تومور ویلمز چیست؟ انواع، علائم، درمان

تومور ویلمز (Wilms Tumors) چیست؟
فهرست مطالب نمایش

مقدمه‌ای بر تومور ویلمز (Wilms Tumors)

تومور ویلمز (که nephroblastoma یا نفروبلاستوما نیز نامیده می‌شود) نوعی سرطان دوران کودکی است که از کلیه‌ها شروع می‌شود. این بیماری شایع ترین نوع سرطان کلیه در کودکان است. حدود 9 مورد از 10 سرطان کلیه در کودکان تومورهای ویلمز هستند.

سرطان زمانی شروع می‌شود که سلول‌های بدن شروع به رشد خارج از کنترل می‌کنند. سلول‌ها تقریباً در هر قسمت از بدن می‌توانند به سرطان تبدیل شوند و به سایر نقاط بدن گسترش یابند.

در مورد کلیه‌ها (kidneys)

کلیه‌ها 2 اندام لوبیایی شکل هستند که به دیواره پشتی شکم، درست در سمت چپ و راست ستون فقرات متصل می‌شوند. کلیه‌ها چندین کار را انجام می‌دهند:

  • آن‌ها خون را فیلتر می‌کنند تا آب اضافی، نمک و مواد زائد را که به صورت ادرار از بدن دفع می‌شوند، خارج کنند.
  • آن‌ها به کنترل فشار خون کمک می‌کنند.
  • آن‌ها کمک می‌کنند تا مطمئن شویم بدن گلبول‌های قرمز کافی دارد.

در بالای هر کلیه یک غده کوچک به نام غده فوق کلیوی (adrenal gland) وجود دارد. غدد فوق کلیوی هورمون‌هایی می‌سازند که عملکردهای زیادی دارند، از جمله کمک به بدن برای سوزاندن چربی و پروتئین و پاسخ به استرس.

هر کلیه و غده فوق کلیوی توسط چربی و یک کپسول نازک فیبری (معروف به فاسیای Gerota) احاطه شده است. آن‌ها توسط قفسه سینه تحتانی محافظت می‌شوند.

کلیه ها

کلیه‌های ما مهم هستند اما در واقع به کمتر از یک کلیه کامل برای انجام تمام عملکردهای اساسی آن نیاز داریم. بسیاری از مردم در ایالات متحده فقط با یک کلیه زندگی عادی و سالمی دارند.

اکثر تومورهای ویلمز یک طرفه هستند، به این معنی که فقط یک کلیه را تحت تأثیر قرار می‌دهند. اغلب فقط یک تومور وجود دارد اما تعداد کمی از کودکان مبتلا به تومور ویلمز بیش از یک تومور در یکی از کلیه‌های خود دارند. حدود 5 تا 10 درصد کودکان مبتلا به تومور ویلمز دارای بیماری دو طرفه (وجود تومور در هر دو کلیه) هستند.

تومورهای ویلمز اغلب قبل از اینکه بیمار متوجه شود بسیار بزرگ می‌شوند. متوسط اندازه تومور ویلمزی که تازه پیدا شده چندین برابر بزرگتر از کلیه ای است که در آن شروع شده است. بیشتر تومورهای ویلمز قبل از انتشار (متاستاز) به سایر اندام‌ها یافت می‌شوند.

انواع تومور ویلمز

تومورهای ویلمز بر اساس نوع ظاهرشان در زیر میکروسکوپ (بافت شناسی آن‌ها) به 2 نوع عمده دسته بندی می‌شوند:

  • بافت شناسی مطلوب (Favorable histology): سلول‌های سرطانی در این تومورها کاملاً طبیعی به نظر نمی‌رسند اما آناپلازی وجود ندارد (به پاراگراف بعدی مراجعه کنید). حدود 9 تومور از 10 تومور ویلمز بافت شناسی مطلوبی دارند. شانس درمان کودکان مبتلا به این تومورها بسیار خوب است.
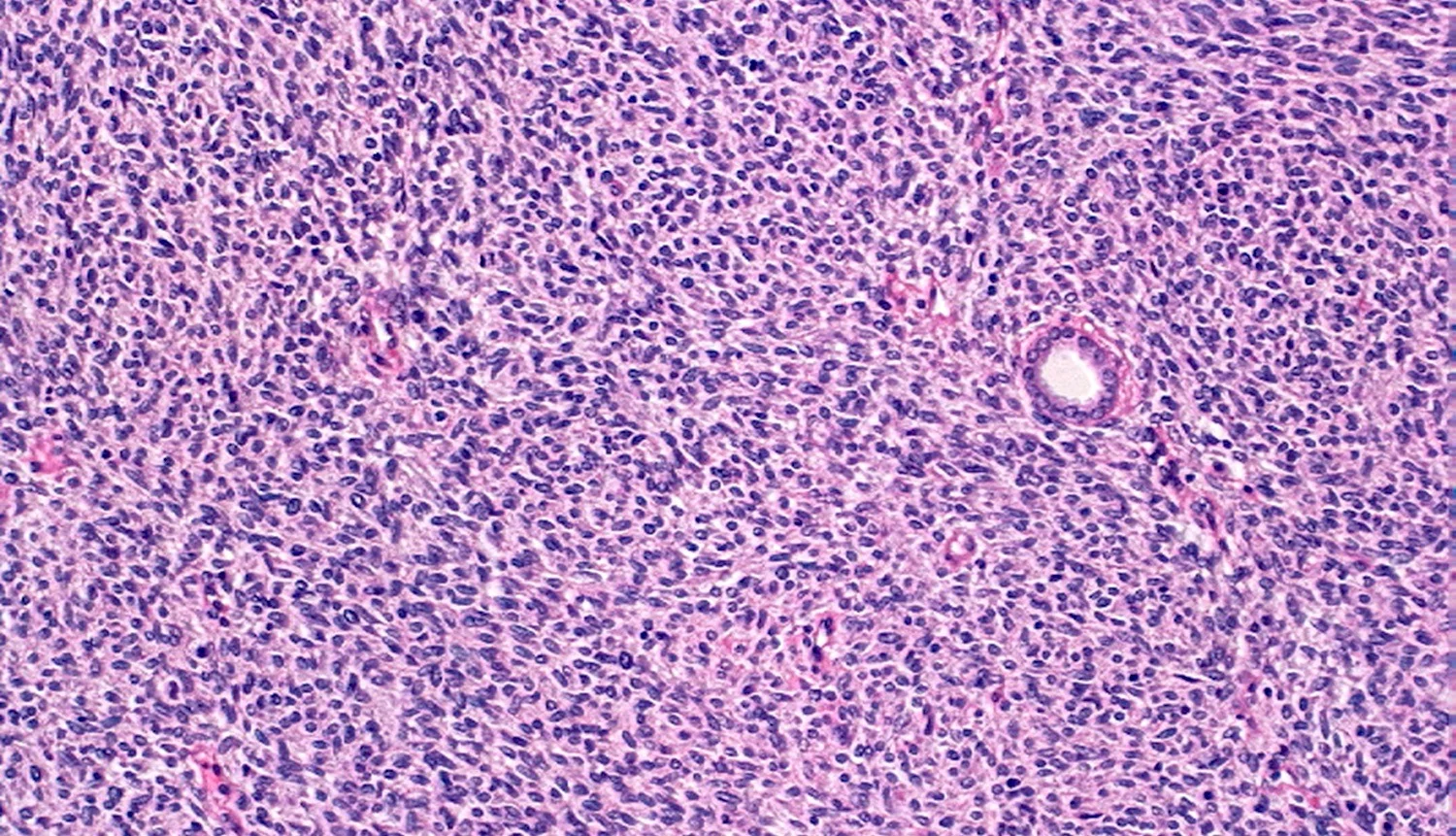
  • بافت شناسی آناپلاستیک (Anaplastic histology): در این تومورها، ظاهر سلول‌های سرطانی به طور گسترده ای متفاوت است و هسته سلول‌ها (قسمت‌های مرکزی حاوی DNA) بسیار بزرگ و مخدوش هستند. به این پدیده آناپلازی (anaplasia) می‌گویند. به طور کلی، درمان تومورهایی که در آن آناپلازی در سرتاسر تومور پخش می‌شود (معروف به آناپلازی منتشره یا diffuse anaplasia) نسبت به تومورهایی که آناپلازی فقط به قسمت‌های خاصی از تومور محدود می‌شود (معروف به آناپلازی کانونی یا focal anaplasia) سخت‌تر است.

انواع دیگر سرطان کلیه در کودکان

در موارد نادر، کودکان ممکن است به انواع دیگر تومورهای کلیه مبتلا شوند.

نفروم مزوبلاستیک (Mesoblastic nephroma)

نفروم مزوبلاستیک

این تومورها معمولاً در چند ماه اول زندگی ظاهر می‌شوند. کودکان معمولاً با جراحی بهبود می‌یابند اما گاهی اوقات شیمی درمانی نیز انجام می‌شود. این تومورها گاهی اوقات به زودی پس از درمان عود می‌کنند، بنابراین کودکانی که این تومورها را داشته اند باید در سال اول پس از درمان آن به دقت تحت نظر باشند.

سارکوم سلول شفاف کلیه (Clear cell sarcoma of kidney یا CCSK)

این تومورها نسبت به تومورهای ویلمز به سایر قسمت‌های بدن سرایت می‌کنند و درمان آن‌ها سخت‌تر است. از آن جایی که این تومورها نادر هستند، درمان اغلب به عنوان بخشی از یک کار آزمایی بالینی انجام می‌شود. این روش معمولاً بسیار شبیه درمان فشرده مورد استفاده برای تومورهای ویلمز با بافت شناسی آناپلاستیک است (به مبحث درمان تومورهای ویلمز بر اساس نوع و مرحله مراجعه کنید).

تومور رابدوئید بدخیم کلیه (Malignant rhabdoid tumor of the kidney)

این تومورها اغلب در نوزادان و کودکان نوپا ایجاد می‌شوند. آن‌ها تمایل دارند به سرعت به سایر قسمت‌های بدن سرایت کنند و بیشتر آن‌ها در زمان پیدا شدن گسترش یافته اند که همین موضوع درمان آن‌ها را سخت می‌کند. از آن جایی که این تومورها نادر هستند، درمان اغلب به عنوان بخشی از یک کارآزمایی بالینی انجام می‌شود و معمولاً شامل شیمی درمانی با چندین داروی مختلف است.

کارسینوم سلول کلیه (Renal cell carcinoma)

کارسینوم سلول کلیه (Renal cell carcinoma)

این بیماری شایع ‌ترین نوع سرطان کلیه در بزرگسالان است اما تعداد کمی از سرطان‌های کلیه را در کودکان نیز تشکیل می‌دهد. این نوع در کودکان خردسال نادر است اما در واقع در نوجوانان مسن‌تر نسبت به تومور ویلمز شایع‌تر است.

جراحی برای برداشتن کلیه (یا فقط تومور) در صورت امکان، روش درمانی اصلی این سرطان‌ها است. چشم انداز این سرطان‌ها تا حد زیادی به وسعت (مرحله) سرطان در زمانی که پیدا می‌شود، اینکه آیا می‌توان آن را به طور کامل با جراحی برداشت و نوع فرعی آن (بر اساس نوع ظاهر سلول‌های سرطانی در زیر میکروسکوپ) بستگی دارد. اگر سرطان بیش از حد پیشرفته باشد که با جراحی قابل برداشتن نیست، ممکن است به انواع دیگری از روش‌های درمانی نیاز باشد.

آمار کلیدی برای تومورهای ویلمز

  • تومور ویلمز شایع ترین نوع سرطان کلیه در کودکان است. هر سال حدود 500 تا 600 مورد جدید تومور ویلمز در ایالات متحده تشخیص داده می‌شود. این عدد برای چندین سال نسبتاً ثابت بوده است.
  • حدود 5 درصد از کل سرطان‌ها در کودکان تومورهای ویلمز هستند.
  • تومورهای ویلمز معمولاً در کودکان خردسال ایجاد می‌شوند. میانگین سنی در هنگام تشخیص حدود 3 تا 4 سال است. این تومورها با بزرگتر شدن کودکان کمتر شایع می‌شوند. آن‌ها در بزرگسالان بسیار نادر هستند، اگرچه مواردی از ابتلا گزارش شده است.
  • تومور ویلمز در دختران کمی بیشتر از پسران شایع است. خطر ابتلا به تومور ویلمز در کودکان آفریقایی-آمریکایی کمی بیشتر از کودکان سفید پوست است و در بین کودکان آسیایی آمریکایی کمترین میزان است.
  • آمار مربوط به بقای تومورهای ویلمز در مبحث نرخ بقا برای تومورهای ویلمز مورد بحث قرار گرفته است.

علائم و نشانه‌های تومور ویلمز

تومورهای ویلمز اغلب در کودکان خردسال رخ می‌دهند. این تومورها اغلب قبل از ایجاد علائمی بسیار بزرگ می‌شوند. کودکان ممکن است سالم به نظر برسند و به طور عادی رفتار و بازی کنند.

وجود تورم یا توده بزرگ در شکم (belly)

این حالت اغلب اولین علامت تومور ویلمز است. والدین ممکن است هنگام حمام کردن یا پوشیدن لباس کودک متوجه تورم یا سختی شکم شوند. گاهی اوقات این توده به اندازه ای بزرگ است که در دو طرف شکم احساس می‌شود. این حالت معمولاً دردناک نیست اما ممکن است در برخی از کودکان دردناک باشد.

سایر علائم احتمالی

برخی از کودکان مبتلا به تومور ویلمز نیز ممکن است دارای موارد زیر باشند:

  • تب
  • حالت تهوع
  • از دست دادن اشتها
  • تنگی نفس
  • یبوست
  • وجود خون در ادرار

تومورهای ویلمز همچنین گاهی اوقات می‌توانند باعث فشار خون بالا شوند. این اتفاق معمولاً به خودی خود علائمی را ایجاد نمی‌کند اما در موارد نادر فشار خون می‌تواند آن قدر بالا رود که باعث ایجاد مشکلاتی مانند سردرد، خونریزی داخل چشم یا حتی تغییر در هوشیاری شود.

بسیاری از علائم و نشانه‌های تومور ویلمز به احتمال زیاد ناشی از چیز دیگری است. با این حال، اگر کودک شما هر یک از این علائم را داشت، با پزشک کودک خود مشورت کنید تا در صورت نیاز بتوان علت را پیدا کرده و آن را درمان کرد.

چه چیزی باعث بروز تومور ویلمز می‌شود؟

اگرچه ارتباط واضحی بین تومورهای ویلمز و برخی از سندرم‌های نقص مادرزادی و تغییرات ژنتیکی وجود دارد، اکثر کودکان مبتلا به این نوع سرطان هیچ گونه نقص مادرزادی شناخته شده یا تغییرات ژنی ارثی ندارند.

محققان هنوز دقیقاً نمی‌دانند که چرا برخی از کودکان به تومور ویلمز مبتلا می‌شوند، اما در درک چگونگی رشد طبیعی کلیه‌ها و همچنین اینکه چگونه این فرآیند می‌تواند منجر به ایجاد تومور ویلمز شود، پیشرفت زیادی کرده ‌اند.

با رشد جنین در رحم، کلیه‌ها خیلی زود رشد می‌کنند. برخی از سلول‌هایی که قرار است به سلول‌های کلیه بالغ تبدیل شوند، گاهی اوقات به‌عنوان سلول‌های اولیه کلیه باقی می‌مانند و ممکن است حتی پس از تولد نوزاد نیز باقی بمانند. معمولاً این سلول‌ها در سن 3 تا 4 سالگی کودک بالغ می‌شوند. اما اگر این اتفاق نیفتد، سلول‌ها ممکن است به نوعی شروع به رشد خارج از کنترل کنند که ممکن است منجر به تومور ویلمز شود.

تغییرات در ژن‌ها

سلول‌های طبیعی انسان عمدتاً بر اساس اطلاعات موجود در DNA هر سلول رشد و عمل می‌کنند. DNA ماده شیمیایی موجود در هر یک از سلول‌های ما است که ژن‌های ما را می‌سازد و عملکرد سلول‌های ما را کنترل می‌کند. ژن‌ها در کروموزوم‌ها (رشته‌های بلند DNA) بسته بندی می‌شوند. ما معمولاً در هر سلول 23 جفت کروموزوم داریم (با یک مجموعه کروموزوم از هر والدین). ما معمولا شبیه والدین خود هستیم زیرا آن‌ها منبع DNA ما هستند. اما DNA بر چیزی بیشتر از ظاهر ما تأثیر می‌گذارد.

برخی از ژن‌ها زمان رشد سلول‌های ما، تقسیم به سلول‌های جدید و مرگ را کنترل می‌کنند:

  • ژن‌هایی که به رشد، تقسیم یا زنده ماندن سلول‌ها کمک می‌کنند، انکوژن (oncogene) نامیده می‌شوند.
  • ژن‌هایی که تقسیم سلولی را کند می‌کنند یا باعث مرگ سلول‌ها در زمان مناسب می‌شوند، ژن‌های سرکوب کننده تومور (tumor suppressor genes) نامیده می‌شوند.

سرطان‌ها می‌توانند در اثر تغییرات DNA (جهش) ایجاد شوند که انکوژن‌ها را فعال می‌کنند یا ژن‌های سرکوب کننده تومور را خاموش می‌کنند. تغییرات در ژن‌های خاص در سلول‌های اولیه کلیه می‌تواند منجر به مشکلاتی در هنگام رشد کلیه‌ها شود.

گاهی اوقات این تغییرات ژنی از والدین به فرزند منتقل می‌شود اما به نظر نمی‌رسد که اکثر تومورهای ویلمز ناشی از جهش‌های ژنی ارثی باشند. در عوض، به نظر می‌رسد که آن‌ها از تغییرات ژنی ناشی می‌شوند که در اوایل زندگی کودک، شاید حتی قبل از تولد رخ می‌دهد.

تغییرات ژنی در تومورهای ویلمز

پزشکان دریافته ‌اند که برخی از تومورهای ویلمز تغییراتی در ژن‌های خاصی دارند:

  • تعداد کمی از تومورهای ویلمز دارای تغییرات یا از دست دادن ژن‌های WT1 یا WT2 هستند که ژن‌های سرکوبگر تومور می‌باشند که در کروموزوم 11 یافت می‌شوند. تغییرات در این ژن‌ها و برخی ژن‌های دیگر در کروموزوم 11 می‌تواند منجر به رشد بیش از حد برخی از بافت‌های بدن شود. این پدیده ممکن است توضیح دهد که چرا برخی از ناهنجاری‌های رشدی دیگر، مانند مواردی که در مبحث عوامل خطرزا برای تومورهای ویلمز توضیح داده شده است، گاهی اوقات همراه با تومورهای ویلمز یافت می‌شوند.
  • در تعداد کمی از تومورهای ویلمز تغییری در ژن سرکوبگر تومور به نام WTX وجود دارد که در کروموزوم X یافت می‌شود.
  • ژن دیگری که گاهی اوقات در سلول‌های تومور ویلمز تغییر می‌کند به نام CTNNB1 شناخته می‌شود که روی کروموزوم 3 قرار دارد.

دقیقاً مشخص نیست که چه چیزی باعث تغییر این ژن‌ها می‌شود.

چندین تغییر ژنی یا کروموزومی دیگر در سلول‌های تومور ویلمز یافت شده است. به طور معمول، بیش از یک تغییر ژنی برای ایجاد سرطان مورد نیاز است. هیچ یک از تغییرات ژنی که تاکنون یافت شده است در تمام تومورهای ویلمز دیده نشده است. همچنین احتمالاً تغییرات ژنی دیگری نیز وجود دارد که هنوز پیدا نشده است.

اکنون محققان برخی از تغییرات ژنی را که می‌تواند در تومورهای ویلمز رخ دهد، درک کرده اند اما هنوز مشخص نیست که چه چیزی باعث بروز این تغییرات می‌شود. برخی از تغییرات ژنی می‌توانند ارثی باشند اما بیشتر تومورهای ویلمز نتیجه سندرم‌های ارثی شناخته شده نیستند.

برخی از تغییرات ژنی ممکن است فقط رویدادهای تصادفی باشند که گاهی اوقات در داخل سلول اتفاق می‌افتند، بدون اینکه علت خارجی داشته باشند. هیچ علت شناخته شده ای مرتبط با سبک زندگی یا محیطی برای تومورهای ویلمز وجود ندارد، بنابراین مهم است که بدانید این کودکان یا والدین آن‌ها هیچ کاری نمی‌توانند برای پیشگیری از این سرطان‌ها انجام دهند.

عوامل خطرزا برای تومورهای ویلمز

عامل خطرزا هر چیزی است که احتمال ابتلای فرد به بیماری مانند سرطان را افزایش دهد. سرطان‌های مختلف عوامل خطرزا متفاوتی دارند.

عوامل خطرزا مرتبط با سبک زندگی مانند وزن بدن، فعالیت بدنی، رژیم غذایی و مصرف دخانیات نقش عمده ای در بروز بسیاری از سرطان‌های بزرگسالان دارند. اما این عوامل معمولاً سال‌ها طول می‌کشد تا بر خطر سرطان تأثیر بگذارند و تصور نمی‌شود که تأثیر زیادی بر خطر سرطان‌های دوران کودکی از جمله تومورهای ویلمز داشته باشند.

تاکنون، تحقیقات هیچ ارتباط قوی بین تومور ویلمز و عوامل محیطی، چه در دوران بارداری مادر و چه پس از تولد فرزند، پیدا نکرده است.

بیشتر تومورهای ویلمز هیچ علت مشخصی ندارند اما برخی عوامل بر خطر ابتلا تأثیر می‌گذارند.

سن

تومورهای ویلمز در کودکان خردسال شایع‌تر هستند و میانگین سنی آن حدود 3 تا 4 سال است. آن‌ها در کودکان بزرگتر کمتر و در بزرگسالان نادر هستند.

نژاد/قومیت

در ایالات متحده، خطر ابتلا به تومور ویلمز در کودکان آفریقایی-آمریکایی کمی بیشتر از کودکان سفید پوست است و در میان کودکان آسیایی آمریکایی کمترین میزان خود است. دلیل این امر معلوم نیست.

جنسیت

تومور ویلمز در دختران کمی بیشتر از پسران رایج است.

سابقه خانوادگی تومور ویلمز

حدود 1 تا 2 درصد از کودکان مبتلا به تومور ویلمز یک یا چند بستگان مبتلا به سرطان مشابه دارند. دانشمندان فکر می‌کنند که این کودکان کروموزوم‌هایی با یک ژن غیر طبیعی یا گمشده از والدین به ارث می‌برند که خطر ابتلا به تومور ویلمز را در آن‌ها افزایش می‌دهد.

احتمال ابتلا به تومور در هر دو کلیه در کودکانی که سابقه خانوادگی تومور ویلمز دارند کمی بیشتر است. با این حال، در بیشتر کودکان تنها یک کلیه تحت تأثیر قرار می‌گیرد.

برخی از سندرم‌های ژنتیکی / نقص مادرزادی

ارتباط قوی بین تومورهای ویلمز و انواع خاصی از نقایص مادرزادی وجود دارد. از هر 10 کودک، 1 کودک مبتلا به تومور ویلمز نیز دارای نقص مادرزادی است. بیشتر نقایص مادرزادی مرتبط با تومورهای ویلمز در سندرم‌ها رخ می‌دهد. سندرم مجموعه‌ای از علائم، نشانه‌ها، ناهنجاری‌ها یا سایر ناهنجاری‌ها است که با هم در یک فرد اتفاق می‌افتد. سندرم‌های مرتبط با تومور ویلمز عبارتند از:

سندرم WAGR

سندرم WAGR

WAGR مخفف حروف اول مشکلات جسمی و روانی مرتبط با این سندرم است (اگرچه همه کودکان همه آن‌ها را ندارند):

  • تومور ویلمز
  • آنیریدیا (فقدان کامل یا جزئی عنبیه [ناحیه رنگی] چشم)
  • ناهنجاری‌های دستگاه تناسلی ادراری (نقایص کلیه‌ها، مجاری ادراری، آلت تناسلی، کیسه بیضه، کلیتوریس، بیضه‌ها یا تخمدان‌ها)
  • عقب ماندگی ذهنی

کودکان مبتلا به این سندرم حدود 30 تا 50 درصد احتمال ابتلا به تومور ویلمز را دارند. سلول‌های کودکان مبتلا به سندرم WAGR بخشی از کروموزوم 11 را ندارند، جایی که ژن WT1 به طور معمول در آن یافت می‌شود. کودکان مبتلا به WAGR در سنین پایین تر به تومورهای ویلمز مبتلا می‌شوند و اغلب در هر دو کلیه تومور دارند.

سندرم دنیس-دراش (Denys-Drash syndrome) و سندرم فریزر (Frasier syndrome)

این سندرم‌های نادر با تغییرات (جهش) در ژن WT1 نیز مرتبط است.

در سندرم دنیس-دراش، کلیه‌ها در سنین پایینی کودک دچار بیماری می‌شوند و از کار می‌افتند. تومورهای ویلمز معمولاً در کلیه‌های بیمار ایجاد می‌شوند. اندام‌های تناسلی به طور طبیعی رشد نمی‌کنند و ممکن است پسرها با دختران اشتباه گرفته شوند. از آن جایی که خطر ابتلا به تومورهای ویلمز بسیار زیاد است، پزشکان اغلب توصیه می‌کنند که کلیه‌ها را بلافاصله پس از تشخیص این سندرم خارج کنید.

در سندرم فریزر کلیه‌ها نیز بیمار هستند اما معمولاً تا سنین نوجوانی به کار خود ادامه می‌دهند. همانند سندرم دنیس-دراش، اندام‌های تناسلی به طور طبیعی رشد نمی‌کنند. کودکان مبتلا به سندرم فریزر نیز در معرض خطر بیشتری برای ابتلا به تومورهای ویلمز هستند، اگرچه آن‌ها در معرض خطر بیشتری برای ابتلا به سرطان در اندام‌های تناسلی هستند.

سندرم بکویث ویدمن (Beckwith-Wiedemann syndrome)

سندرم بکویث ویدمن (Beckwith-Wiedemann syndrome)

کودکان مبتلا به این سندرم نسبت به سن خود بزرگتر هستند. آن‌ها همچنین دارای اندام‌های داخلی بزرگتر از حد طبیعی و اغلب دارای زبان بزرگی هستند. آن‌ها ممکن است یک دست و یا یک پا بزرگ در یک طرف بدن (که همی‌هایپرتروفی یا hemihypertrophy نامیده می‌شود) و همچنین سایر مشکلات پزشکی داشته باشند. آن‌ها حدود 5 درصد خطر ابتلا به تومورهای ویلمز (یا کمتر، سایر سرطان‌هایی که در دوران کودکی ایجاد می‌شوند) را دارند. این سندرم ناشی از نقص کروموزوم 11 است که بر ژن WT2 تأثیر می‌گذارد.

سایر سندرم‌ها

در موارد کمتر رایج، تومور ویلمز با سندرم‌های دیگر مرتبط است، از جمله:

  • سندرم پرلمن (Perlman syndrome)
  • سندرم سوتوس (Sotos syndrome)
  • سندرم سیمپسون گلابی بهمل (Simpson-Golabi-Behmel syndrome)
  • سندرم بلوم (Bloom syndrome)
  • سندرم Li-Fraumeni
  • تریزومی 18

برخی از نقایص مادرزادی

تومور ویلمز همچنین در کودکانی با نقص‌های مادرزادی خاص (بدون سندرم‌های شناخته شده) شایع‌تر است:

  • آنیریدیا (Aniridia، فقدان کامل یا جزئی عنبیه [ناحیه رنگی] چشم)
  • هیپرتروفی (Hemihypertrophy، یک بازو و یا ساق بزرگ در یک طرف بدن)
  • کریپتورکیدیسم (Cryptorchidism، ناتوانی در نزول بیضه‌ها به داخل کیسه بیضه) در پسران
  • هیپوسپادیاس (Hypospadias، نقص در پسران که در آن دهانه ادرار در قسمت زیرین آلت تناسلی قرار دارد)

آیا می‌توان از تومور ویلمز پیشگیری کرد؟

خطر ابتلا به بسیاری از سرطان‌های بزرگسالان را می‌توان با تغییرات خاصی در سبک زندگی کاهش داد (مانند حفظ وزن سالم یا ترک سیگار) اما در حال حاضر هیچ راه شناخته شده ای برای پیشگیری از بیشتر سرطان‌ها در کودکان وجود ندارد.

تنها عوامل خطرزا شناخته شده برای تومورهای ویلمز (سن، نژاد، جنسیت و برخی شرایط ارثی) قابل تغییر نیستند. هیچ علت شناخته شده ای مرتبط با سبک زندگی یا محیطی برای تومورهای ویلمز وجود ندارد، بنابراین در حال حاضر هیچ راهی برای پیشگیری از بسیاری از این سرطان‌ها وجود ندارد. کارشناسان فکر می‌کنند این سرطان‌ها از سلول‌هایی می‌آیند که قبل از تولد وجود داشتند اما نتوانستند به سلول‌های بالغ کلیه تبدیل شوند. به نظر نمی‌رسد که این پدیده به دلیل چیزی باشد که مادر می‌تواند در دوران بارداری از آن اجتناب کند.

برای کودکان در معرض خطر بسیار بالا:

در برخی موارد بسیار نادر، مانند کودکان مبتلا به سندرم دنیس-دراش که تقریباً مطمئن هستند که به تومورهای ویلمز مبتلا می‌شوند، پزشکان ممکن است برداشتن کلیه‌ها را در سنین بسیار پایین (با پیوند کلیه اهدا کننده در آینده) برای جلوگیری از ایجاد تومور توصیه کنند.

آیا می‌توان تومورهای ویلمز را زود تشخیص داد؟

تومورهای ویلمز معمولاً زمانی پیدا می‌شوند که شروع به ایجاد علائمی مانند تورم در شکم (belly) کنند اما تا این مرحله اغلب بسیار بزرگ شده اند. آن‌ها را می‌توان زودتر در برخی از کودکان با آزمایشاتی مانند سونوگرافی شکم پیدا کرد.

اما از آن جایی که تومورهای ویلمز نادر هستند، استفاده از معاینه اولتراسوند برای غربالگری همه کودکان از نظر آن‌ها عملی نیست. (غربالگری آزمایش بیماری مانند سرطان در افرادی است که هیچ علامت یا علامتی ندارند.) هیچ آزمایش خون یا آزمایش دیگری وجود ندارد که در غربالگری کودکان سالم از نظر تومور ویلمز مفید باشد.

برای کودکان در معرض خطر

از سوی دیگر، غربالگری برای کودکانی که دارای سندرم یا نقایص مادر زادی شناخته شده مرتبط با تومور ویلمز هستند، بسیار مهم است. برای این کودکان، اکثر پزشکان معاینه فیزیکی توسط متخصص و معاینه سونوگرافی کلیه‌ها را به طور منظم (مثلاً هر 3 یا 4 ماه یکبار حداقل تا سن 7 سالگی) توصیه می‌کنند تا هرگونه تومور کلیه را در زمانی که هنوز کوچک هستند و به سایر اندام‌ها سرایت نکرده اند، پیدا کنند.

تومور ویلمز همچنین می‌تواند در خانواده‌ها ایجاد شود، اگرچه این امر نادر است. اگر بستگانی دارید که تومور ویلمز داشته اند، با پزشک خود صحبت کنید. اگر این کار را انجام دهید، ممکن است کودکان خانواده شما نیاز به معاینه منظم سونوگرافی شکم داشته باشند. اگر فردی دارای جهش ژن WT1 شناخته شود، می‌توان آزمایش ژنتیکی انجام داد تا ببیند آیا جهش را به فرزندان خود منتقل کرده است یا خیر. (این کار را می‌توان حتی قبل از تولد انجام داد.)

آزمایشات تومور ویلمز

برخی از علائم و نشانه‌ها می‌توانند نشان دهند که کودک ممکن است به تومور ویلمز (یا نوع دیگری از تومور کلیه) مبتلا باشد اما برای اطمینان از این موضوع، معاینات و آزمایش‌هایی لازم است.

سابقه پزشکی و معاینه فیزیکی

اگر کودک شما علائم یا علائمی دارد که نشان می‌دهد ممکن است تومور کلیه داشته باشد، پزشک می‌خواهد یک تاریخچه پزشکی کامل بگیرد تا درباره علائم و مدت زمانی که تومور در آن جا بوده است، اطلاعات بیشتری کسب کند. پزشک همچنین ممکن است بپرسد که آیا سابقه خانوادگی سرطان یا نقایص مادرزادی، به ویژه در دستگاه تناسلی یا دستگاه ادراری وجود دارد زیرا ممکن است این امر به افزایش خطر یا تومورهای ویلمز اشاره کند.

پزشک همچنین یک معاینه فیزیکی برای بررسی علائم احتمالی تومور کلیه یا سایر مشکلات سلامتی انجام می‌دهد. تمرکز احتمالاً روی شکم (abdomen) کودک شما و هر گونه افزایش فشار خون است که یکی دیگر از علائم احتمالی تومور کلیه است. نمونه‌های خون و ادرار نیز ممکن است جمع ‌آوری و آزمایش شوند (به مبحث آزمایش‌های آزمایشگاهی در زیر مراجعه کنید).

تست‌های تصویر برداری

اگر پزشک فکر کند فرزند شما ممکن است تومور کلیه داشته باشد، احتمالاً یک یا چند آزمایش تصویر برداری انجام خواهد داد. این آزمایش‌ها از امواج صوتی، اشعه ایکس، میدان‌های مغناطیسی یا مواد رادیو اکتیو برای ایجاد تصاویری از داخل بدن استفاده می‌کنند. آزمایش‌های تصویر برداری ممکن است به دلایلی انجام شود، از جمله:

  • برای کمک به یافتن اینکه آیا تومور در کلیه(ها) وجود دارد یا خیر و اگر چنین است، آیا تومور احتمالاً تومور ویلمز است یا خیر.
  • برای اطلاع از اینکه آیا تومور گسترش یافته است و این گسترش تا چه حد است، هم در کلیه(ها) و هم به سایر قسمت‌های بدن
  • برای کمک به جراحی یا پرتو درمانی
  • بررسی ناحیه بعد از درمان برای کمک به تعیین اینکه آیا موثر بوده است یا خیر

سونوگرافی (Ultrasound یا sonogram)

سونوگرافی اغلب اولین آزمایش تصویر برداری است که در صورتی که پزشک مشکوک به وجود تومور در شکم فرزند شما باشد، انجام می‌شود. انجام این آزمایش آسان است، از پرتو استفاده نمی‌شود و دید خوبی از کلیه‌ها و سایر اندام‌های شکم به پزشک می‌دهد.

این آزمایش همچنین می‌تواند نشان دهد که آیا تومور در حال رشد به داخل سیاهرگ‌های اصلی خارج شده از کلیه است یا خیر. این امر می‌تواند در برنامه ریزی برای جراحی، در صورت نیاز، کمک کند.

اسکن توموگرافی کامپیوتری (CT، Computed tomography یا CAT)

سی تی اسکن از اشعه ایکس برای تهیه تصاویر مقطعی دقیق از قسمت‌هایی از بدن کودک شما، از جمله کلیه‌ها، استفاده می‌کند.

این روش یکی از مفید ترین آزمایشات برای جستجوی تومور در داخل کلیه است. همچنین برای بررسی اینکه آیا سرطان به وریدهای مجاور رشد کرده است یا به اندام‌های فراتر از کلیه، مانند ریه‌ها گسترش یافته است، مفید است. کودک شما باید در حین انجام اسکن روی میز کاملاً بی حرکت دراز بکشد. ممکن است به کودکان کوچکتر دارو داده شود تا در طول آزمایش آرام بمانند یا حتی بخوابند تا از واضح بودن تصاویر مطمئن شوند.

اسکن تصویر برداری رزونانس مغناطیسی (Magnetic resonance imaging یا MRI)

اسکن MRI با استفاده از امواج رادیویی و آهنرباهای قوی به جای اشعه ایکس، تصاویر دقیقی ایجاد می‌کند، بنابراین هیچ تشعشعی در کار نیست. این آزمایش ممکن است در صورتی انجام شود که پزشک نیاز به دیدن تصاویر بسیار دقیق از کلیه یا مناطق مجاور داشته باشد. به عنوان مثال، اگر احتمال اینکه تومور کلیه به ورید اصلی (ورید اجوف تحتانی یا inferior vena cava) در شکم رسیده باشد، ممکن است انجام شود. اگر پزشکان نگران هستند که سرطان در آن جا گسترش یافته باشد، ممکن است از MRI ​​نیز برای بررسی گسترش احتمالی سرطان به مغز یا نخاع استفاده شود.

کودک شما ممکن است مجبور شود در داخل یک لوله باریک دراز بکشد که محدود کننده است و می‌تواند ناراحت کننده باشد. این آزمایش همچنین مستلزم آن است که فرد هر بار چند دقیقه ثابت بماند. ممکن است به کودکان کوچکتر دارو داده شود تا در طول آزمایش آرام بمانند یا حتی بخوابند.

اشعه ایکس قفسه سینه

اشعه ایکس قفسه سینه ممکن است برای بررسی هرگونه گسترش تومور ویلمز به ریه‌ها و همچنین برای مقایسه نمای پایه از ریه‌ها برای مقایسه با سایر اشعه ایکس که ممکن است در آینده انجام شود، مورد استفاده قرار گیرد. اگر سی تی اسکن از قفسه سینه انجام شود، ممکن است این آزمایش مورد نیاز نباشد.

تست‌های آزمایشگاهی

اگر پزشک کودک شما مشکوک به مشکل کلیوی باشد، ممکن است آزمایش‌های آزمایشگاهی برای بررسی نمونه‌های ادرار و خون انجام شود. آن‌ها همچنین ممکن است پس از یافتن تومور ویلمز انجام شوند.

نمونه ادرار ممکن است مورد آزمایش (تجزیه و تحلیل ادرار) قرار گیرد تا ببیند آیا مشکلاتی در کلیه‌ها وجود دارد یا خیر. ادرار ممکن است برای موادی به نام کاتکول آمین‌ها (catecholamines) نیز آزمایش شود. این کار برای اطمینان از اینکه فرزند شما نوع دیگری از تومور به نام نوروبلاستوما (neuroblastoma) ندارد، انجام می‌شود. (نوروبلاستوما اغلب در غدد فوق کلیوی که درست بالای هر کلیه قرار دارند، شروع می‌شود.)

بیوپسی/جراحی کلیه

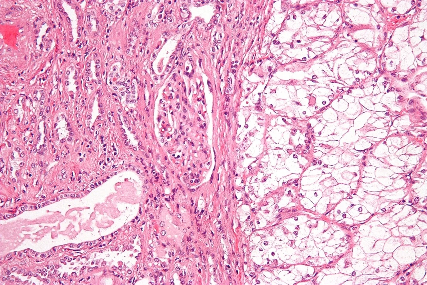
در بیشتر مواقع، آزمایش‌های تصویر برداری می‌توانند اطلاعات کافی را در اختیار پزشکان قرار دهند تا تصمیم بگیرند که آیا کودک احتمالاً تومور ویلمز دارد یا خیر و بنابراین باید جراحی انجام شود یا خیر. اما تشخیص واقعی تومور ویلمز زمانی انجام می‌شود که یک قطعه کوچک از تومور برداشته شده و زیر میکروسکوپ بررسی شود. وقتی به سلول‌های تومورهای ویلمز نگاه می‌کنید، ظاهری متمایز دارند. پزشکان همچنین برای تعیین بافت شناسی تومور ویلمز (مطلوب یا آناپلاستیک)، نیز از این روش استفاده می‌کنند.

در اغلب موارد، یک نمونه در طول جراحی برای درمان تومور برداشته می‌شود. گاهی اوقات اگر پزشکان در مورد تشخیص، کمتر مطمئن باشند یا اگر مطمئن نباشند که تومور می‌تواند به طور کامل برداشته شود، ممکن است نمونه ای از تومور در طول بیوپسی به عنوان یک روش جداگانه قبل از جراحی گرفته شود.

مراحل تومور ویلمز

مرحله سرطان بیانگر میزان گسترش آن است. درمان و وضعیت آتی (چشم انداز) کودک شما تا حد زیادی به مرحله سرطان بستگی دارد. مرحله بندی بر اساس نتایج معاینه فیزیکی و آزمایش‌های تصویربرداری (سونوگرافی، سی تی اسکن و غیره) که در مبحث Tests for Wilms Tumors توضیح داده شده است و همچنین بر اساس نتایج جراحی برای برداشتن تومور در صورتی که انجام شده باشد، است.

سیستم مرحله بندی گروه انکولوژی کودکان (COG یا Children’s Oncology Group)

یک سیستم مرحله بندی روشی استاندارد برای تیم مراقبت از سرطان برای جمع بندی وسعت تومور است. در ایالات متحده، سیستم مرحله بندی گروه انکولوژی کودکان اغلب برای توصیف میزان گسترش تومورهای ویلمز استفاده می‌شود. این سیستم تومورهای ویلمز را با استفاده از اعداد رومی I تا V به 5 مرحله تقسیم می‌کند.

مرحله I

تومور در یک کلیه قرار دارد و با جراحی به طور کامل خارج می‌شود. لایه بافت اطراف کلیه (کپسول کلیه) در طی جراحی شکسته نشده است. سرطان به رگ‌های خونی داخل کلیه یا در کنار کلیه رشد نکرده است. تومور قبل از جراحی برای برداشتن آن بیوپسی نشده است.

مرحله II

تومور فراتر از کلیه رشد کرده است (یا به بافت چربی مجاور یا به رگ‌های خونی داخل یا نزدیک کلیه) اما به طور کامل و با جراحی بدون هیچ گونه سرطان ظاهری از بدن خارج شده است. غدد لنفاوی مجاور (مجموعه سلول‌های ایمنی به اندازه لوبیا) حاوی سرطان نیستند. تومور قبل از جراحی بیوپسی نشده است.

مرحله III

این مرحله به تومورهای ویلمز اشاره دارد که به احتمال زیاد به طور کامل برداشته نشده اند. سرطان باقی مانده پس از جراحی به شکم (belly) محدود می‌شود. یک یا چند مورد از ویژگی‌های زیر ممکن است وجود داشته باشد:

  • سرطان به غدد لنفاوی شکم یا لگن گسترش یافته است اما نه به غدد لنفاوی دورتر، مانند غدد لنفاوی داخل قفسه سینه.
  • سرطان به ساختارهای حیاتی مجاور تبدیل شده است، بنابراین جراح نمی‌تواند آن را به طور کامل حذف کند.
  • رسوبات تومور (ایمپلنت‌های تومور) در امتداد پوشش داخلی فضای شکم یافت می‌شود.
  • سلول‌های سرطانی در لبه نمونه‌ای که با جراحی برداشته شده‌اند، یافت می‌شوند که نشانه‌ای از این است که مقداری از سرطان پس از جراحی همچنان باقی مانده است.
  • سلول‌های سرطانی قبل یا در حین جراحی به داخل فضای شکم ریخته می‌شوند.
  • تومور در بیش از یک قطعه برداشته شد – به عنوان مثال، تومور در کلیه و در غده فوق کلیوی مجاور بود که به طور جداگانه برداشته شد.
  • نمونه برداری از تومور قبل از برداشتن با جراحی انجام شد.

مرحله IV

سرطان از طریق خون به اندام‌های دور از کلیه‌ها مانند ریه‌ها، کبد، مغز یا استخوان‌ها یا به غدد لنفاوی دور از کلیه‌ها گسترش یافته است.

مرحله V

در زمان تشخیص، تومورها در هر دو کلیه یافت می‌شوند.

بافت شناسی تومور

عامل اصلی دیگر در تعیین پیش آگهی (وضعیت آتی) و درمان تومور ویلمز، بافت شناسی تومور است که بر اساس نوع ظاهر سلول‌های تومور در زیر میکروسکوپ است. بافت شناسی می‌تواند مطلوب یا آناپلاستیک باشد. این موارد با جزئیات بیشتر در مبحث تومورهای ویلمز چیست؟ توضیح داده شده است.

میزان بقا و زنده مانی برای تومورهای ویلمز

نرخ بقا اغلب توسط پزشکان به عنوان یک روش استاندارد برای بحث در مورد پیش آگهی (چشم انداز) یک فرد استفاده می‌شود. این اعداد به شما نشان می‌دهد که چه بخشی از افراد در وضعیت مشابه (مثلاً با همان نوع و مرحله سرطان) تا مدت معینی پس از تشخیص هنوز زنده هستند. این اعداد نمی‌توانند دقیقاً به شما بگویند که برای هر فردی چه اتفاقی خواهد افتاد اما ممکن است به شما کمک کنند تا درک بهتری در مورد احتمال موفقیت روند درمان خود پیدا کنید. برخی از افراد میزان بقا را مفید می‌دانند اما برخی افراد ممکن است ندانند.

برای تومورهای ویلمز، بقا اغلب با استفاده از نرخ بقای 4 ساله اندازه گیری می‌شود. این به درصد کودکانی اشاره دارد که حداقل 4 سال پس از تشخیص سرطان زندگی می‌کنند. به عنوان مثال، نرخ بقای 4 ساله 80 درصدی به این معنی است که تخمین زده می‌شود 80 کودک از 100 کودک مبتلا به آن سرطان، 4 سال پس از تشخیص هنوز زنده هستند. البته بسیاری از کودکان بسیار بیشتر از 4 سال عمر می‌کنند (و بسیاری از آن‌ها درمان می‌شوند).

برای به دست آوردن نرخ بقای 4 ساله، پزشکان باید کودکانی را که حداقل 4 سال پیش تحت درمان قرار گرفته اند، بررسی کنند. بهبود در روند درمان از آن زمان، ممکن است منجر به ایجاد چشم‌ انداز بهتری برای کودکانی شود که اکنون مبتلا به تومور ویلمز هستند.

اما به یاد داشته باشید، میزان بقا تخمینی است و این اعداد نمی‌توانند پیش ‌بینی کنند که در مورد یک کودک خاص چه اتفاقی خواهد افتاد. دیدگاه هر کودک می‌تواند بر اساس تعدادی از عوامل خاص خود متفاوت باشد. مهم ترین عوامل در تعیین چشم انداز کودک، مرحله و بافت شناسی تومور است. (بافت شناسی به نوع شکل ظاهری سلول‌های سرطانی در زیر میکروسکوپ اشاره دارد) اما عوامل دیگری نیز می‌توانند بر دیدگاه کودک تأثیر بگذارند، مانند سن کودک و میزان واکنش تومور به روند درمان.

حتی با در نظر گرفتن سایر عوامل، میزان بقا فقط تخمین‌های تقریبی است. تیم مراقبت از سرطان فرزند شما می‌تواند به شما بگوید که چگونه اعداد زیر ممکن است اعمال شوند زیرا آن‌ها بهترین وضعیت فرزند شما را می‌دانند.

میزان بقای تومورهای ویلمز

این میزان بقا بر اساس نتایج مطالعات ملی تومور ویلمز است که شامل اکثر کودکان تحت درمان در ایالات متحده در چند دهه اخیر می‌شود. برخی از این نرخ‌ها فقط بر اساس تعداد کمی از کودکان است، بنابراین دشوار است که بدانیم چقدر دقیق هستند.

میزان بقای تومورهای ویلمز

درمان تومور ویلمز

اگر فرزند شما مبتلا به تومور ویلمز تشخیص داده شده باشد، تیم درمان فرزند شما گزینه‌ها را با شما در میان می‌گذارد. مهم است که مزایای هر گزینه درمانی را در مقابل خطرات و عوارض جانبی احتمالی سنجید.

تومور ویلمز چگونه درمان می‌شود؟

به طور کلی، حدود 9 کودک از 10 کودک مبتلا به تومور ویلمز درمان می‌شوند. در دهه‌های اخیر پیشرفت‌های زیادی در درمان این بیماری حاصل شده است. بسیاری از این پیشرفت‌ها نتیجه شرکت کودکان مبتلا به تومور ویلمز در آزمایشات بالینی روش‌های درمانی جدید است.

امروزه، اکثر کودکان مبتلا به این سرطان در یک کار آزمایی بالینی تحت درمان قرار می‌گیرند تا آنچه که پزشکان معتقدند بهترین روش درمان است، بهبود یابد. هدف این مطالعات یافتن راه‌هایی برای درمان هر چه بیشتر کودکان و در عین حال محدود کردن عوارض جانبی با انجام کمترین دوره درمان مورد نیاز است.

اکثر کودکان مبتلا به تومور ویلمز بیش از یک نوع دوره درمانی را دریافت خواهند کرد. انواع اصلی روش‌های درمانی عبارتند از:

جراحی (Surgery) برای تومورهای ویلمز

جراحی تقریباً برای همه کودکان مبتلا به تومور ویلمز روش درمانی اصلی است. مهم است که این کار توسط یک جراح متخصص در عمل جراحی کودکان و دارای تجربه در درمان این سرطان‌ها انجام شود.

برداشتن تومور

هدف اصلی جراحی برداشتن کل تومور ویلمز در صورت امکان به صورت یک تکه است. این کار برای جلوگیری از گسترش سلول‌های سرطانی در شکم (belly) انجام می‌شود. جراحانی که این تومورها را عمل می‌کنند، مراقب هستند تا در صورت امکان احتمال گسترش این نوع سرطان را محدود کنند. اگر جراح متوجه شود (چه با آزمایش‌های تصویر برداری انجام شده قبل از جراحی، یا هنگام شروع عمل) که نمی‌توان کل تومور را به ‌طور ایمن خارج کرد، ممکن است ابتدا از روش‌های درمانی دیگر استفاده شود. اگر این درمان‌ها به اندازه کافی تومور را کوچک کنند، جراحی می‌تواند با خیال راحت تر انجام شود.

بسته به موقعیت تومور ممکن است از عمل‌های جراحی مختلفی استفاده شود.

نفرکتومی رادیکال (Radical nephrectomy)

نفرکتومی رادیکال (Radical nephrectomy)
قبل و بعد از نفرکتومی رادیکال (Radical nephrectomy)

نفرکتومی رادیکال کل کلیه و برخی از ساختارهای مجاور را از بین می‌برد. این روش رایج ترین جراحی برای تومور ویلمز است که فقط در یک کلیه قرار دارد زیرا بهترین شانس را برای اطمینان از برداشتن تمام تومور فراهم می‌کند.

در طی این عمل، جراح یک برش (incision) معمولاً در وسط شکم ایجاد می‌کند و سرطان را همراه با کل کلیه، غده فوق کلیوی که در بالای کلیه قرار دارد، بافت چربی اطراف آن و حالب (ureter، لوله ای که ادرار را از کلیه به مثانه می‌رساند) خارج می‌کند. اکثر کودکان تنها با یک کلیه عملکرد بسیار خوبی دارند.

نفرکتومی جزئی (جراحی حفظ نفرون یا Partial nephrectomy)

نفرکتومی جزئی

نفرکتومی جزئی تنها بخشی از کلیه (کلیه‌ها) را برمی‌دارد. برای تعداد کمی از کودکانی که تومور ویلمز در هر دو کلیه دارند، این جراحی ممکن است برای نجات بخشی از بافت طبیعی کلیه انجام شود. جراح ممکن است یک نفرکتومی رادیکال برای برداشتن کلیه حاوی بیشترین تومور و سپس نفرکتومی نسبی یا جزئی روی کلیه دیگر انجام دهد و فقط تومور و حاشیه‌ای از بافت کلیه طبیعی اطراف آن را از بین ببرد. گزینه دیگر ممکن است انجام نفرکتومی جزئی در هر دو کلیه باشد.

گاهی لازم است هر دو کلیه به طور کامل برداشته شوند. سپس کودک چندین بار در هفته نیاز به دیالیز دارد. در این روش، دستگاهی با فیلتر کردن مواد زائد از خون، کار کلیه‌ها را انجام می‌دهد. هنگامی که کودک به اندازه کافی سالم است و اگر کلیه اهدا کننده در دسترس باشد، پیوند کلیه ممکن است یک گزینه باشد.

ارزیابی وسعت بیماری (کاوش جراحی)

هنگامی که نفرکتومی رادیکال یا جزئی انجام می‌شود، هدف اصلی دیگر جراحی، تعیین وسعت سرطان و اینکه آیا می‌توان همه آن را خارج کرد یا خیر، ‌می‌باشد. غدد لنفاوی نزدیک کلیه در طی جراحی برداشته می‌شوند تا سلول‌های سرطانی در آن‌ها جستجو شود. سرطان اغلب به غدد لنفاوی (مجموعه سلول‌های ایمنی به اندازه لوبیا) گسترش می‌یابد. برداشتن غدد لنفاوی به عنوان لنفادنکتومی منطقه ای (regional lymphadenectomy) شناخته می‌شود.

کلیه‌های دیگر و اندام‌های مجاور مانند کبد نیز ممکن است به دقت بررسی شوند و هر ناحیه مشکوک بیوپسی شود (نمونه‌هایی برای بررسی سرطان در زیر میکروسکوپ گرفته می‌شوند).

دانستن اینکه آیا تومور ویلمز به غدد لنفاوی، کلیه دیگر یا سایر اندام‌های مجاور گسترش یافته است، در تعیین مرحله آن و گزینه‌های درمانی بعدی مهم است.

قرار دادن کاتتر ورید مرکزی (پورت یا central venous catheter)

اغلب، اگر کودک قرار است شیمی درمانی شود، جراح یک لوله کوچک (به نام کاتتر وریدی مرکزی، دستگاه دسترسی وریدی یا پورت) را در یک رگ خونی بزرگ – معمولاً در زیر استخوان طرقوه قرار می‌دهد. این کار ممکن است در طول جراحی برای برداشتن تومور یا به عنوان یک عمل جداگانه انجام شود (به خصوص اگر قرار است قبل از جراحی شیمی درمانی انجام شود).

یک انتهای کاتتر خارج از بدن یا درست زیر پوست می‌ماند و می‌توان از آن برای دادن شیمی درمانی یا نمونه خون بدون نیاز به سوزن بیشتر در رگ‌ها استفاده کرد. کاتتر می‌تواند ماه‌ها در جای خود بماند.

خطرات و عوارض احتمالی جراحی

جراحی برای برداشتن تومور ویلمز یک عمل جدی است و جراحان بسیار مراقب هستند تا هر گونه مشکلی را در حین یا بعد از جراحی محدود کنند. عوارض حین جراحی، مانند خونریزی، آسیب به رگ‌های خونی اصلی یا سایر اندام‌ها،یا واکنش به بیهوشی، نادر است اما ممکن است رخ دهند.

تقریباً همه کودکان برای مدتی پس از عمل درد خواهند داشت، اگرچه معمولاً در صورت نیاز می‌توان با تجویز داروها به این درد کمک کرد. سایر مشکلات بعد از جراحی شایع نیستند اما می‌توانند شامل خونریزی داخلی، لخته شدن خون، عفونت یا مشکلات حرکت غذا در روده باشند.

اکثر کودکان زمانی که تنها یک کلیه برداشته می‌شود، خوب عمل می‌کنند. اما اگر تومور در هر دو کلیه وجود داشته باشد، نگرانی دیگر از دست دادن عملکرد کلیه است. در این موارد، پزشکان باید بین حصول اطمینان از برداشتن کامل تومورها و برداشتن تنها به اندازه نیاز از کلیه(ها) تعادل برقرار کنند. کودکانی که تمام یا قسمتی از هر دو کلیه آن‌ها برداشته شده است، ممکن است نیاز به دیالیز و در نهایت نیاز به پیوند کلیه داشته باشند.

شیمی درمانی (Chemotherapy) برای تومورهای ویلمز

شیمی درمانی (chemo) استفاده از داروها برای درمان سرطان است. این داروها وارد خون می‌شوند و به تمام نواحی بدن می‌رسند که باعث می‌شود این روش درمانی برای سرطانی که گسترش یافته یا ممکن است به خارج از کلیه گسترش یافته باشد، مفید باشد.

چه زمانی ممکن است از شیمی درمانی استفاده شود؟

اکثر کودکان مبتلا به تومور ویلمز در دوره ای از روند درمان خود شیمی درمانی می‌شوند. (برخی از کودکان با تومورهای بسیار کم خطر ممکن است به آن نیاز نداشته باشند.)

در ایالات متحده، شیمی درمانی معمولاً پس از جراحی انجام می‌شود. گاهی اوقات ممکن است قبل از عمل جراحی برای کوچک کردن تومور لازم باشد تا عمل جراحی ممکن شود. در اروپا، شیمی درمانی قبل از جراحی انجام می‌شود و پس از آن نیز ادامه می‌یابد. در هر دو مورد، نوع و مقدار شیمی درمانی به مرحله و بافت شناسی سرطان بستگی دارد.

داروهای شیمی درمانی که برای درمان تومورهای ویلمز استفاده می‌شود

ترکیبی از داروهای شیمی درمانی برای درمان کودکان مبتلا به تومور ویلمز استفاده می‌شود. داروهای شیمی درمانی که اغلب مورد استفاده قرار می‌گیرند عبارتند از:

  • اکتینومایسین D (dactinomycin)
  • وین کریستین (Vincristine)

برای تومورهای موجود در مراحل پیشرفته تر، آن‌هایی که بافت شناسی آناپلاستیک دارند یا تومورهایی که پس از درمان عود می‌کنند (باز می‌گردند)، ممکن است از داروهای دیگری نیز استفاده شود، مانند:

  • دوکسوروبیسین (Adriamycin)
  • سیکلوفسفامید (Cyclophosphamide)
  • اتوپوزید (Etoposide)
  • Irinotecan
  • کربوپلاتین (Carboplatin)

شیمی درمانی چگونه تجویز می‌شود؟

داروهای شیمی درمانی برای تومورهای ویلمز یا از طریق ورید (IV) یا از طریق یک کاتتر ورید مرکزی (یک لوله نازک که در طول جراحی به یک رگ خونی بزرگ وارد می‌شود) به خون تزریق می‌شود.

بسته به نوع و مرحله تومور ویلمز و سن کودک از داروها، دوزها و طول درمان متفاوتی استفاده می‌شود. اغلب، این داروها یک بار در هفته و به مدت حداقل چند ماه تجویز می‌شوند.

شیمی درمانی معمولاً توسط یک پرستار در مطب پزشک یا در بخش سرپایی بیمارستان تجویز می‌شود. برخی از کودکان مبتلا به تومور ویلمز ممکن است نیاز به بستری شدن در بیمارستان در حین انجام شیمی درمانی داشته باشند اما معمولاً این مورد نیاز نیست.

عوارض جانبی احتمالی شیمی درمانی

داروهای شیمی درمانی می‌توانند سلول‌های دیگری غیر از سلول‌های سرطانی را تحت تأثیر قرار دهند که می‌تواند منجر به عوارض جانبی شود.

عوارض جانبی شیمی درمانی به انواع و دوز داروهای مورد استفاده و طول دوره درمان بستگی دارد. عوارض جانبی احتمالی کوتاه مدت می‌تواند شامل موارد زیر باشد:

  • ریزش مو
  • زخم‌های دهان
  • از دست دادن اشتها
  • تهوع و استفراغ
  • اسهال یا یبوست
  • افزایش احتمال عفونت (به دلیل داشتن گلبول‌های سفید بسیار کم)
  • کبودی یا خونریزی آسان (به دلیل داشتن تعداد بسیار کم پلاکت خون)
  • بی حالی يا خستگي شديد (به دليل كمبود گلبول قرمز)

پزشک و تیم معالج فرزند شما از نزدیک هر گونه عارضه جانبی ایجاد شده را زیر نظر خواهند داشت. اغلب راه‌هایی برای کاهش این عوارض وجود دارد. به عنوان مثال، می‌توان داروهایی برای کمک به پیشگیری یا کاهش تهوع و استفراغ تجویز کرد. حتماً از پزشک یا پرستار فرزندتان در مورد داروهایی که به کاهش عوارض جانبی کمک می‌کند بپرسید و به آن‌ها اطلاع دهید که آیا کودک شما عوارض جانبی دارد تا بتوان آن‌ها را مدیریت کرد.

در کنار اثرات ذکر شده در بالا، برخی از داروها می‌توانند عوارض جانبی خاصی داشته باشند. مثلا:

  • وین کریستین می‌تواند به اعصاب آسیب برساند. برخی از بیماران ممکن است سوزن سوزن شدن، بی حسی، ضعف یا درد، به ویژه در دست‌ها و پاها را داشته باشند. (به آن نوروپاتی محیطی یا peripheral neuropathy می‌گویند.)
  • دوکسوروبیسین می‌تواند به قلب آسیب برساند. با افزایش مقدار کل داروی داده شده، خطر این اتفاق افزایش می‌یابد. پزشکان سعی می‌کنند تا حد ممکن این خطر را با عدم تجویز بیش از دوزهای توصیه شده و با بررسی قلب با آزمایشی به نام اکوکاردیوگرام (سونوگرافی قلب یا echocardiogram) در طول روند درمان محدود کنند.
  • سیکلوفسفامید می‌تواند به مثانه آسیب برساند که می‌تواند باعث ایجاد خون در ادرار شود. این خطر را می‌توان با دادن مایعات فراوان و دارویی به نام مسنا (mesna) که به محافظت از مثانه کمک می‌کند، کاهش داد.

آزمایشات آزمایشگاهی برای بررسی عوارض جانبی شیمی درمانی

قبل از هر جلسه شیمی درمانی، پزشک از کودک شما آزمایش خون می‌گیرد تا سطح سلول‌های خونی را بررسی کند و ببیند کبد و کلیه‌ها چقدر خوب کار می‌کنند. اگر مشکلی وجود داشته باشد، ممکن است لازم باشد شیمی درمانی به تعویق بیفتد یا دوزها کاهش یابد.

عوارض طولانی مدت شیمی درمانی

اثرات طولانی مدت احتمالی روند درمان یکی از چالش‌های عمده ای است که ممکن است کودکان پس از درمان سرطان با آن مواجه شوند. مثلا:

  • اگر به کودک شما دوکسوروبیسین (آدریامایسین) داده شود، این احتمال وجود دارد که به قلب آسیب برساند. پزشک کودک شما به دقت دوزهای مصرف شده را زیر نظر گرفته و عملکرد قلب کودک شما را با آزمایش‌های تصویربرداری بررسی می‌کند.
  • برخی از داروهای شیمی درمانی می‌توانند خطر ابتلا به نوع دوم سرطان (مانند سرطان خون) را سال‌ها پس از دوره درمان تومور ویلمز افزایش دهند. اما این افزایش اندک در خطر باید با اهمیت شیمی درمانی در درمان تومور ویلمز سنجیده شود.
  • برخی داروها ممکن است سال‌ها بعد بر باروری (توانایی بچه دار شدن) نیز تأثیر بگذارند.

پرتو درمانی (Radiation Therapy) برای تومورهای ویلمز

پرتو درمانی از پرتوها یا ذرات پر انرژی برای از بین بردن سلول‌های سرطانی استفاده می‌کند.

چه زمانی می‌توان از پرتو درمانی استفاده کرد؟

پرتو درمانی اغلب بخشی از روند درمان تومورهای پیشرفته‌تر ویلمز (مراحل III، IV و V) و همچنین برای برخی از تومورهای مرحله اولیه با بافت‌شناسی آناپلاستیک است. این روش ممکن است در موارد زیر استفاده شود:

  • پس از جراحی برای مطمئن شدن ازین که تمام سرطان از بین رفته است.
  • قبل از جراحی برای این که تومور را کوچک کنید تا برداشتن آن آسان تر شود.
  • اگر بنا به دلایلی جراحی قابل انجام نباشد.

برای اطلاعات بیشتر در این مورد، به مبحث درمان بر اساس نوع و مرحله تومور ویلمز مراجعه کنید.

نحوه انجام پرتو درمانی

نوع پرتو درمانی مورد استفاده برای تومورهای ویلمز پرتو درمانی خارجی (external beam radiation therapy) نامیده می‌شود. تابش از یک منبع خارج از بدن بر روی سرطان متمرکز می‌شود.

قبل از شروع روند درمان، تیم پرتو درمانی با آزمایش‌های تصویر برداری مانند اسکن سی ‌تی یا ام ‌آر ‌آی اندازه‌ گیری‌های دقیقی را انجام می‌دهد تا زوایای مناسب برای نشانه‌گیری پرتوهای تشعشعی و دوز مناسب تابش را تعیین کند. این جلسه برنامه ریزی، شبیه سازی (simulation) نامیده می‌شود. ممکن است برای کودک شما یک قالب پلاستیکی شبیه قالب بدن تعبیه شود تا در طول هر جلسه درمانی وی در همان موقعیت قرار گیرد تا پرتو را با دقت بیشتری هدف گیری کند.

پرتو درمانی معمولاً 5 روز در هفته و به مدت چند هفته انجام می‌شود.

هر جلسه درمانی بسیار شبیه به عکس گرفتن با اشعه ایکس است، اگرچه دوز تابش بسیار قوی تر است. برای هر جلسه، کودک شما روی یک میز مخصوص دراز می‌کشد در حالی که یک دستگاه پرتو‌های تابشی را از زوایای دقیق ارسال می‌کند. هر جلسه حدود 15 تا 30 دقیقه طول می‌کشد و بیشتر زمان صرف اطمینان از هدف گیری صحیح پرتو‌ها می‌شود. زمان واقعی روند درمان بسیار کوتاه تر است. این روش درمانی دردناک نیست اما ممکن است به برخی از کودکان کوچک تر دارو داده شود تا قبل از هر جلسه درمانی، آن‌ها را خواب آلود کند یا بخواباند تا مطمئن شوند که بدنشان ثابت می‌ماند.

انواع پرتو درمانی

تکنیک‌های پرتو درمانی مدرن به پزشکان کمک می‌کنند تا درمان تومور‌ها را با دقت بیشتری نسبت به گذشته انجام دهند. این تکنیک‌ها ممکن است به افزایش میزان موفقیت و کاهش عوارض جانبی کمک کند.

پرتو درمانی سه بعدی منسجم (3D-CRT):‌ 3D-CRT از نتایج آزمایش‌های تصویر برداری مانند MRI و رایانه‌های ویژه برای نقشه برداری دقیق از محل تومور استفاده می‌کند. سپس پرتوهای تشعشعی شکل می‌گیرند و از جهات مختلف به سمت تومور نشانه می‌روند. هر پرتو به تنهایی نسبتا ضعیف است که باعث می‌شود کمتر به بافت‌های طبیعی بدن آسیب برساند اما پرتوها در تومور همگرا می‌شوند تا دوز بالاتری از تابش را در آن جا ایجاد کنند.

پرتو درمانی تعدیل شده با شدت (IMRT): IMRT شکل پیشرفته ای از درمان سه بعدی است. همراه با شکل دادن به پرتوها و هدف قرار دادن آن‌ها به سمت تومور از چندین زاویه، می‌توان شدت (قدرت) پرتوها را برای محدود کردن دوز رسیدن به بافت‌های طبیعی مجاور تنظیم کرد. این کار به پزشکان اجازه می‌دهد دوز بالاتری را به تومور تحویل دهند. بسیاری از بیمارستان‌های بزرگ و مراکز سرطان اکنون از IMRT استفاده می‌کنند.

عوارض جانبی احتمالی پرتو درمانی

پرتو درمانی اغلب بخش مهمی از روند درمان است اما بدن کودکان خردسال نسبت به آن بسیار حساس است، بنابراین پزشکان سعی می‌کنند تا حد امکان از پرتوهای کمتری برای جلوگیری یا محدود کردن هر گونه مشکل استفاده کنند. پرتو درمانی می‌تواند عوارض جانبی کوتاه ‌مدت و طولانی ‌مدت ایجاد کند که بستگی به دوز پرتو و مکان مورد نظر دارد.

اثرات کوتاه مدت احتمالی عبارتند از:

  • اثرات روی نواحی از پوست که تحت تابش قرار می‌گیرند می‌تواند از تغییرات خفیف مانند آفتاب سوختگی و ریزش مو تا واکنش‌های پوستی شدیدتر باشد.
  • تابش اشعه به شکم (belly) می‌تواند باعث تهوع یا اسهال شود.
  • پرتو درمانی می‌تواند کودک را خسته کند، به خصوص پس از چند روز یا چند هفته درمان.

اثرات طولانی مدت احتمالی عبارتند از:

  • تابش به ناحیه کلیه می‌تواند به کلیه‌ها آسیب برساند. این امر به احتمال زیاد در کودکانی که نیاز به درمان در هر دو کلیه دارند، نگران کننده است.
  • پرتو درمانی می‌تواند رشد بافت‌های طبیعی بدن (مانند استخوان‌ها) را که پرتو‌ها به آن‌ها تابیده می‌شوند را به ‌ویژه در کودکان کوچک‌تر، کند کند. در گذشته این امر منجر به بروز مشکلاتی مانند استخوان‌های کوتاه یا انحنای ستون فقرات می‌شد اما با دوزهای کمتر پرتو درمانی امروزی این احتمال کمتر است.
  • تابش به ناحیه قفسه سینه می‌تواند بر قلب و ریه‌ها تأثیر بگذارد. این امر معمولاً فوراً مشکلی ایجاد نمی‌کند اما در برخی از کودکان ممکن است با افزایش سن به مشکلات قلبی یا ریوی منجر شود.
  • در دختران، تابش به شکم (belly) ممکن است به تخمدان‌ها آسیب برساند. این امر ممکن است منجر به بروز چرخه‌های قاعدگی غیر طبیعی یا مشکلاتی برای باردار شدن یا بچه دار شدن در آینده شود.
  • پرتو درمانی کمی خطر ابتلا به سرطان دومی را معمولاً سال‌ها پس از تزریق در آن ناحیه افزایش می‌دهد. این موضوع اغلب در مورد تومورهای ویلمز اتفاق نمی‌افتد زیرا میزان پرتوهای مورد استفاده کم است.

روند درمان بر اساس نوع و مرحله تومور ویلمز

در ایالات متحده، اکثر کودکان مبتلا به تومورهای ویلمز در آزمایشات بالینی توسعه یافته توسط گروه انکولوژی کودکان درمان می‌شوند. هدف از این مطالعات، درمان هر چه بیشتر کودکان و در عین حال محدود کردن عوارض جانبی با انجام کمترین دوره درمانی لازم است. این کار با مقایسه بهترین روش درمانی فعلی با روش درمانی که پزشکان فکر می‌کنند بهتر است، انجام می‌شود. به همین دلیل، روند درمان ممکن است کمی با آن چه در اینجا توضیح داده شده متفاوت باشد.

درمان تومور ویلمز عمدتاً بر اساس مرحله سرطان و اینکه آیا بافت شناسی آن (چگونه زیر میکروسکوپ به نظر می‌رسد) مطلوب یا آناپلاستیک است، مشخص می‌شود. عوامل دیگری نیز می‌توانند بر درمان تأثیر بگذارند، از جمله:

  • سن کودک
  • اگر سلول‌های تومور تغییرات کروموزومی خاصی داشته باشند
  • اندازه تومور اصلی

در ایالات متحده، پزشکان ترجیح می‌دهند در اکثر موارد از جراحی به عنوان اولین روش درمانی استفاده کنند و سپس شیمی درمانی (و احتمالاً پرتو درمانی) را انجام دهند. در اروپا، پزشکان ترجیح می‌دهند شیمی درمانی را قبل از جراحی شروع کنند. به نظر می‌رسد نتایج حاصل از این رویکردها تقریباً یکسان باشد.

اغلب، مرحله و بافت شناسی سرطان در واقع زمانی مشخص می‌شود که جراحی برای برداشتن سرطان انجام می‌شود زیرا وسعت واقعی تومور اغلب تنها با آزمایش‌های تصویر برداری قابل تشخیص نیست. پزشکان از آنچه در طول جراحی یاد می‌گیرند برای هدایت بیشتر روند درمان استفاده می‌کنند. اما گاهی بر اساس آزمایشات تصویر برداری مشخص است که سرطان حتی قبل از انجام عمل جراحی به فراتر از کلیه گسترش یافته است. این امر می‌تواند بر ترتیب انجام دوره‌های درمانی و همچنین میزان جراحی تأثیر بگذارد.

مرحله I

این تومورها فقط در کلیه هستند و جراحی، تومور را به همراه کل کلیه، ساختارهای مجاور و برخی غدد لنفاوی مجاور به طور کامل حذف کرده است.

بافت شناسی مطلوب: کودکان کمتر از 2 سال با تومورهای کوچک (با وزن کمتر از 550 گرم) ممکن است پس از جراحی نیاز به دوره درمانی بیشتری نداشته باشند. اما آن‌ها باید به دقت تحت نظر قرار گیرند زیرا احتمال بازگشت سرطان کمی بیشتر از زمانی است که آن‌ها شیمی درمانی می‌کنند. اگر سرطان عود کند، داروهای شیمی درمانی اکتینومایسین D (داکتینومایسین) و وین کریستین (و احتمالاً جراحی بیشتر) به احتمال زیاد در این مرحله مؤثر خواهند بود.

برای کودکان بزرگتر از 2 سال و برای هر سنی که تومورهای بزرگتر دارند، جراحی معمولاً با شیمی درمانی برای چندین ماه با داروهای اکتینومایسین D و وین کریستین دنبال می‌شود. اگر سلول‌های توموری تغییرات کروموزومی خاصی داشته باشند، داروی دوکسوروبیسین (آدریامایسین) نیز ممکن است تجویز شود.

بافت شناسی آناپلاستیک: برای کودکان در هر سنی که دارای تومورهایی با بافت شناسی آناپلاستیک هستند، جراحی معمولاً با پرتو درمانی در ناحیه تومور همراه با شیمی درمانی با اکتینومایسین D، وین کریستین و احتمالاً دوکسوروبیسین (آدریامایسین) برای چندین ماه دنبال می‌شود.

مرحله II

این تومورها در خارج از کلیه به بافت‌های مجاور رشد کرده اند اما جراحی تمام علائم قابل مشاهده سرطان را حذف کرده است.

بافت شناسی مطلوب: پس از جراحی، روش درمانی استاندارد شیمی درمانی با اکتینومایسین D و وین کریستین است. اگر سلول‌های تومور تغییرات کروموزومی خاصی داشته باشند، داروی دوکسوروبیسین (آدریامایسین) نیز ممکن است تجویز شود. شیمی درمانی برای چند ماه داده می‌شود.

بافت شناسی آناپلاستیک، با آناپلازی کانونی (فقط به میزان کمی): هنگامی که کودک پس از جراحی بهبود می‌یابد، پرتو درمانی طی چند هفته انجام می‌شود. پس از پایان، شیمی درمانی (دوکسوروبیسین، اکتینومایسین D و وین کریستین) برای حدود 6 ماه تجویز می‌شود.

بافت شناسی آناپلاستیک با آناپلازی منتشره (گسترده یا diffuse): پس از جراحی، این کودکان در طی چند هفته تحت پرتو درمانی قرار می‌گیرند. به دنبال آن نوع شدیدتر شیمی درمانی با استفاده از داروهای وین کریستین، دوکسوروبیسین، اتوپوزید، سیکلوفسفامید و کربوپلاتین همراه با مسنا (mesna، دارویی که به محافظت از مثانه در برابر اثرات سیکلوفسفامید کمک می‌کند) انجام می‌شود که حدود 6 ماه تجویز می‌شود.

مرحله III

جراحی نمی‌تواند این تومورها را به دلیل اندازه یا محل آن‌ها یا به دلایل دیگر به طور کامل حذف کند. در برخی موارد، جراحی ممکن است تا زمانی به تعویق بیفتد که سایر روش‌های درمانی بتوانند ابتدا تومور را کوچک کنند.

بافت شناسی مطلوب: در صورت امکان، روش درمان معمولاً جراحی است و به دنبال آن پرتو درمانی طی چند روز انجام می‌شود. به دنبال آن شیمی درمانی با 3 دارو (اکتینومایسین D، وین کریستین و دوکسوروبیسین) انجام می‌شود. اگر سلول‌های تومور تغییرات کروموزومی خاصی داشته باشند، داروهای سیکلوفسفامید و اتوپوزید نیز ممکن است تجویز شوند. شیمی درمانی برای حدود 6 ماه تجویز می‌شود.

بافت شناسی آناپلاستیک، با آناپلازی کانونی (فقط به میزان کمی): روند درمان در صورت امکان با جراحی شروع می‌شود و به دنبال آن پرتو درمانی طی چند هفته انجام می‌شود. به دنبال آن شیمی درمانی، معمولاً با 3 دارو (اکتینومایسین D، وین کریستین، و دوکسوروبیسین) برای حدود 6 ماه انجام می‌شود.

بافت شناسی آناپلاستیک، با آناپلازی منتشره (گسترده): روند درمان در صورت امکان با عمل جراحی شروع می‌شود و به دنبال آن پرتو درمانی طی چند هفته انجام می‌شود. به دنبال آن شیمی درمانی، معمولاً با داروهای وین کریستین، دوکسوروبیسین، اتوپوزید، سیکلوفسفامید و کربوپلاتین همراه با مسنا (دارویی که به محافظت از مثانه در برابر اثرات سیکلوفسفامید کمک می‌کند) دنبال می‌شود. شیمی درمانی حدود 6 ماه طول می‌کشد.

در برخی موارد تومور ممکن است بسیار بزرگ باشد یا ممکن است به رگ‌های خونی نزدیک یا سایر ساختارها رشد کرده باشد به طوری که نمی‌توان آن را به طور ایمن برداشت. در این کودکان، نمونه بیوپسی کوچکی از تومور گرفته می‌شود تا از ویلمز بودن آن اطمینان حاصل شده و بافت شناسی آن مشخص شود. سپس شیمی درمانی شروع می‌شود. معمولاً تومور در عرض چند هفته به اندازه کافی کوچک می‌شود تا بتوان جراحی را انجام داد. اگر این اتفاق رخ ندهد، ممکن است پرتو درمانی نیز انجام شود. شیمی درمانی پس از جراحی دوباره شروع می‌شود. اگر قبل از جراحی پرتو درمانی انجام نشده باشد، پس از جراحی داده می‌شود.

مرحله IV

این تومورها در زمان تشخیص به نقاط دوردست بدن گسترش یافته اند. مانند تومورهای مرحله III، جراحی برای برداشتن تومور ممکن است اولین روند درمان باشد اما ممکن است نیاز باشد تا زمانی که سایر روش‌های درمانی بتوانند تومور را کوچک کنند، انجام آن به تعویق بیفتد (به مطالب زیر مراجعه کنید).

بافت شناسی مطلوب: در صورت امکان جراحی برای برداشتن تومور اولین روش درمان و به دنبال آن پرتو درمانی است. اگر بعد از جراحی هنوز مقداری از بافت سرطانی باقی مانده باشد، کل شکم تحت درمان قرار می‌گیرد. اگر سرطان به ریه‌ها سرایت کرده باشد، ممکن است دوزهای کم پرتو به آن ناحیه نیز داده شود. به دنبال آن شیمی درمانی، معمولاً با 3 دارو (اکتینومایسین D، وین کریستین و دوکسوروبیسین) برای حدود 6 ماه انجام می‌شود. اگر سلول‌های تومور تغییرات کروموزومی خاصی داشته باشند، داروهای سیکلوفسفامید و اتوپوزید نیز ممکن است تجویز شوند.

بافت شناسی آناپلاستیک: در صورت امکان، روند درمان ممکن است با جراحی شروع شده و به دنبال آن پرتو درمانی انجام شود. اگر بعد از جراحی هنوز مقداری بافت سرطانی باقی مانده باشد، کل شکم تحت درمان قرار می‌گیرد.

در صورتی که سرطان در آن جا گسترش یافته باشد، دوزهای کم پرتو درمانی نیز به ریه‌ها داده می‌شود. به دنبال آن شیمی درمانی با داروهای وین کریستین، دوکسوروبیسین، اتوپوزید، سیکلوفسفامید و کربوپلاتین همراه با مسنا به مدت حدود 6 ماه انجام می‌شود. اگر سلول‌های تومور آناپلازی منتشره (گسترده) داشته باشند، برخی از پزشکان ممکن است ابتدا داروهای شیمی درمانی ایرینوتکان و وین کریستین را امتحان کنند (اگرچه این روش هنوز یک درمان متداول نیست). اگر تومور در پاسخ به این داروها کوچک شود، روند درمان تنظیم و پایش می‌شود.

اگر تومور بیش از حد بزرگ است یا بیش از حد رشد کرده است که نمی‌توان ابتدا با عمل جراحی ایمن آن را خارج کرد، ممکن است یک نمونه بیوپسی کوچک از تومور گرفته شود تا مطمئن شوند که تومور از نوع ویلمز است و بافت ‌شناسی آن مشخص شود. سپس ممکن است از شیمی درمانی و یا پرتو درمانی برای کوچک کردن تومور استفاده شود. در این مرحله جراحی ممکن است یک گزینه باشد. اگر قبلاً انجام نشده باشد، شیمی درمانی و پرتو درمانی بیشتری دنبال می‌شود.

برای سرطان‌های مرحله IV که به کبد گسترش یافته اند، جراحی ممکن است گزینه ای برای برداشتن تومورهای کبدی باشد که پس از شیمی درمانی و پرتو درمانی همچنان باقی مانده اند.

مرحله V

درمان کودکان مبتلا به تومور در هر دو کلیه برای هر کودک منحصر به فرد است، اگرچه معمولاً شامل جراحی، شیمی درمانی و پرتو درمانی در برخی مواقع است.

بیوپسی (نمونه‌های بافتی) از تومورها در کلیه‌ها و غدد لنفاوی مجاور ممکن است ابتدا گرفته شود، اگرچه همه پزشکان احساس نمی‌کنند که این مورد نیاز است زیرا وقتی هر دو کلیه تومور دارند، احتمال اینکه آن‌ها تومور ویلمز باشند، بسیار زیاد است.

معمولاً ابتدا شیمی درمانی برای کوچک کردن تومورها تجویز می‌شود. داروهای مورد استفاده به وسعت و بافت شناسی (در صورت شناخته شدن) تومورها بستگی دارد. پس از حدود 6 هفته از شیمی درمانی، جراحی (نفرکتومی جزئی) ممکن است برای برداشتن تومورها انجام شود، اگر بافت طبیعی کلیه به اندازه کافی باقی بماند. اگر تومورها به اندازه کافی کوچک نشده باشند، روند درمان ممکن است شامل شیمی درمانی یا پرتو درمانی بیشتر برای حدود 6 هفته دیگر باشد. سپس ممکن است جراحی (نفرکتومی جزئی یا رادیکال) انجام شود. به دنبال آن شیمی درمانی بیشتری انجام می‌شود، احتمالاً همراه با پرتو درمانی اگر قبلاً انجام نشده باشد.

اگر پس از جراحی، بافت کلیه به اندازه کافی کارآمد باقی نماند، ممکن است کودک به دیالیز نیاز داشته باشد، روشی که در آن یک دستگاه ویژه چندین بار در هفته مواد زائد را از خون فیلتر می‌کند. اگر بعد از یک یا دو سال شواهدی از سرطان وجود نداشته باشد، پیوند کلیه اهدا کننده ممکن است انجام شود.

تومور عود کننده ویلمز (Recurrent Wilms tumor)

پیش آگهی (وضعیت آتی) و روند درمان برای کودکان مبتلا به تومور ویلمز که عود می‌کند (پس از درمان باز می‌گردند) به دوره درمان قبلی آن‌ها، بافت شناسی سرطان (مطلوب یا آناپلاستیک) و محل عود آن بستگی دارد. چشم انداز به طور کلی برای تومورهای عود کننده ویلمز با ویژگی‌های زیر بهتر است:

  • بافت شناسی مطلوب
  • تشخیص اولیه مرحله I یا II
  • شیمی درمانی اولیه فقط با وین کریستین و اکتینومایسین D
  • بدون پرتو درمانی قبلی

روند درمان معمول برای این کودکان، جراحی برای برداشتن سرطان عود کننده (در صورت امکان)، پرتو درمانی (اگر قبلاً در آن ناحیه انجام نشده باشد) و شیمی درمانی، اغلب با داروهایی متفاوت از داروهای مورد استفاده در اولین دوره درمان است.

درمان تومورهای عود کننده ویلمز که ویژگی‌های فوق را ندارند بسیار سخت تر است. این کودکان معمولاً با شیمی درمانی تهاجمی مانند رژیم ICE (ایفسفامید، کربوپلاتین و اتوپوزید) یا سایر مواردی که در کار آزمایی‌های بالینی مورد مطالعه قرار می‌گیرند، درمان می‌شوند. شیمی درمانی با دوز بسیار بالا و به دنبال آن پیوند سلول‌های بنیادی (که گاهی پیوند مغز استخوان یا bone marrow transplant نامیده می‌شود) نیز ممکن است یک گزینه در این شرایط باشد، اگرچه هنوز در حال مطالعه است.

منبع

مترجم: فاطمه فریادرس

از این مطلب چقدر راضی بودید؟

روی ستاره کلیک کنید تا نظرتون ثبت بشه

4.5 / 5. تعداد رای دهندگان: 18

تا حالا امتیازی برای این مطلب ثبت نشده؛ با ثبت نظرتون مارو خوشحال می‌کنید

12 thoughts on “تومور ویلمز چیست؟ انواع، علائم، درمان

    • Farbod Esfandi میگوید:

      ✔ اگر تومور در مراحل اولیه تشخیص داده شود و درمان مناسب انجام شود، بسیاری از کودکان طول عمر طبیعی خواهند داشت.
      ✔ حتی در مراحل پیشرفته، درمان‌های مدرن باعث افزایش بقای بیماران تا 70-80% شده‌اند.
      ✔ پیگیری‌های منظم پس از درمان اهمیت زیادی در جلوگیری از عود بیماری دارد.

    • Farbod Esfandi میگوید:

      تصمیم‌گیری برای شیمی‌درمانی پس از جراحی تومور ویلمز باید توسط تیم پزشکی متخصص و بر اساس جزئیات دقیق پزشکی بیمار اتخاذ شود. مشورت با انکولوژیست‌های متخصص کودکان برای ارزیابی دقیق و برنامه‌ریزی درمانی بهینه ضروری است.

    • Farbod Esfandi میگوید:

      سلام! اناپلازی در زمینه تومور ویلمز (یا نفروبلاستوما که یک نوع سرطان کلیه است که بیشتر در کودکان دیده می‌شود) به تغییرات سلولی غیرطبیعی اشاره دارد که نشان‌دهنده پیشرفته‌تر بودن و بالقوه پرخطرتر بودن تومور است. اناپلازی معمولاً به معنای بدخیمی بیشتر و پیش‌آگهی نامساعدتر در تومورها است.

      مشخصات اناپلازی در تومور ویلمز
      هیپرکرومازی: افزایش رنگ‌پذیری هسته‌های سلولی، نشان‌دهنده تراکم بالای ماده ژنتیکی.
      پلی‌مورفیسم هسته‌ای: وجود هسته‌هایی با اندازه و شکل نامنظم.
      میتوز غیرطبیعی: افزایش تعداد و غیرطبیعی بودن فرایندهای تقسیم سلولی.

  1. کاربر ژنیران میگوید:

    نوزادی داریم یکماهه است آیا توده کایه چپ مشمول تومور ویلیز می‌شود یا خیر و راهکارش چی هست ؟

  2. کاربر ژنیران میگوید:

    سلام. مریض مردی 53 ساله پارسال تحت جراحی نفرکتومی کامل کلیه چپ وهمزمان تعویض دریچه آیورت قرار گرفت. پس از آن دچار آسیت شکمی شد که شکر خدا خوب شد بعد تومور وارد مغز شد رادیو تراپی انجام شد. الان دچار نابینایی موضعی شده و پس از گرفتن سی تی نشهندهنده رسوب رگهایی در قسمتی که کلیه تخلیه شده است علت ودرمان چیست لطفا

دیدگاهتان را بنویسید

نشانی ایمیل شما منتشر نخواهد شد. بخش‌های موردنیاز علامت‌گذاری شده‌اند *

call