مقدمه رنگ سافرانین
سافرانین یک رنگ کاتیونی است که در بافت شناسی و سیتولوژی برای تشخیص و شناسایی بافتها و سلولهای مختلف استفاده میشود. از این ماده در تحقیقات پزشکی جهت رنگ آمیزی پروتئوگلیکانهای اسیدی موجود در بافتهای غضروف استفاده میگردد و محققان را قادر میسازد تا غضروفزایی سلولی را به طور دقیق مورد بررسی قرار دهند.
این رنگ همچنین به عنوان ضد رنگ در رنگ آمیزی اندوسپور و رنگ آمیزی Gram استفاده میشود. این ماده بیشتر در شناسایی غضروف، موسین و گرانول سلولهای mast cell کاربرد دارد.
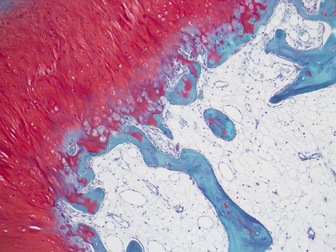
رنگ سافرانین با اتصال به پروتئوگلیکانهای اسیدی در بافتهای غضروفی با میل ترکیبی بالا و تشکیل کمپلکس نارنجی مایل به قرمز عمل میکند. اتصال بافتهای غضروفی که در زیر میکروسکوپ مشاهده می شود قرمز به نظر می رسد.

بافتهای غضروفی در زیر میکروسکوپ قرمز به نظر میرسند. رنگ سافرانین به محققان کمک میکند تا نه تنها بافتهای غضروف، بلکه تمام بافتها و اندامهای بدن را نیز شناسایی کنند. سافرانین یکی از بهترین رنگهای ایمن آزمایشگاهی است که برای تحقیقات هیستوپاتولوژی و سیتولوژی استفاده میشود.
ویژگیها
سافرانین یک رنگ بیولوژیکی اساسی است که معمولاً به عنوان ضد رنگ در برخی از پروتکلهای رنگ آمیزی مانند رنگ آمیزی گرم مورد استفاده قرار میگیرد. خواص شیمیایی و فیزیکی آن به قرار زیر است:
- نام شیمیایی: ۳و۷- دی آمینو-۲و۸-دی متیل-۵-فنیل فنازینوم کلراید
- وزن مولکولی: ۳۵۰.۸۴
- فرمول مولکولی: C20H19CIN4
- انحلال پذیری: محلول در اتانول
- رنگ: قرمز مایل به قهوهای
- بو: فاقد بوی خاص
- ساختار فیزیکی: به صورت پودری
مراحل رنگ آمیزی
روشی که در ادامه توضیح داده شده باید برای رنگآمیزی سافرانین دنبال گردد:
برای تهیه محلول رنگ آمیزی میبایست:
۱. ابتدا ۲۰ میلی گرم از پودر سافرانین را به یک بشر ۱۰۰ میلی لیتری اضافه نمایید.
۲. سپس۲۰ میلی لیتر آب مقطر را در ظرف ریخته و با هم زدن مداوم محلول رنگ آمیزی سافرانین ۰.۱٪ بسازید.
۳. ۲۰ میلی گرم رنگ فست گرین را در یک بشر ۱۰۰ میلی لیتری دیگر انتقال دهید. علاوه بر این، با افزودن ۲۰ میلی لیتر آب مقطر، آن را به محلول حاوی رنگ ۰.۱٪ تبدیل کنید.
۴. هر دو محلول رنگآمیزی را فیلتر کنید تا از ورود ذرات اضافی دیگر جلوگیری شود.

تهیه اسلایدها برای مشاهده
۱. اسلایدها را پس از پارافین زدایی، آبدهی کنید.
۲. پس از شستن لامها، آنها را به محلول گرین فست به مدت ۱۰-۵ دقیقه آغشته نمایید.
۳. اسلایدها را با اسیداستیک ۰.۱٪ به مدت ۱۵-۱۰ ثانیه شستشو دهید.
۴. اسلایدها را با محلول سافرانین ۰.۱٪ به مدت ۲۰ تا ۳۰ دقیقه رنگ آمیزی کنید.
۵. اسلایدها را تمیز و آبگیری یا الکل دهی کنید (در اتانول ۹۵% و ۱۰۰% آبگیری کنید).
۶. برای تجزیه و تحلیل کیفی و کمی، لامها را زیر میکروسکوپ مشاهده کنید.
رنگ آمیزی گرم
رنگ آمیزی گرم برای تشخیص افتراقی تمایز دو گروه بزرگ از باکتری ها استفاده میشود که بسته به مواد تشکیل دهنده دیواره سلولی آنها، باکتریها را به دو گروه بزرگ گرم منفی و گرم مثبت تقسیم میکند. این گروههای باکتریایی به عنوان باکتری های گرم مثبت و گرم منفی نامگذاری شدهاند.
وجود یک لایه ضخیم پپتیدوگلیکان در باکتریهای گرم مثبت باعث میشود که به رنگ بنفش مشاهده شوند در حالی که لایه نازکتر پپتیدوگلیکان در باکتریهای گرم منفی باعث میشود که پس از رنگآمیزی گرم به رنگ صورتی درآیند. سافرانین به عنوان ضدرنگ یا counterstain در رنگآمیزی گرم عمل میکند.
روش رنگ آمیزی گرم به شرح زیر است:
۱. نمونه را روی لام قرار داده و آن را با حرارت ثابت کنید.
۲. رنگ اولیه (بنفش کریستال) را به نمونه اضافه نموده و آن را به مدت ۱ دقیقه انکوبه کنید. لام را با آب بشویید تا رنگ چسبیده از بین برود.
۳. ید گرم را به مدت ۱ دقیقه اضافه کنید (ید به عنوان ماده تثبیت کننده، عمل میکند).
۴. با استفاده از استون یا الکل، لام را به مدت ۳ ثانیه شستشو دهید.
۵. پس از افزودن رنگ سافرانین (رنگ ثانویه) لام را به مدت ۱ دقیقه انکوبه نمایید.
۶. مجدداً لام را به مدت ۵ ثانیه با آب بشویید.
۷. اسلاید را زیر میکروسکوپ قرار داده و مشاهده کنید.
روش یوهانسن
روش یوهانسن با روش رنگ آمیزی سافرانین متفاوت است. این پروتکل به طور گسترده برای بررسی بافت گیاهی استفاده میشود. هنگامی که بافتهای گیاهی با روش یوهانسن رنگآمیزی میشوند، کروموزومها، هستهها، دیوارههای سلولی لیگنینی یا کوتینی قرمز روشن به نظر میرسند. روش رنگ آمیزی به شرح زیر است:
۱. اسلایدها را پارافین زدایی کنید و با استفاده از سری EtOH (اتیل الکل) درجه بندی شده، لامها را به ۷۰% برسانید.
۲. لامها را به مدت ۲۴-۲ ساعت در محلول سافرانین O رنگ آمیزی کنید.
۳. رنگ اضافی را با آب مقطر بشویید.
۴. اسلایدها را در اتیل الکل ۹۵٪ به همراه اسیدپیکریک ۰.۵٪ به مدت ۱۰ ثانیه آبگیری نمایید.
۵. اسلایدها را به مدت ۱۰ ثانیه تا ۱ دقیقه (دیگر) در EtOH ۹۵٪ + ۴ قطره هیدروکسیدآمونیوم در ۱۰۰ میلی لیتر بشویید تا عملکرد اسیدپیکریک متوقف گردد.
۶. اسلایدها را به مدت ۱۰ ثانیه در EtOH ۱۰۰٪ فرو کنید تا آبگیری تمام شود.

۷. با محلول رنگ آمیزی فست گرین به مدت ۱۰ تا ۱۵ رنگ آمیزی ثانویه انجام دهید. حلال اضافی را بیفزایید تا رنگ فست گرین بتواند باقی بماند؛ زیرا رنگ در حین استفاده تبخیر میشود.
۸. محلول گرین فست اضافی را بشویید.
۹. اسلایدها را با غوطه ور کردن در یک محلول شفاف به مدت ۱۰-۵ ثانیه شستشو دهید.
۱۰. برای حذف محلول پاک کننده، ۲ تا ۳ قطره EtOH ۱۰۰٪ را در زایلن پلاس فرو کنید.
۱۱. اسلایدها را در زایلن پاک و شفاف کنید. این مرحله را دو بار تکرار کنید.
۱۲. اسلایدها را در محلول نهایی زایلن در حین گذاشتن لامل بر روی لام، نگه دارید.
۱۳. بخشهای بافت را زیر میکروسکوپ مشاهده کنید.
کاربردها
رنگ آمیزی سافرانین پرکاربردترین تکنیک رنگ آمیزی برای تمایز سلولی، سنجشهای مبتنی بر سلول و کشت سلولهای بنیادی است. این رنگ معمولاً برای تعیین کمیت و شناسایی پروتئوگلیکانهای اسیدی و گلیکوزآمینوگلیکانها در بافتهای غضروفی استفاده میشود. رنگ آمیزی سافرانین به محققان کمک میکند تا نه تنها بافتهای غضروف، بلکه تمام بافتها و اندامهای بدن را نیز شناسایی کنند. در قسمت زیر به برخی از کاربردهای تحقیقاتی رنگ سافرانین پرداخته شده است:
۱. استفاده از سافرانین برای رنگ آمیزی مقاطع یخ زده
سافرانین یک رنگ ارزان و ایمن است که عمدتاً برای رنگ آمیزی بافتهای گیاهی جهت آنالیز بافتشناسی استفاده میشود. سپس برای تشخیص دقیق مقاطع منجمد کارسینوم سلولهای بازال و سنگفرشی مورد استفاده قرار گرفته. در این آزمایش از کربنات لیتیوم ۱٪ و محلول رنگآمیزی سافرانین ۰.۵٪ استفاده شد که کراتین را به رنگ قرمز عمیق درآورد، در حالی که سایر ساختارها مانند سلولهای عضلانی، فولیکولهای مو، گرانولهای ماست سل و غدد چربی را به رنگ قرمز متمایل به صورتی رنگ آمیزی شدند.
در نتیجه، رنگ آمیزی سافرانین اسلایدهایی با کنتراست بالا در اختیار آزمایشکنندگان قرار داد که برای تشخیص بهتر و آسانتر بخشهای منجمد کارسینوم سلولهای بازال و سنگفرشی آسانتر زیر میکروسکوپ کاربرد داشتند. رنگ آمیزی سافرانین امیدوارکنندهترین روش رنگ آمیزی است که برای آنالیز بافتشناسی و تشخیص سلولهای تومور با دقت معقول استفاده میگردد.
۲. رنگآمیزی سافرانین برای ارزیابی خاصیت انتخابی لایهبرداری چوب توسط قارچهای پوسیدهکننده سفید
در تحقیق دیگری، از رنگ آمیزی سافرانین برای بررسی بخشهای میکروتوم کریوستات چوب توس که توسط قارچهای پوسیدهکننده سفید تخریب شدهاند، استفاده شد. در آزمایش از ترکیب سافرانین با Astra-blue استفاده شد. سافرانین بدون توجه به حضور سلولز، لیگنین را رنگ آمیزی کرد، در حالی که Astra-blue سلولز را فقط در غیاب لیگنین به رنگ آبی تبدیل کرد.
سپس اسلایدها در زیر میکروسکوپ نوری مشاهده شدند. این روش، روش غربالگری راحت و قابل اعتمادی را برای تمایز بین قارچهای تجزیهکننده سلولز و لیگنین و قارچهایی که فقط سلولز را تجزیه میکنند، فراهم نمود. این تکنیک آنالیز مورفولوژیکی و بافتشناسی دقیق سلولهای گیاهی را به محققین ارائه داد.
۳. کمی سازی میکرواسپکتروفتومتری گلیکوزآمینوگلیکان در مقاطع غضروف مفصلی رنگ آمیزی شده با سافرانین O
رنگ آمیزی سافرانین به محققان کمک کرده است تا یک روش میکرواسپکتروفتومتری جدید برای اندازهگیری کمی گلیکوزآمینوگلیکانها در بافت غضروف ایجاد کنند. شدت رنگ بافتها متناسب با مقدار گلیکوزآمینوگلیکانها در ماتریکس غضروف بود. با استفاده از کروماتوگرافی گازی و کروماتوگرافی لایه نازک، بار منفی ثابت موجود در آنالیت تعیین شد. رنگ آمیزی سافرانین متداولترین روش برای تشخیص و آنالیز غضروفزایی سلولی است.
۴. رنگ آمیزی گرم
سافرانین همچنین به عنوان ضدرنگ در رنگ آمیزی گرم استفاده میگردد. در رنگ آمیزی گرم، سافرانین مستقیماً باکتریهای بیرنگ را رنگ آمیزی مینماید. با رنگ آمیزی سافرانین، باکتریهای گرم منفی را میتوان به راحتی از باکتریهای گرم مثبت تشخیص داد.
کاربردهای تحقیقاتی ذکر شده از رنگ سافرانین نشان میدهد که رنگ آمیزی سافرانین تنها به بافتشناسی گیاهی محدود نمیشود، بلکه میکروبیولوژی، انکولوژی، تمایز سلولهای بنیادی و آرترولوژی را نیز شامل میشود.
مزایا و محدودیتهای رنگ سافرانین
این ماده به طور گسترده در تشخیصهای آزمایشگاهی استفاده میشود. در ادامه مزایا و محدودیتهای استفاده از رنگ آمیزی سافرانین در تحقیقات زیست پزشکی ذکر شده است:
- رنگ آمیزی سافرانین محبوبترین ضدرنگ مورد استفاده در آزمایشگاههای پزشکی است.
- یک رنگ ارزان و ایمن است.
- یک رنگ تایید شده برای کروموزوم ها است.
- میتوان از آن برای رنگ آمیزی سلولهای حیوانی و گیاهی، آنالیز سیتولوژیک و بافتشناسی استفاده نمود.
- امکان تشخیص آسان و سریع بافت آوندی گیاه را فراهم میسازد.
- تشخیص بهتر بخشهای منجمد سلولهای تومور.
- این رنگ به میکروبیولوژیستها کمک میکند تا باکتریهای گرم منفی بی رنگ شده را در طی رنگ آمیزی گرم، رنگدار کنند.
- این رنگ، پژوهشگران را قادر میسازد تا آنالیز کیفی و همچنین کمی پروتئوگلیکانهای موجود در ماتریکس غضروف را در تشخیص بیماریهای مفصلی انجام دهند.
- در بیماریهایی که از دست دادن گلیکوزآمینوگلیکان فراوان است، سافرانین شاخص حساسی نیست.
موارد احتیاط
هنگام استفاده از رنگ سافرانین باید اقدامات احتیاطی زیر را انجام داد:
- پودر سافرانین را دور از حرارت و سطوح داغ نگهداری کنید زیرا سافرانین قابل اشتعال است.
- هنگام استفاده از محلول سافرانین از دستکش و ماسک صورت استفاده کنید؛ زیرا میتواند باعث آسیب شدید چشمی و تحریک پوست شود.
- پودر را در مکانی سرد یا دارای تهویه مناسب نگهداری کنید.
- قبل و بعد از عمل رنگ آمیزی، دستها و محل کار خود را شستشو دهید.
- در نهایت مواد دور ریختنی و ضایعات را با رعایت قوانین آزمایشگاهی با خیال راحت دفع کنید.
خلاصه
سافرانین یک رنگ کاتیونی است که در بافت شناسی و سیتولوژی برای تشخیص و شناسایی بافتها و سلولهای مختلف استفاده میشود. از این ماده در تحقیقات پزشکی جهت رنگ آمیزی پروتئوگلیکانهای اسیدی موجود در بافتهای غضروف استفاده میگردد و محققان را قادر میسازد تا غضروفزایی سلولی را به طور دقیق مورد بررسی قرار دهند.
جهت خرید و یا استعلام قیمت با ما تماس بگیرید یا در واتسپ پیام بزارید
همچنین بخوانید:
- رنگ های رومانوفسکی: اصول، انواع، کاربردها
- رنگ گیمسا (Giemsa): اصول، پروسه آمادهسازی و استفاده، نتایج و تفسیر



