته مهم است که افراد مبتلا به سندرم چشم گربه ای که دارای فرزند هستند، در معرض خطر قابل توجهی از انتقال کروموزوم نشانگر اضافی به نسبتی از فرزندان خود هستند.
تحقیقات بیشتر برای کسب اطلاعات بیشتر در مورد مکانیسمهای پیچیده کروموزومی و ژنتیکی که به طور بالقوه مسئول بیان و انتقال سندرم هستند، ضروری است.
جمعیتهای تحت تاثیر
سندرم چشم گربه ای بیش از یک قرن است که به رسمیت شناخته شده است. بیش از 100 مورد در ادبیات پزشکی شرح داده شده است، از جمله موارد ظاهراً پراکنده و خانوادگی. افراد مبتلا بسیار بیشتری وجود دارند اما در ادبیات پزشکی شرح داده نشده اند. با این حال، این سندرم بسیار نادر است و در حال حاضر برآورد دقیقی از بروز CES در جمعیت وجود ندارد.
شینزل و همکاران (1981) میزان بروز را تقریباً یک نفر از هر 50000 تا یک نفر از 150000 نفر در شمال شرقی سوئیس تخمین زدند. با این حال، از آنجایی که برخی از افراد مبتلا ویژگیهای مرتبط کمی دارند اما ممکن است این اختلال در برخی افراد ناشناخته باقی بماند. در حال حاضر هیچ راهی برای تخمین میزان عدم تشخیص این سندرم وجود ندارد.
اختلالات با علائم مشابه
علائم اختلالات زیر ممکن است مشابه علائم CES به نظر برسد، اگرچه نقص زمینه ای متفاوت است. مقایسه ممکن است برای تشخیص افتراقی مفید باشد:
سندرم CHARGE (CHARGE syndrome) یک الگوی نادر از ناهنجاریها است که ممکن است چندین سیستم اندام بدن را تحت تاثیر قرار دهد. CHARGE مخفف (C) کولوبومای چشمی، (H) نقایص قلبی، (A) ترزیا از چوآنای (Choanae)، به معنای انسداد استخوانی یا غشایی راه عبور بین بینی و گلو، (R) تأخیر در رشد و توسعه و یا کمبود فکری، (G) ناهنجاریهای تناسلی و (E) ناهنجاریهای گوشها و یا ناشنوایی است. برای تشخیص سندرم CHARGE باید چهار یا بیشتر از این ویژگیهای مشخصه وجود داشته باشد.
برخی از افراد مبتلا ممکن است علائم و یافتههای متغیر دیگری مانند سر کوچک، بسته شدن ناقص سقف دهان (شکاف کام)، شیار غیر طبیعی در لب بالایی (شکاف لب)، مشکلات بلع، فلج أعصاب صورت (فلج صورت)، اتصال غیر طبیعی بین نای و لوله ای که غذا را از گلو به معده میبرد (فیستول نای مری یا tracheoesophageal fistula)، ناهنجاریهای کلیوی و یا سایر ویژگیها داشته باشند. موارد سندرم CHARGE میتواند به صورت تصادفی (به صورت پراکنده) یا خانوادگی رخ دهد. بسیاری از بیماران دارای جهش در ژن CHD7 هستند (Lalani et al, 2006).
ارتباط VACTERL یک الگوی نادر از ناهنجاریها است. VACTERL مخفف (V) ناهنجاریهای مهره ای، (A) آترزی مقعد با یا بدون فیستول، (C) نقایص قلبی، به ویژه نقص دیواره بین بطنی، (T) تراکئو (E) فیستول مری، (R) ناهنجاریهای کلیوی و (L) ناهنجاریهای اندام، از جمله رشد غیر طبیعی استخوان در سمت شست ساعد (دیسپلازی رادیال یا radial dysplasia) است. ارتباط VACTERL معمولاً به دلایل ناشناخته (به صورت پراکنده) به طور تصادفی به نظر میرسد.
تشخیص
تشخیص سندرم چشم گربه ای بر اساس وجود مواد کروموزومی اضافی مشتق شده از کروموزوم 22q11 است. (به مبحث «علل» در بالا مراجعه کنید).
این بیماری ممکن است بر اساس آزمایشات تخصصی مانند سونوگرافی (ultrasound)، آمنیوسنتز (amniocentesis) و یا نمونه برداری از پرزهای کوریونی (chorionic villus sampling یا CVS) قبل از تولد (prenatally) به تشخیص CES مشکوک شود. در طول سونوگرافی جنین، امواج صوتی منعکس شده تصویری از جنین در حال رشد ایجاد میکند که به طور بالقوه نقصهای خاصی مانند نقص قلب را نشان میدهد که ممکن است نشان دهنده CES باشد. در طول آمنیوسنتز، نمونهای از مایع آمنیوتیک حاوی سلولهای جنینی برداشته و آنالیز میشود، در حالی که CVS شامل برداشتن نمونههای بافت از بخشی از جفت است. مطالعات کروموزومی انجام شده بر روی چنین سلولهایی ممکن است کروموزوم CES را نشان دهد.

CES ممکن است پس از تولد (postnatally) با یک ارزیابی بالینی کامل، شناسایی زیر مجموعه ای از یافتههای فیزیکی مشخص مانند کولوبوما، چینهای پلک پایین مایل (شکافهای کف دست)، تگها و یا حفرههای پیش گوش، گوشهای ناقص با فقدان مجرای گوش خارجی، آترزی مقعد، نقایص قلبی و ناهنجاریهای کلیوی شناسایی شود. یک تشخیص مشکوک سپس توسط مطالعات کروموزومی استاندارد برای شناسایی کروموزوم CES یا یک تکرار در ناحیه 22q11 تایید میشود.
هنگامی که تشخیص کروموزومی انجام میشود، آزمایشهای تخصصی مختلفی نیز ممکن است برای تعیین اینکه آیا سایر ویژگیهای CES وجود دارد یا خیر، انجام شود. به طور خاص، ممکن است برای تشخیص هر گونه ناهنجاری قلبی که ممکن است وجود داشته باشد، یک ارزیابی کامل قلبی توصیه شود.
چنین ارزیابی ممکن است شامل معاینه بالینی کامل، ارزیابی صداهای قلب و ریه از طریق استفاده از گوشی پزشکی، مطالعات اشعه ایکس، الکتروکاردیوگرافی (electrocardiography یا EKG)، اکوکاردیوگرافی (echocardiography)، کاتتریزاسیون قلب (cardiac catheterization) و یا سایر مطالعات قلبی باشد. EKG که فعالیتهای الکتریکی عضله قلب را ثبت میکند، ممکن است الگوهای الکتریکی غیر طبیعی را نشان دهد. در طول اکوکاردیوگرام، امواج صوتی به سمت قلب هدایت میشوند و پزشکان را قادر میسازد تا عملکرد و حرکت قلب را مطالعه کنند.
هنگامی که کاتتریزاسیون قلبی انجام میشود، یک لوله توخالی کوچک (کاتتر) وارد یک سیاهرگ بزرگ میشود و از طریق رگهای خونی منتهی به قلب عبور میکند. این روش را میتوان برای اهداف مختلفی استفاده کرد، از جمله ارزیابی توانایی پمپاژ قلب، اندازه گیری فشار خون در قلب و برداشت خون برای اندازه گیری محتوای اکسیژن.
آزمایشات اضافی باید شامل معاینه کامل چشم و نظارت دقیق شنوایی باشد. تشخیص زود هنگام اختلالات بینایی بالقوه و یا کاهش شنوایی ممکن است نقش اساسی در تضمین مداخله سریع و اصلاح اولیه یا درمان حمایتی مناسب داشته باشد.
تکنیکهای تصویربر داری تخصصی و یا آزمایشهای دیگر نیز ممکن است برای شناسایی و یا مشخص کردن نقایص احتمالی گوارشی، ادراری تناسلی، کلیوی، اسکلتی یا صفراوی و همچنین سایر ناهنجاریهای فیزیکی که ممکن است در ارتباط با CES رخ دهد، استفاده شوند. بررسی عملکرد شناختی نیز ممکن است مناسب باشد.
درمان
درمان سندرم چشم گربه ای ممکن است به تلاش هماهنگ تیمی از متخصصان پزشکی مانند متخصصان اطفال، جراحان، متخصصان قلب (متخصصان قلب)، متخصصان دستگاه گوارش، متخصصان چشم، متخصصان بهداشتی که مشکلات شنوایی را تشخیص، ارزیابی و به آنها کمک میکنند، پزشکانی که اختلالات اسکلت، ماهیچهها، مفاصل و بافتهای مرتبط را تشخیص داده و درمان میکنند (متخصص ارتوپد) و یا سایر متخصصان مراقبتهای بهداشتی نیاز داشته باشد.
مدیریت بیماری به سمت علائم خاصی است که در هر فرد آشکار است. برای افرادی که دارای نقص مادرزادی قلب هستند، ممکن است نیاز به درمان با داروهای خاص، مداخله جراحی و یا اقدامات دیگر باشد. علاوه بر این، اصلاح جراحی برای آترزی مقعد ضروری است.
در برخی موارد، درمان توصیه شده ممکن است شامل ترمیم جراحی، اصلاح یا مدیریت برخی از نقایص چشمی، ناهنجاریهای اسکلتی، نقایص تناسلی، فتق، بیماری هیرشپرونگ، آترزی صفراوی و یا سایر ناهنجاریهای مرتبط با این اختلال باشد. روشهای جراحی خاص انجام شده ممکن است به اندازه، ماهیت، شدت و یا ترکیبی از ناهنجاریهای آناتومیکی و علائم مرتبط با آنها، سن بیمار و عوامل دیگر بستگی داشته باشد.
قبل و بعد از جراحی برای برخی از نقایص قلبی، افراد ممکن است مستعد ابتلا به عفونت باکتریایی پوشش و دریچههای قلب (اندوکاردیت یا endocarditis) باشند. بنابراین، درمان پیشگیرانه (prophylactic) آنتی بیوتیکی ممکن است قبل و بعد از برخی اعمال جراحی و ویزیتهای دندانپزشکی تجویز شود. علاوه بر این، عفونتهای تنفسی باید به شدت و به موقع درمان شوند.
برای افراد مبتلا به ناهنجاریهای اسکلتی خاص، درمان ممکن است شامل فیزیوتراپی و تکنیکهای مختلف ارتوپدی، به طور بالقوه از جمله اقدامات جراحی باشد. علاوه بر این، افراد با قد کوتاه شدید همراه با کمبود هورمون رشد ممکن است کاندیدای هورمون رشد باشند.
مداخله زود هنگام برای اطمینان از اینکه کودکان مبتلا به سندرم چشم گربه ای به پتانسیل خود میرسند، مهم است. خدمات ویژه ای که ممکن است مفید باشد شامل آموزشهای درمانی ویژه، حمایتهای اجتماعی ویژه، و یا سایر خدمات پزشکی، اجتماعی و یا حرفه ای میباشد.
مشاوره ژنتیک نیز برای افراد مبتلا و خانوادههای آنها مفید خواهد بود. مطالعات کروموزومی ممکن است برای والدین افراد مبتلا توصیه شود تا تعیین کنند که آیا آنها حامل کروموزوم CES هستند یا موزائیسمی برای این کروموزوم نشان میدهند، به ویژه اگر ویژگیهایی که ممکن است با این اختلال همراه باشد را نشان دهند. مشاوره ژنتیک ممکن است برای بزرگسالان مبتلا به سندرم چشم گربه ای که علاقه مند به بچه دار شدن هستند، نیز مفید باشد.
همچنین بخوانید:
- سندرم Axenfeld-Rieger
- رتینوبلاستوما چیست؟ علائم، تشخیص، مراحل و درمان
- نوروبلاستوما (Neuroblastoma) چیست؟ علائم، تشخیص، پیشگیری و درمان
- استئوسارکوم (Osteosarcoma) چیست؟ علائم، تشخیص، پیشگیری و درمان
مترجم: فاطمه فریادرس




سلام ما نوزادمون ۱۰روز بهمون گفتن بیماریه چشم گربه ای داره جیکار باید بکنیم
۱. مشاوره ژنتیکی
مشورت با متخصص ژنتیک: مشاوره با یک متخصص ژنتیک برای درک بهتر بیماری و ارزیابی تأثیر آن بر فرزندتان ضروری است. متخصص ژنتیک میتواند توضیح دهد که چه جهشی باعث بیماری شده و احتمال وجود آن در فرزندان آینده شما چقدر است.
۲. ارزیابیهای پزشکی
ارزیابیهای پزشکی مختلف: به دلیل طیف وسیعی از مشکلات ممکن است که میتواند در نتیجه سندرم چشم گربهای رخ دهد، ممکن است نیاز به ارزیابیهای متعددی از جمله تستهای شنوایی، بینایی، قلبی و کلیوی باشد. این ارزیابیها به تعیین نوع مراقبتهایی که فرزند شما نیاز دارد کمک میکند.
۳. درمانها و پشتیبانی
توسعه و رشد: فرزند شما ممکن است به خدمات توانبخشی مانند گفتاردرمانی، کاردرمانی، و فیزیوتراپی نیاز داشته باشد.
پشتیبانی تعلیمی: کودکان مبتلا به سندرم چشم گربهای ممکن است به حمایتهای آموزشی خاصی نیاز داشته باشند. بررسی برنامههای آموزشی خاص و منابع موجود در منطقه شما مفید خواهد بود.
مراقبتهای دورهای: پیگیریهای منظم با پزشکان متخصص برای نظارت بر سلامت عمومی و پیشرفت فرزندتان اهمیت دارد.
۴. حمایت عاطفی
حمایت عاطفی و روانی: پیدا کردن یک شبکه حمایتی قوی برای خود و خانوادهتان، از جمله گروههای پشتیبانی برای والدین کودکان مبتلا به اختلالات ژنتیکی، میتواند بسیار حیاتی باشد. این گروهها میتوانند منابع اطلاعاتی، حمایت عاطفی و تجربیات مشترک را ارائه دهند.
ایا کسانی که نوزادشان این سندرم گربه ای رادارند میتوانند سلامتیشان را بدست بیاورند
کودکانی که با سندرم چشم گربهای به دنیا میآیند، نمیتوانند به طور کامل از این سندرم بهبود یابند، اما با مداخلات پزشکی، توانبخشی، و آموزشی مناسب، میتوانند کیفیت زندگی خود را بهبود بخشند و بسیاری از مشکلات جسمی و ذهنی مرتبط با این سندرم را مدیریت کنند. همکاری نزدیک با تیم پزشکی و دریافت حمایتهای لازم برای خانوادهها و کودکان از اهمیت بالایی برخوردار است.
سلام چطور میتونم تشخیص بدم فردی مبتلا به این بیماری است با چه دکتری تماس بگیرم
سلام لطفا قسمت علائم و نشانههای بیماری سندرم چشم گربهای را مطالعه فرمایید
من الان ۴۰سالمه توی ۳سالگی تشخیص دادندکه نوری روی سیاهی چشمم هست وگفتند باید چشم تخلیه بشه درغیراینصورت چشم دیگه ی منم ممکنه سلامتش درخطر بیافته. سوالم اینه ایا اسم بیماری چشم منم چشم گربه ایی هست یانه؟توی ۳سالگی چشم راستم تخلیه شد
با سلام،
در این موارد فقط با پزشک متخصص خود مشورت بگیرید
سلام ،مادر من بیماری چشم گربه ای دارند ،دیدشون بصورت لک سیاه میبینن و تار ، یه مشکلی هم که دارن پیوند کلیه دارند ،میخاستم بپرسم این بیماری درمان میشه اگه امکانش هست راهنمایی کنید
با سلام،
بهترین کار مراجعه به کلینیک های چشم پزشکی و مشورت با پزشک مربوطه است.
با سلام و احترام
بسیار عالی و جامع بود.
سلام دوست عزیز
از نظر شما متشکریم