آستروسیتوم چیست؟
آستروسیتوم (Astrocytoma) توموری است که از سلولهای ستارهای شکل (آستروسیتها یا astrocytes) که بافت حمایتی مغز را تشکیل میدهند، ایجاد میشود. سایر سلولهای حمایت کننده مغز شامل الیگودندروسیتها (oligodendrocytes) و سلولهای اپاندیمی (ependymal cells) هستند. در مجموع، این سلولها به عنوان سلولهای گلیال و بافتی که تشکیل میدهند به عنوان بافت گلیال شناخته میشوند. تومورهایی که از بافت گلیال ایجاد میشوند، از جمله آستروسیتوما، در مجموع به عنوان گلیوما شناخته میشوند.
سازمان بهداشت جهانی (World Health Organization یا WHO) آستروسیتومها را بسته به سرعت رشد و احتمال گسترش (نفوذ) به بافت مغز مجاور به چهار درجه طبقه بندی میکند. آستروسیتومای غیر نفوذی معمولاً کندتر از اشکال نفوذی رشد میکنند. آستروسیتومای نفوذی یا منتشره شایع تر از آستروسیتومای غیر نفوذی است.
آنها به طور کلی در مردان شایع تر هستند و در نیمکره مغزی بیماران بالغ شایع تر هستند. در کودکان هم در نیمکرههای مغزی و هم در ساقه مغز رخ میدهد. تومورهای الیگودندروسیتها (الیگودندروگلیوما یا oligodendrogliomas) نیز در دسته گلیومهای نفوذی قرار میگیرند و گاهی اوقات تشخیص آنها از آستروسیتومها دشوار است. برخی از گلیوماهای نفوذی به عنوان الیگودندروگلیوما-آستروسیتوم مختلط (الیگوآستروسیتوم یا oligodendroglioma-astrocytoma) طبقه بندی میشوند.
آستروسیتوم درجه یک معمولاً یک تومور غیر نفوذی است. شایع ترین نوع آستروسیتومای درجه یک، آستروسیتوم پیلوسیتیک (pilocytic astrocytoma) است که به آستروسیتومای جوونیل پیلوسیتیک (juvenile pilocytic astrocytoma) یا JPA نیز معروف است. این تومور به آرامی رشد میکند اما میتواند بسیار بزرگ شود. آستروسیتوم پیلوسیتیک اغلب در مخچه، مخ، مسیر عصب بینایی و ساقه مغز رخ میدهد. این تومور اغلب در کودکان و نوجوانان رخ میدهد و 2 درصد از کل تومورهای مغزی را تشکیل میدهد.
آستروسیتومای درجه دو، آستروسیتومای درجه پایین (low-grade astrocytoma) یا آستروسیتومای منتشره نیز نامیده میشود و معمولاً یک تومور نفوذی است. این تومور نسبتا کند رشد میکند و معمولاً مرزهای مشخصی ندارد. اغلب در بزرگسالان بین 20 تا 40 سال رخ میدهد.
آستروسیتومای درجه III آستروسیتومای آناپلاستیک یا بدخیم نیز نامیده میشود زیرا این تومور سریعتر از آستروسیتومای درجه II رشد میکند. آستروسیتوم آناپلاستیک اغلب در بزرگسالان بین 30 تا 50 سال رخ میدهد و 4 درصد از کل تومورهای مغزی را تشکیل میدهد.
آستروسیتومای درجه IV، گلیوبلاستوما (glioblastoma) یا GBM نیز نامیده میشود و تهاجمی ترین نوع تومور سیستم عصبی است. به دلیل تنوع گسترده ای که در زیر میکروسکوپ دارد، به آن گلیوبلاستوما مولتی فرم نیز میگویند. به ندرت، عناصر بافت غیر گلیالی میتوانند در گلیوبلاستوما وجود داشته باشند. رایج ترین نوع GBM که این عناصر بافتی اضافی را نشان میدهد، گلیوبلاستوما-سارکوم مختلط (mixed glioblastoma-sarcoma) یا گلیوسارکوم (gliosarcoma) نامیده میشود. GBM اغلب در بزرگسالان بین 50 تا 80 سال رخ میدهد، در مردان شایع تر است و 23 درصد از تومورهای اولیه مغز را تشکیل میدهد.

اخیراً چندین نشانگر در گلیوماهای منتشره شناسایی شده است. آستروسیتومای درجه II و III اغلب دارای جهشهای اکتسابی در ژنی به نام IDH1 است. این جهشها توسط تومور به دست میآیند و به طور کلی در سلولهای طبیعی بیمار وجود ندارند. وجود یک جهش IDH1 در آستروسیتوم به طور کلی با پیش آگهی بهبود یافته در مقایسه با آستروسیتومای درجه مشابه که جهش IDH1 ندارد، همراه است. نشانگر دوم، مربوط به GBM، متیلاسیون MGMT است. در صورت وجود، متیلاسیون MGMT ممکن است با پاسخ بهتر به شیمی درمانی (معمولا تموزولوماید یا temozolomide) در مقایسه با GBMهای بدون متیلاسیون MGMT همراه باشد.
زیر بخشها
- آستروسیتوم درجه I
- آستروسیتوم درجه II
- آستروسیتوم درجه III
- آستروسیتوم درجه IV
علائم و نشانهها
علائم آستروسیتومای درجه I و درجه II ظریف هستند زیرا مغز قادر است به طور موقت با حضور یک تومور با رشد آهسته سازگار شود. علائم آستروسیتومای درجه III و درجه IV ممکن است ناگهانی و ناتوان کننده باشد. علائم میتواند ناشی از افزایش فشار در مغز باشد و ممکن است شامل سردرد، تغییرات بینایی و حالت تهوع یا استفراغ باشد. علائم همچنین ممکن است بر اساس محل تومور به دلیل تداخل با عملکرد طبیعی مغز رخ دهد و شامل تشنج کانونی، مشکل در صحبت کردن، از دست دادن تعادل و ضعف، فلج یا از دست دادن حس یک طرف بدن است. خستگی و افسردگی در افراد مبتلا به آستروسیتوم شایع است.
آستروسیتومای نوزادی دسموپلاستیک (Desmoplastic infantile astrocytoma یا DIA) یک آستروسیتوم درجه یک بسیار نادر است. این تومور تمایل دارد در نیمکرههای مغزی ایجاد شود و معمولاً در کودکان کمتر از دو سال تشخیص داده میشود. علائم ممکن است شامل افزایش اندازه سر، نقاط نرم برآمده (فونتانل یا fontanelles) در جمجمه، چشمهایی که به سمت پایین متمرکز میشوند و تشنج باشد. یک تومور مرتبط، دسموپلاستیک گانگلیومی نوزادی یا desmoplastic infantile ganglioglioma – یک تومور ترکیبی آستروسیتی و عصبی است – اما در غیر این صورت شبیه DIA است.
آستروسیتومای سلول غول پیکر ساب اپاندیمی (Subependymal giant cell astrocytoma) در بطنهای مغز رخ میدهد و تقریباً همیشه با یک بیماری ژنتیکی به نام توبروس اسکلروزیس (tuberous sclerosis) همراه است. سایر تومورهای نوروپیتلیال (neuroepithelial tumors) نادر عبارت اند از زانتوآستروسیتومای پلئومورفیک (pleomorphic xanthoastrocytoma یا PXA) و گانگلیوگلیوما یا ganglioglioma (یک تومور مخلوط گلیال-عصبی).
علل
علت بیشتر آستروسیتومها مشخص نیست. محققان حدس میزنند که ناهنجاریهای ژنتیکی و ایمونولوژیک، عوامل محیطی (مانند قرار گرفتن در معرض اشعه ماوراء بنفش، مواد شیمیایی خاص، پرتوهای یونیزه کننده)، رژیم غذایی، استرس و یا عوامل دیگر ممکن است در ایجاد انواع خاصی از سرطان نقش داشته باشند. محققان در حال انجام تحقیقات پایه ای مداوم هستند تا در مورد بسیاری از عواملی که ممکن است منجر به سرطان شوند اطلاعات بیشتری کسب کنند.
آستروسیتومها با اختلالات ژنتیکی خاصی از جمله سندرم Turcot، نوروفیبروماتوز نوع اول توبروس اسکلروزیس ، بیماری Ollier و سندرم Li-Fraumeni با فراوانی بیشتری رخ میدهند.
جمعیتهای آسیب دیده
آستروسیتومای درجه یک اغلب در کودکان و نوجوانان رخ میدهد و 2 درصد از کل تومورهای مغزی را تشکیل میدهد. آستروسیتوم درجه دو اغلب در بزرگسالان بین 20 تا 60 سال رخ میدهد. آستروسیتوم درجه III اغلب در بزرگسالان بین 30 تا 60 سال رخ میدهد، در مردان شایع تر است و 4 درصد از کل تومورهای مغزی را تشکیل میدهد. آستروسیتومای درجه IV اغلب در بزرگسالان بین 50 تا 80 سال رخ میدهد، در مردان شایع تر است و 23 درصد از کل تومورهای مغزی اولیه را تشکیل میدهد.
اختلالات با علائم مشابه
علائم اختلالات زیر میتواند شبیه علائم آستروسیتوم باشد. مقایسه ممکن است برای تشخیص افتراقی مفید باشد:
بیماری نورون حرکتی (Motor neuron disease) گروهی از اختلالات عصبی عضلانی است که با انحطاط پیشرونده نورونهای حرکتی، سلولهای عصبی که حرکت و رفلکس را کنترل میکنند، مشخص میشود. علائم بیماریهای نورون حرکتی ممکن است شامل ضعف عضلانی، اسپاسم و رفلکسهای اغراق آمیز باشد.
مولتیپل اسکلروزیس (Multiple sclerosis یا MS) یک بیماری مزمن مغز و نخاع است. MS با ضایعات کوچکی به نام پلاک (plaques) مشخص میشود که ممکن است به طور تصادفی در سراسر مغز و نخاع ایجاد شود. این ضایعات شامل مناطقی از میلین محلول (dissolved myelin)، ماده چربی است که غلافی را در اطراف سلولهای عصبی (نورونها) تشکیل میدهد و تکانههای عصبی را هدایت میکند.
سلولهای عصبی ستاره ای شکل (آستروسیتها) بیش از حد رشد میکنند و در ضایعات سخت میشوند و زخمهایی در مغز و نخاع به نام اسکلروز (scleroses) ایجاد میکنند. تخریب غلاف میلین علائم عصبی مختلفی ایجاد میکند که ممکن است شامل مشکلات بینایی، اختلال در گفتار، احساسات غیر طبیعی پوست یا بی حسی، اختلالات راه رفتن و مشکلات در عملکرد مثانه و روده باشد.
انواع مختلفی از تومورهای مغزی وجود دارد. طبقه بندی تومورهای مغزی بر اساس سلولهایی است که تومور از آنها منشا گرفته است و احتمال گسترش آن به بافتهای دیگر.
تشخیص
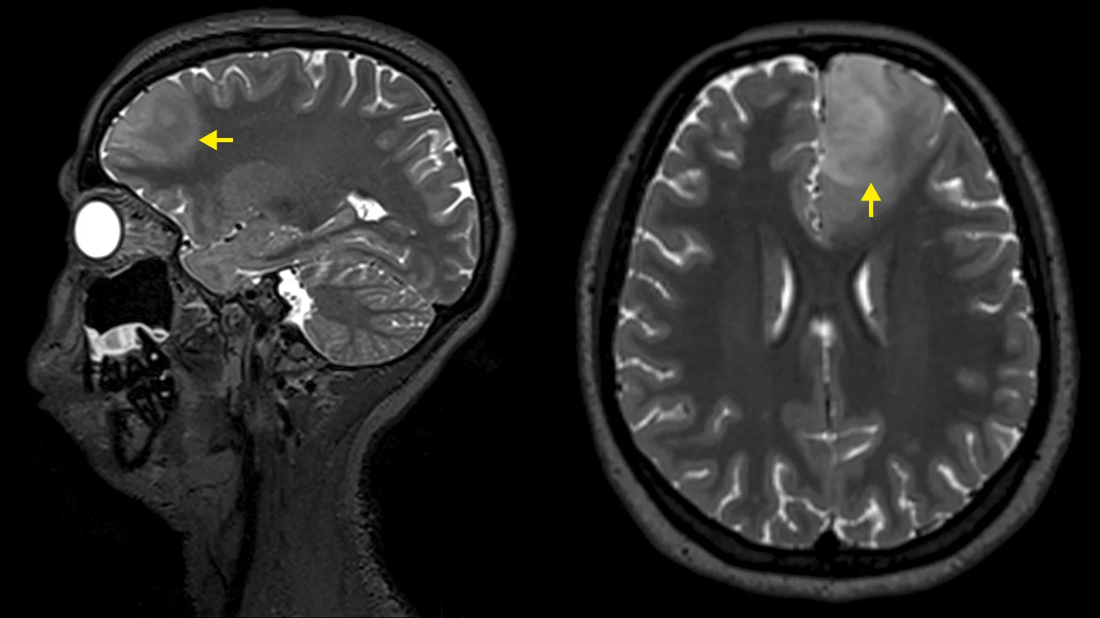
تشخیص آستروسیتوما بر اساس ارزیابی بالینی کامل، یافتههای فیزیکی مشخص، تاریخچه دقیق بیمار و آزمایشهای تخصصی مانند آزمایش خون، تکنیکهای تصویر برداری عصبی و یا سایر مطالعات تشخیصی است. تکنیکهای تصویر برداری عصبی، مانند CT اسکن و تصویر برداری رزونانس مغناطیسی (magnetic resonance imaging یا MRI) مغز به ارزیابی اندازه، محل تومور و سایر عوامل کمک میکنند. در طول سی تی اسکن، از کامپیوتر و اشعه ایکس برای ایجاد تصاویر مقطعی از ساختارهای بافتی خاص استفاده میشود. MRI از یک میدان مغناطیسی برای ایجاد تصاویر مقطعی از اندامها و بافتهای بدن استفاده میکند. بررسی نمونه ای از تومور (بیوپسی) و بررسی میکروسکوپی سلولهای تومور برای تعیین نوع و درجه تومور استفاده میشود.

درمانهای استاندارد
آستروسیتوم درجه یک: جراحی درمان استاندارد است. برداشتن کامل آستروسیتوماهای قابل دسترس با جراحی اغلب ممکن و موفقیت آمیز است. تومورهای در دسترس آنهایی هستند که میتوان بدون ایجاد آسیب غیر قابل قبول شدید به سایر قسمتهای مغز عمل کرد. اگر جراحی انجام شود، جراح تلاش میکند تا در صورت امکان تمام قسمتهای قابل شناسایی آستروسیتوم را بردارد. هنگامی که آستروسیتوما بخش مهمی از مغز را درگیر میکند، برداشتن جزئی رشد معمولا فشار را کاهش میدهد، علائم را تسکین میدهد و به کنترل تشنج کمک میکند.
برداشتن کامل یا جزئی آستروسیتوما گاهی با پرتو درمانی برای از بین بردن سلولهای تومور باقی مانده دنبال میشود. با استفاده از CT و MRI، گاهی اوقات ممکن است تابش اشعه برای چندین ماه یا سال به تعویق بیفتد، در حالی که بیمار در فواصل منظم اسکن میشود. پرتو درمانی به عنوان درمان اولیه گاهی در آستروسیتومای درجه یک استفاده میشود.
شیمی درمانی ممکن است پس از پرتو درمانی در تلاش برای از بین بردن سلولهایی که باقی مانده یا ممکن است در طول دوره پرتو درمانی انجام شود، انجام شود. برای جلوگیری از آسیب به مغز در حال رشد ممکن است به جای پرتو درمانی در کودکان بسیار خردسال از شیمی درمانی استفاده شود. نوع درمان دارویی شیمی درمانی انتخاب شده توسط یک متخصص مغز و اعصاب تعیین میشود که درجه تومور، درمان قبلی و وضعیت سلامت فعلی فرد مبتلا را بررسی میکند.
آستروسیتومای درجه یک گاهی اوقات میتواند به درجه بالاتری برسد، بنابراین اسکنهای پیگیری در فواصل زمانی منظم برای بررسی رشد مجدد ضروری است.
آستروسیتوم درجه دو: درمان بستگی به اندازه و محل تومور دارد. ممکن است از جراحی برای حذف تومورهای در دسترس استفاده شود. مانند تمام آستروسیتومای نفوذی (درجه II-IV) نمیتوان آن را به طور کامل با جراحی برداشت زیرا برجستگیهای شاخک مانند تومور به بافت اطراف رشد میکنند. در صورت عدم دسترسی به تومور یا علاوه بر جراحی، ممکن است از پرتو درمانی استفاده شود. آستروسیتومای درجه دو نیز میتواند به درجه بالاتری برسد، بنابراین پیگیری برای بررسی رشد مجدد ضروری است. تومور عود کننده ممکن است با جراحی، پرتو درمانی یا شیمی درمانی درمان شود.
آستروسیتوم درجه III: درمان بستگی به اندازه و محل تومور، ظاهر آن در زیر میکروسکوپ و میزان گسترش آن دارد. درمان استاندارد، جراحی و پرتو درمانی است که همراه یا به دنبال آن شیمی درمانی است. اگر جراحی امکان پذیر نباشد، ممکن است پرتو درمانی و شیمی درمانی توصیه شود. چندین نوع پرتو درمانی از جمله پرتوهای خارجی معمولی (conventional external beam radiation)، پرتوهای متمرکز (focused radiation)، پرتوهای کاشته شده در جراحی استریوتاکتیک (stereotactic radiosurgery implanted radiation) یا تشعشعات منسجم (conformal radiation) وجود دارد.
یک انکولوژیست پرتو درمانی مناسب ترین شکل پرتو را برای یک تومور خاص تعیین میکند. عوامل شیمی درمانی که معمولاً برای درمان آستروسیتومای درجه III استفاده میشوند عبارت اند از: کارموستین (carmustine یا BCNU)، لوموستین (CCNU یا lomustine)، پروکاربازین (procarbazine)، سیس پلاتین (cisplatin) و تموزولوماید (temozolomide). ویفرهای زیست تخریب پذیر یا Biodegradable wafers (به نام ویفرهای گلیادل یا Gliadel Wafers) حاوی BCNU گاهی اوقات در حفره ای که پس از برداشتن تومور باقی میماند، قرار داده میشود. آستروسیتومای درجه III تمایل به عود دارد و درمان بستگی به درجه توموری دارد که عود میکند.
سازمان غذا و دارو (FDA) تموزولوماید (Temodar) را برای درمان بزرگسالان مبتلا به آستروسیتومای آناپلاستیک که به دیگر اشکال درمان (آستروسیتومای آناپلاستیک مقاوم یا refractory anaplastic astrocytoma) پاسخ نداده است، تایید کرده است.
آستروسیتوم درجه IV: سه شکل اصلی درمان GBM، جراحی و پرتو درمانی یا شیمی درمانی است. این درمانها ممکن است به تنهایی یا در ترکیب با یکدیگر استفاده شوند. درمان اولیه در بیشتر موارد برداشتن جراحی و برداشتن تا حد امکان تومور (رزکسیون یا resection) است. اغلب، تنها بخشی از تومور را میتوان با خیال راحت برداشت زیرا سلولهای بدخیم ممکن است به بافت مغز اطراف گسترش یافته باشند. از آن جایی که جراحی نمیتواند تومور را به طور کامل حذف کند، پس از جراحی برای ادامه درمان از پرتو درمانی و شیمی درمانی استفاده میشود.
FDA تموزولوماید (Temodar) را برای درمان بزرگسالان مبتلا به GBM تایید کرده است. تموزولوماید همزمان با پرتو درمانی و همچنین برای مدتی پس از اتمام پرتو درمانی استفاده میشود.
ویفرهای گلیادل توسط FDA برای درمان افراد مبتلا به GBM تازه تشخیص داده شده به عنوان مکمل جراحی و پرتو درمانی تایید شده است. همچنین برای افراد مبتلا به GBM مکرر تایید شده است. تعدادی از ویفرها در حفره ایجاد شده توسط جراحی GBM قرار میگیرند. ویفرها داروها را در مدت دو یا سه هفته در بافت اطراف آزاد میکنند.
همچنین بخوانید:
- تومورهای مغز و نخاع بزرگسالان (Adult Brain and Spinal Cord Tumors) چیستند؟
- تومور ویلمز چیست؟ انواع، علائم، درمان
- تومور کارسینوئید دستگاه گوارش چیست؟ علائم، پیشگیری و درمان
- تومورهای استرومال دستگاه گوارش (Gastrointestinal Stromal Tumors) چیست؟ علائم، تشخیص و درمان
مترجم: فاطمه فریادرس
منبع



