رنگ آمیزی آیرون هماتوکسیلین چیست؟
این روش یک تکنیک رنگ آمیزی سنتی است که معمولاً برای شناسایی تکیاختههای رودهای، عمدتاً به دلیل ماندگاری و توانایی آن برای نشان دادن، مشاهده و تعیین کمیت ساختارهای هسته تکیاختهها با وضوح بالا، استفاده میشود. آیرون هماتوکسیلین، رنگی بود که برای اکثر توصیفات مورفولوژیکی اصلی تکیاختههای رودهای که در انسان یافت میشود، استفاده میشد.
روش رنگ آمیزی آیرون هماتوکسیلین میتواند ساختار درون سلولی و هستهای را در مقایسه با سیتوپلاسم، تیره رنگ کند تا به راحتی مورفولوژی انگل شناسایی شود.
روشهای رنگ آمیزی آیرون هماتوکسیلین را میتوان با نمونههای تازه یا نگهداری شده با سدیم استات استیک اسید فرمالین (Sodium acetate acetic acid formalin (SAF)) و یا با پلیوینیل الکل (Polyvinyl-alcohol (PVA)) استفاده کرد.

اصول رنگ آمیزی آیرون هماتوکسیلین
هماتوکسیلین یک رنگ طبیعی است که از هماتوکسیلون کامپکیانوم (Haematoxylon campechianum) (یکی از حبوبات) استخراج میشود که برای تشکیل هماتئین (Hematein) باید تحت اکسیداسیون (پسرسی (Ripening)) قرار گیرد.
اکسیداسیون فرآیندی آهسته است که شامل حل کردن کریستالهای هماتوکسیلین در آب و سپس قرار گرفتن آن در معرض اکسیژن (هوا) و افزودن پراکسید هیدروژن (Hydrogen peroxide) با نظارت دقیق برای جلوگیری از اکسیداسیون بیش از حد است. اکسیداسیون بیش از حد منجر به تشکیل اکسی هماتین (Oxy-hematein) میشود که یک رنگ نیست.
محلول هماتوکسیلین از ترکیبی از هماتوکسیلین، هماتئین، اکسی هماتین ساخته شده است. هماتین به عنوان یک ماده تثبیت کننده برای تولید رزدانه عمل میکند، یعنی با سولفات آمونیوم آهن (Ferric ammonium sulfate) واکنش میدهد تا رزدانه آهن (آیرون هماتوکسیلین)، به عنوان یک رنگ پایه را تولید کند. ترکیب آیرون هماتوکسیلین پایدار بوده و ساختارهای مورد استفاده برای شناسایی تکیاختههای روده را به شدت رنگ میکند.
آیرون هماتوکسیلین بیشتر برای رنگ آمیزی به صورت پسرونده (Regressive) استفاده میشود، یعنی لامها (Slide) ابتدا بیش از حد رنگ آمیزی شده و سپس متمایز میشوند. استفاده از ید الکلی (Alcoholic iodine) تثبیت کامل اسمیر را تضمین میکند.
اهداف رنگ آمیزی آیرون هماتوکسیلین
- برای نشان دادن وجود انگلهای رودهای از نمونه مدفوع مشخص.
- برای افتراق مورفولوژی انگلهای تکیاختهای.
شناساگرها
آب مقطر، کلرید جیوه (Mercuric Chloride)، اتیل الکل (Ethyl alcohol)، ید، سولفات آمونیوم آهن (آلوم آهن (Iron Alum))، اسید هیدروکلریک (Hydrochloric acid)، هماتوکسیلین، ید الکلی.

روش رنگ آمیزی آیرون هماتوکسیلین

آمادهسازی محلولها
- محلول Schaudinn: به 80 میلیلیتر آب مقطر، یک محلول اشباع از کلرید جیوه، 20 میلیلیتر اتیل الکل (95٪) و 3 میلیلیتر اسید استیک اضافه کنید.
- محلول ید: 98 میلیلیتر اتیل الکل (95%) و 2 میلیلیتر تنتور ید (Tincture of iodine) (2%) اضافه کنید.
- محلول متمایز کننده- تثبیت کننده: آلوم آهن (سولفات آمونیوم آهن) 2 گرم، 1 میلیلیتر اسید هیدروکلریک، آب مقطر 98 میلیلیتر.
- محلول هماتوکسیلین: هماتوکسیلین 0.30 گرم، آب مقطر 100 میلیلیتر.
توجه: رنگ آیرون هماتوکسیلین و محلولهای متمایز کننده- تثبیت کننده زمانی که در دمای مناسب نگهداری شوند، به مدت 12 ماه به صورت جداگانه پایدار هستند. پس از آماده شدن محلول کار، قبل از استفاده از آن برای رنگ آمیزی، اجازه دهید به مدت 7 روز ثابت بماند. فیلتر کردن رنگها به صورت دورهای با استفاده از کاغذ صافی برای از بین بردن هرگونه اضافاتی (Debris) که ممکن است وجود داشته باشد، توصیه میشود و همیشه در ظرف را ببندید تا تبخیر نشود.
آمادهسازی نمونههای PVA
- نمونههای نگهداری شده با PVA باید حداقل به مدت 30 دقیقه پایدار شوند و محتویات با دو میله اپلیکاتور مخلوط کنید.
- مقداری از مخلوطهای PVA فوق را روی یک حوله کاغذی بریزید و جهت جذب موثر PVA، اجازه دهید 2 تا 3 دقیقه بماند.
- مقداری از نمونههای مدفوع را روی حوله کاغذی با استفاده از یک اپلیکاتور چوبی روی لامهای شیشهای قرار دهید و اجازه دهید در انکوباتور در دمای 37 درجه سانتیگراد یا یک شب در دمای اتاق خشک شود تا از خشک شدن کامل اسمیر اطمینان حاصل شود.
- به اسمیر خشک، ید – الکل اضافه کنید.
آمدهسازی نمونههای SAF
- یک نمونه مدفوع با SAF مخلوط کنید و از طریق یک توری نسوز (Wire gauze) به داخل یک لوله سانتریفیوژ 15 میلیلیتری صاف کرده و به مدت 1 دقیقه با سرعت روتور 500 xg سانتریفیوژ کنید.
- مایع رویی را تخلیه کرده و به مدت 10 دقیقه در 500xg سانتریفیوژ کرده و رسوبات 0.5 میلیلیتری تا 10 میلیلیتری را جمع آوری کنید. در صورت لزوم، با تکرار مرحله 1 یا با معلق کردن مجدد رسوب در نمک (NaCl 85 درصد) و حذف بخشی از سوسپانسیون، نمونه را تعدیل کنید.
- با اضافه کردن یک قطره آلبومین مایر (Mayer’s albumin) روی اسمیر، یک اسمیر روی یک لام شیشهای تمیز از رسوبات برای استفاده بعدی، آماده کنید. سپس یک قطره از رسوبات نمونه نگهداری شده با SAF را اضافه کنید و اجازه دهید قبل از رنگ آمیزی به مدت 30 دقیقه در دمای اتاق مانده تا خشک شوند.
- همچنین میتوانید (نه الزاما) جهت تثبیت مجدد، قبل از رنگ آمیزی با محلول Schaudinn، قبل از شروع پروسه رنگ آمیزی تریکروم (Trichrome)، اسمیر را با الکل 70 درصد شسته و سپس ید – الکل را اضافه کنید.
- پس از خشک شدن، اسمیر را در الکل 70 درصد قرار دهید.
روش رنگ آمیزی
الف. نمونههای تازه:
- روی لامهای شیشهای میکروسکوپی تمیز، اسمیرهای نازکی از نمونههای مدفوع را با استفاده از یک اپلیکاتور چوبی تهیه کنید و در حالی که هنوز مرطوب هستند، لامها را حداقل به مدت 30 دقیقه در محلول Schaudinn فرو ببرید. این پروسه را تثبیت Schaudinn مینامند.
- اسمیر تثبیت شده Schaudinn را در الکل 70% قرار دهید تا فیکساتور اضافی از بین برود.
- لام را حداقل سه بار با آب لولهکشی ملایم و روان بشویید.
- لام را به مدت 4 تا 5 دقیقه در محلول کار آیرون هماتوکسیلین قرار دهید.
- لامها را با آب لولهکشی ملایم و روان (جریان مداوم آب به داخل ظرف) به مدت 10 دقیقه بشویید.
- لامها را به مدت 5 دقیقه در اتیل الکل 95 درصد غوطهور کنید.
- لامها را به مدت 5 دقیقه در اتانول 100 درصد قرار دهید.
- لامها را در دو نوبت در زایلن (Xylene) به مدت 5 دقیقه برای هر نوبت غوطهور کنید.
- یک پرمونت (permount) (یک محیط مانتینگ (Mounting Media) که برای تهیه و نگهداری لامهای به مدت طولانی، فرموله شده است) را به رنگ اضافه کنید و با یک لامل (Coverslip) بپوشانید.
- قبل از گزارش، اسمیر را زیر میکروسکوپ با بزرگنمایی 100 برابر و همچنین در میکروسکوپ با لنز روغن ایمرسیون (Oil immersion) بررسی کنید.
ب. نمونههای نگهداری شده با PVA:
- روی لامهای شیشهای میکروسکوپی تمیز، اسمیرهای نازکی از نمونههای مدفوع را با استفاده از یک اپلیکاتور چوبی تهیه کنید و در حالی که هنوز مرطوب هستند، لامها را حداقل به مدت 30 دقیقه در محلول Schaudinn فرو ببرید. این پروسه را تثبیت Schaudinn مینامند.
- اگر نمونه تازه به صورت مایع است، 3 تا 4 قطره PVA را روی لام بریزید، چند قطره از مواد مدفوعی را مخلوط کنید، پخش کنید و بگذارید یک شب در دمای اتاق یا برای چند ساعت در انکوباتور با دمای 37 درجه سانتیگراد بماند تا خشک شود. توجه: این پروسه فقط برای نمونههای مایع (و نه نمونههای مدفوعی نیمه جامد یا جامد) جهت مخلوط شدن یکنواخت، اعمال میشود.
- پروسه رنگ آمیزی تریکروم را با قرار دادن لامها در ید – الکل ادامه دهید.
- لامها را به مدت 5 دقیقه در اتانول 70 درصد قرار داده و به مدت 10 دقیقه با آب لولهکشی ملایم و روان بشویید.
- لام را به مدت 4 تا 5 دقیقه در محلول کار آیرون هماتوکسیلین قرار دهید.
- لامها را با آب ملایم و روان به مدت 10 دقیقه بشویید.
- لامها را به مدت 5 دقیقه در اتانول 70 درصد غوطهور کنید.
- سپس لامها را مجدداً به مدت 5 دقیقه دیگر در اتانول 95 درصد غوطهور کنید.
- در دو نوبت، لامها را برای هر نوبت به مدت 5 دقیقه در اتانول 100% قرار دهید.
- لامها را در دو نوبت زایلن به مدت 5 دقیقه برای هر نوبت غوطهور کنید.
- یک پرمونت (یک محیط مانتینگ که برای تهیه و نگهداری لامهای به مدت طولانی، فرموله شده است) را به رنگ اضافه کنید و با یک لامل (Coverslip) بپوشانید.
- قبل از گزارش، اسمیر را زیر میکروسکوپ با بزرگنمایی 100 برابر و همچنین در میکروسکوپ با لنز روغن ایمرسیون (Oil immersion) بررسی کنید.
ج. رنگ آمیزی نمونههای نگهداری شده SAF
- لامها را برای رنگ آمیزی با استفاده از محلول SCchaudinn آماده کنید و بگذارید چند ساعت در انکوباتور یا یک شب در دمای اتاق بماند تا در هوا خشک شود.
- لامها را به مدت 5 دقیقه در اتانول 70 درصد قرار داده و با SAF همانطور که در بالا توضیح داده شد، تثبیت کنید.
- لام را با آب لولهکشی ملایم و روان به مدت 10 دقیقه بشویید.
- لامها را به مدت 4 تا 5 دقیقه در محلول کار آیرون هماتوکسیلین قرار دهید.
- لامها را به مدت 10 دقیقه با آب لولهکشی ملایم و روان بشویید.
- لامها را به مدت 5 دقیقه در اتانول 70 درصد قرار دهید.
- سپس لامها را به مدت 5 دقیقه در اتانول 95 درصد قرار دهید.
- سپس لامها را در اتانول 100% در دو نوبت به مدت 5 دقیقه برای هر نوبت، غوطهور کنید.
- لامها را در دو نوبت در زایلن به مدت 5 دقیقه برای هر نوبت، غوطهور کنید.
- یک پرمونت را به رنگ اضافه کنید و با یک لامل (Coverslip) بپوشانید.
- قبل از گزارش، اسمیر را زیر میکروسکوپ با بزرگنمایی 100 برابر و همچنین در میکروسکوپ با لنز روغن ایمرسیون (Oil immersion) بررسی کنید.
نتیجه و تفسیر رنگ آمیزی آیرون هماتوکسیلین
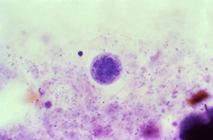
با استفاده از روش رنگ آمیزی آیرون هماتوکسیلین، با نمونهای حاوی میکروارگانیسمها، سیتوپلاسم تروفوزوئیتها (Trophozoite) و کیستها (Cyst) به رنگ بنفش درمیآید. کروماتین (Chromatin) هسته، اجسام کروماتوئید (Chromatoid)، گلبولهای قرمز و باکتریها به رنگ بنفش تیره تا سیاه رنگ میشوند.

کاربردهای رنگ آمیزی آیرون هماتوکسیلین
- برای تشخیص عفونتهای انگلی با نمایش کیستهای تکیاختهای و تروفوزوئیتها در نمونهها.
- رنگهای پایداری را تهیه میکند که برای رجوع مهم هستند.
مزایای رنگ آمیزی آیرون هماتوکسیلین
- برای استفاده معمول در تشخیص تکیاختههای رودهای کافی میباشد.
- برای افتراق تکیاختهها وضوح بالایی ارائه میدهد.
محدودیتهای رنگ آمیزی آیرون هماتوکسیلین
- اگر عمل تثبیت به درستی انجام نشود، نتیجه مخدوش میشود.
- این روش رنگ آمیزی یک روش کند است که به زمان کافی برای انجام آن نیاز دارد.
- محلول Schaudinn حاوی جیوه است و بنابراین قبل از رنگ آمیزی باید کاملاً حذف شود. با شناساگرهای این روش رنگ آمیزی تداخل دارد.
همچنین بخوانید:
- رنگ آمیزی اورامین-رودامین (Auramine- Rhodamine Staining): تعریف، روش کار، کاربردها و تفسیر نتایج
- رنگ آمیزی سودان بلک (Sudan Black B Staining): اصول، روش، نتایج و موارد استفاده
- رنگ آمیزی اندوسپور (Endospore Staining): اصول، شناساگرها، روش و نتیجه
- رنگ آمیزی اسید فست (Acid-Fast Stain): اصول، روش، تفسیر و مثالها
مترجم: صادق حسینیکیا



