رتینوبلاستوما چیست؟
رتینوبلاستوما (Retinoblastoma) سرطانی است که در شبکیه (retina)، قسمت پشتی چشم شروع میشود. این شایع ترین نوع سرطان چشم در کودکان است. به ندرت، کودکان ممکن است انواع دیگری از سرطان چشم، مانند مدولواپیتلیوما (medulloepithelioma) که در زیر به طور خلاصه توضیح داده شده است یا ملانوم چشمی (ocular melanoma) داشته باشند.
برای درک رتینوبلاستوما، دانستن نحوه عملکرد بخشهای چشم کمک میکند.
چشم
قسمت اصلی چشم کره چشم (همچنین به عنوان globe شناخته میشود) است که با ماده ای ژله مانند به نام زجاجیه (vitreous humor) پر شده است. جلوی کره چشم دارای عدسی شفاف با عنبیه یا iris (بخش رنگی چشم است که مانند شاتر دوربین عمل میکند) که اجازه میدهد نور وارد چشم شود و آن را روی شبکیه متمرکز کند.
شبکیه لایه داخلی سلولهای پشت چشم است. از سلولهای عصبی خاصی که به نور حساس هستند، تشکیل شده است. این سلولهای حساس به نور توسط عصب بینایی به مغز متصل میشوند که از پشت کره چشم خارج میشود. الگوی نور (تصویر) که به شبکیه میرسد از طریق عصب بینایی به ناحیه ای از مغز به نام قشر بینایی (visual cortex) فرستاده میشود و به ما امکان دیدن را میدهد.

رتینوبلاستوما چگونه ایجاد میشود؟
چشمها قبل از تولد شروع به رشد میکنند. در مراحل اولیه رشد، چشمها دارای سلولهایی به نام رتینوبلاست هستند که با تکثیر سلولهای جدیدی ایجاد میکنند که شبکیه را پر میکنند. در یک نقطه خاص، این سلولها از تکثیر باز میایستند و به سلولهای بالغ شبکیه تبدیل میشوند.
به ندرت اتفاقی در این روند رخ میدهد. به جای بلوغ، برخی از رتینوبلاستها به رشد خارج از کنترل ادامه میدهند و سرطانی به نام رتینوبلاستوما را تشکیل میدهند.
زنجیره رویدادهای درون سلولی که منجر به رتینوبلاستوما میشود پیچیده است اما تقریباً همیشه با تغییر (جهش) در ژن RB1 شروع میشود. ژن طبیعی RB1 به جلوگیری از رشد خارج از کنترل سلولها کمک میکند اما تغییر در ژن مانع از عملکرد آن میشود. بسته به زمان و مکان تغییر در ژن RB1، میتواند منجر به 2 نوع مختلف رتینوبلاستوما شود.
رتینوبلاستوما مادرزادی یا Congenital retinoblastoma (ارثی)
در حدود 1 کودک از هر 3 کودک مبتلا به رتینوبلاستوما، ناهنجاری در ژن RB1 مادرزادی است (در بدو تولد وجود دارد) و در تمام سلولهای بدن، از جمله تمام سلولهای هر دو شبکیه وجود دارد. این به عنوان یک جهش ژرملاین (germline mutation) شناخته میشود.
علیرغم اینکه گاهی اوقات به آن «ارثی» (یا « hereditar» میگویند)، در اکثر این کودکان، هیچ سابقه خانوادگی از این سرطان وجود ندارد و تغییر ژن RB1 از والدین به ارث نمیرسد. در این کودکان، تغییر ژن ابتدا در مراحل اولیه رشد در رحم رخ میدهد. تنها بخش کوچکی از کودکانی که با این تغییر ژن متولد میشوند، آن را از والدین به ارث میبرند.
کودکانی که با جهش در ژن RB1 متولد میشوند، معمولاً در هر دو چشم دچار رتینوبلاستوما میشوند (معروف به رتینوبلاستوما دو طرفه یا bilateral retinoblastoma) و اغلب چندین تومور در داخل چشم وجود دارد (معروف به رتینوبلاستوما چند کانونی یا multifocal retinoblastoma).
از آن جایی که همه سلولهای بدن دارای ژن تغییر یافته RB1 هستند، این کودکان در معرض خطر بیشتری برای ابتلا به سرطان در سایر قسمتهای بدن هستند.
- تعداد کمی از کودکان مبتلا به این شکل از رتینوبلاستوما، تومور دیگری در مغز، معمولاً در غده صنوبری (pineal gland) در پایه مغز (پینئوبلاستوم یا pineoblastoma) ایجاد میکنند. این همچنین به عنوان رتینوبلاستوما سه جانبه (trilateral retinoblastoma) شناخته میشود.
- برای بازماندگان رتینوبلاستوما ارثی، خطر ابتلا به سرطانهای دیگر در مراحل بعدی زندگی نیز بالاتر از حد متوسط است.
رتینوبلاستوما پراکنده یا Sporadic retinoblastoma (غیر ارثی)
در حدود 2 کودک از هر 3 کودک مبتلا به رتینوبلاستوما، ناهنجاری در ژن RB1 تنها در یک سلول در یک چشم ایجاد میشود. معلوم نیست چه چیزی باعث این تغییر میشود. کودکی که رتینوبلاستوما پراکنده (غیر ارثی) دارد تنها یک تومور در یک چشم خود ایجاد میکند. این نوع رتینوبلاستوما اغلب زمانی دیده میشود که کودک در مقایسه با کسانی که فرم ارثی دارند کمی بزرگتر باشد.
کودکان مبتلا به این نوع رتینوبلاستوما به اندازه کودکان مبتلا به رتینوبلاستوما مادرزادی خطر ابتلا به سرطانهای دیگر را ندارند.
رتینوبلاستوما چگونه رشد کرده و گسترش مییابد؟
اگر تومورهای رتینوبلاستوما درمان نشوند، میتوانند رشد کرده و قسمت زیادی از کره چشم را پر کنند. سلولها ممکن است از تومور اصلی روی شبکیه جدا شده و به قسمتهای دیگر چشم برسند جایی که میتوانند تومورهای بیشتری را تشکیل دهند. این تومورها ممکن است کانالهایی را که اجازه میدهند مایع در داخل چشم گردش کند، مسدود کنند و فشار داخل چشم را افزایش دهند. این میتواند باعث گلوکوم (glaucoma) شود که میتواند منجر به درد و از دست دادن بینایی در چشم آسیب دیده شود.
اکثر رتینوبلاستوماها قبل از اینکه به خارج از کره چشم گسترش یابند، پیدا و درمان میشوند اما اگر اینطور نباشد، سلولهای رتینوبلاستوما میتوانند به سایر قسمتهای بدن گسترش یابند.
سلولها گاهی در امتداد عصب بینایی رشد میکنند و به مغز میرسند. سلولهای رتینوبلاستوما همچنین میتوانند از طریق لایههای پوشاننده کره چشم و در حدقه چشم، پلکها و بافتهای مجاور رشد کنند. هنگامی که سرطان خارج از کره چشم است، میتواند به غدد لنفاوی (مجموعههای کوچک سلولهای سیستم ایمنی به اندازه لوبیا) و سایر اندامها مانند کبد، استخوانها و مغز استخوان (قسمت نرم و داخلی بسیاری از استخوانها) گسترش یابد.
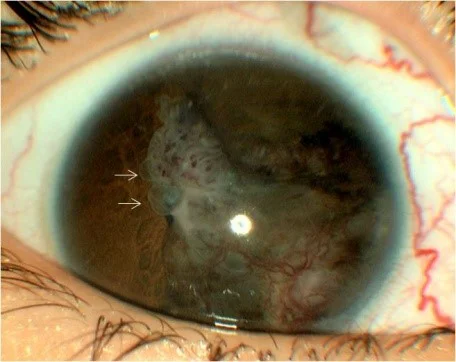
مدولواپیتلیوم داخل چشمی (Intraocular medulloepithelioma)

مدولواپیتلیوما نوع بسیار نادری از تومور است که میتواند از چشم شروع شود. این یک نوع رتینوبلاستوما نیست اما در اینجا به آن اشاره شده است زیرا معمولاً در کودکان خردسال نیز رخ میدهد.
مدولواپیتلیوم از جسم مژگانی (ciliary body) که نزدیک جلوی چشم است، شروع میشود (تصویر بالا را ببینید). بیشتر این تومورها بدخیم (سرطانی) هستند اما به ندرت در خارج از چشم پخش میشوند. آنها معمولا باعث درد چشم و از دست دادن بینایی میشوند.
تشخیص زمانی انجام میشود که پزشک با استفاده از افتالموسکوپ (ophthalmoscope، وسیله ای که به پزشکان کمک میکند تا داخل چشم را نگاه کنند)، تومور را در چشم پیدا کند. همانند رتینوبلاستوما، تشخیص معمولاً بر اساس محل قرارگیری تومور در داخل چشم و ظاهر آن انجام میشود. بیوپسی (نمونه گیری از سلولهای تومور برای بررسی زیر میکروسکوپ) برای تأیید تشخیص تقریباً هرگز انجام نمیشود زیرا ممکن است به چشم آسیب برساند یا خطر گسترش سرطان را در خارج از چشم ایجاد کند.

تقریباً همیشه درمان مدولواپیتلیوما جراحی برای برداشتن چشم است. این معمولاً همه سرطان را تا زمانی که هنوز فقط در چشم باشد از بین میبرد.
آمار کلیدی برای رتینوبلاستوما
رتینوبلاستوما شایع ترین نوع سرطان چشم در کودکان است. حدود 2 درصد از سرطانهای دوران کودکی را تشکیل میدهد. با این حال، به طور کلی نادر است. سالانه تنها حدود 200 تا 300 کودک مبتلا به رتینوبلاستوما در ایالات متحده تشخیص داده میشوند.
رتینوبلاستوما در نوزادان و کودکان بسیار خردسال شایع است. میانگین سنی کودکان در هنگام تشخیص 2 سال است. به ندرت در کودکان بزرگتر از 6 سال رخ میدهد.
از هر 4 کودک مبتلا به رتینوبلاستوما، 3 نفر فقط در یک چشم تومور دارند (معروف به رتینوبلاستوما یک طرفه). در حدود 1 مورد از هر 4 مورد، هر دو چشم تحت تأثیر قرار میگیرند (معروف به رتینوبلاستوما دو طرفه).
رتینوبلاستوما تقریباً در پسران و دختران و در نژادها و قومیتهای مختلف به طور مساوی رخ میدهد. همچنین به طور مساوی در چشم راست یا چپ رخ میدهد.
به طور کلی، بیش از 9 کودک از هر 10 کودک مبتلا به رتینوبلاستوما در ایالات متحده درمان میشوند اما اگر سرطان به خارج از چشم گسترش یافته باشد، چشم انداز خوب نیست.
علائم و نشانههای رتینوبلاستوما
رتینوبلاستوما تقریباً همیشه در کودکان خردسال رخ میدهد. آنها اغلب زمانی پیدا میشوند که والدین یا پزشک متوجه شوند که چشم کودک غیر عادی به نظر میرسد.
رفلکس مردمک سفید (White pupillary reflex)

این شایع ترین علامت اولیه رتینوبلاستوما است. به طور معمول وقتی نوری به چشم میتابید، مردمک (نقطه تیره در مرکز چشم) به دلیل رگهای خونی پشت چشم قرمز به نظر میرسد. در چشم مبتلا به رتینوبلاستوما، مردمک اغلب سفید یا صورتی به نظر میرسد که به عنوان رفلکس مردمک سفید (leukocoria یا لکوکوریا) شناخته میشود.
والدین ممکن است پس از گرفتن عکس فلاش متوجه این تابش خیره کننده سفید شوند، به خصوص اگر مردمکها رنگهای متفاوتی داشته باشند. همچنین ممکن است توسط پزشک کودک در طول معاینه معمول چشم تشخیص داده شود.
تنبلی چشم
گاهی اوقات به نظر نمیرسد که چشمها در یک جهت نگاه کنند، وضعیتی که اغلب به آن تنبلی چشم میگویند. (پزشکان به این حالت استرابیسم یا strabismus میگویند.) علل احتمالی زیادی برای این امر در کودکان وجود دارد. بیشتر اوقات تنبلی چشم ناشی از ضعف خفیف ماهیچههای کنترل کننده چشم است اما همچنین میتواند ناشی از رتینوبلاستوما باشد.
سایر علائم و نشانههای احتمالی
علائم و نشانههای کمتر شایع رتینوبلاستوما عبارتند از:
- مشکلات بینایی
- چشم درد
- قرمزی قسمت سفید چشم
- خونریزی در قسمت جلویی چشم
- برآمدگی چشم
- مردمک چشمی که در معرض نور شدید کوچکتر نمیشود.
- رنگ متفاوت در هر عنبیه (قسمت رنگی چشم)
اگر سرطان به خارج از چشم گسترش یابد، علائم بستگی به محل سرطان دارد. برخی از علائم احتمالی عبارتند از:
- از دست دادن اشتها و کاهش وزن
- سردرد
- استفراغ
- تودههای زیر پوست در گردن
بسیاری از این علائم و نشانهها به احتمال زیاد ناشی از چیزی غیر از رتینوبلاستوما هستند. با این حال، اگر کودک شما هر یک از این موارد را دارد، با پزشک کودک خود مشورت کنید تا بتوان علت را پیدا کرده و در صورت نیاز آن را درمان کرد.
چه چیزی باعث رتینوبلاستوما میشود؟
عوامل خطرزا بسیار کمی برای رتینوبلاستوما شناخته شده است اما تغییرات ژنی اصلی در داخل سلولها که میتواند منجر به رتینوبلاستوما شود، اکنون کاملاً شناخته شده است.
در اوایل رشد جنین، خیلی قبل از تولد، سلولهای شبکیه چشم تقسیم میشوند تا سلولهای جدیدی برای پر کردن شبکیه بسازند. در یک نقطه خاص، این سلولها به طور معمول تقسیم نمیشوند و به سلولهای بالغ شبکیه تبدیل میشوند. اما گاهی اوقات مشکلی در این فرآیند رخ میدهد. به جای بلوغ، برخی از سلولهای شبکیه به رشد خارج از کنترل ادامه میدهند که میتواند منجر به رتینوبلاستوما شود.
تغییرات خاصی در DNA فرد میتواند باعث شود سلولهای شبکیه چشم خارج از کنترل رشد کنند.
DNA ماده شیمیایی موجود در سلولهای ما است که ژنهای ما را میسازد که عملکرد سلولهای ما را کنترل میکند. ما معمولا شبیه والدین خود هستیم زیرا آنها منبع DNA ما هستند. اما DNA بر چیزهای بسیار بیشتری نسبت به ظاهر ما تأثیر میگذارد.
برخی از ژنها زمان رشد سلولهای ما، تقسیم به سلولهای جدید و مرگ در زمان مناسب را کنترل میکنند:
- ژنهایی که به رشد، تقسیم یا زنده ماندن سلولها کمک میکنند، انکوژن (oncogenes) نامیده میشوند.
- ژنهایی که به کنترل تقسیم سلولی کمک میکنند یا باعث مرگ سلولها در زمان مناسب میشوند، ژنهای سرکوب کننده تومور (tumor suppressor genes) نامیده میشوند.
سرطانها میتوانند در اثر تغییرات DNA (جهش) ایجاد شوند که انکوژنها را روشن نگه میدارند یا ژنهای سرکوب کننده تومور را خاموش میکنند.
مهمترین ژن در رتینوبلاستوما، ژن سرکوبگر تومور RB1 است. این ژن پروتئینی (pRb) میسازد که به توقف رشد سریع سلولها کمک میکند. هر سلول به طور معمول دارای دو ژن RB1 است. تا زمانی که یک سلول شبکیه حداقل یک ژن RB1 داشته باشد که همان طور که باید کار کند، رتینوبلاستوما تشکیل نمیدهد اما زمانی که هر دو ژن RB1 جهش یافته یا از بین رفته باشند، یک سلول میتواند بدون کنترل رشد کند. این میتواند منجر به تغییرات بیشتر ژنی شود که به نوبه خود ممکن است باعث سرطانی شدن سلولها شود.
رتینوبلاستوما ارثی یا دوطرفه
از هر 3 کودک مبتلا به رتینوبلاستوما، 1 کودک دارای جهش در یک ژن RB1 است. یعنی جهش ژن RB1 در تمام سلولهای بدن وجود دارد. در اکثر این کودکان (75 درصد)، این جهش در مراحل اولیه رشد، در حالی که هنوز در رحم مادر است، رخ میدهد. 25 درصد دیگر کودکان جهش ژنی را از یکی از والدین خود به ارث میبرند.
حدود 9 نفر از 10 کودکی که با این جهش RB1 متولد میشوند، به رتینوبلاستوما مبتلا میشوند. این زمانی اتفاق میافتد که دومین ژن RB1 از بین رفته یا جهش یافته باشد. اغلب رتینوبلاستوما دو طرفه است (در هر دو چشم) اما گاهی اوقات به اندازه کافی زود دیده میشود که هنوز فقط در یک چشم است.
این کودکان رتینوبلاستوما ارثی دارند (که رتینوبلاستوما ارثی یا مادر زادی نیز نامیده میشود). همه رتینوبلاستوماهای دو طرفه ارثی در نظر گرفته میشوند، اگرچه همه رتینوبلاستوماهای ارثی وقتی پیدا میشوند دو طرفه نیستند.
همه افراد دارای دو ژن RB1 هستند اما تنها یک ژن را به هر یک از فرزندان خود منتقل میکنند. (کودک ژن RB1 دیگر را از والدین دیگر دریافت میکند.) بنابراین یک دوم شانس وجود دارد که والدینی که رتینوبلاستوما ارثی داشتند، ژن جهش یافته را به فرزند خود منتقل کنند.
اکثر کودکان مبتلا به رتینوبلاستوما ارثی والدین مبتلا ندارند اما این کودکان همچنان میتوانند جهش ژن RB1 خود را به فرزندان خود منتقل کنند. به همین دلیل است که این شکل از رتینوبلاستوما “ارثی” نامیده میشود (حتی اگر هیچ یک از والدین کودک تحت تأثیر قرار نگرفته باشند).
از آن جایی که کودکان مبتلا به این شکل از رتینوبلاستوما تغییرات ژن RB1 را در تمام سلولهای بدن خود دارند، در معرض خطر بیشتری برای ابتلا به برخی دیگر از انواع سرطان هستند.
رتینوبلاستوما غیر ارثی (پراکنده)
اکثراً 2 کودک از هر 3 کودک مبتلا به رتینوبلاستوما جهش ژن RB1 را در تمام سلولهای بدن خود ندارند. در عوض، جهش RB1 در اوایل زندگی اتفاق میافتد و ابتدا فقط در یک سلول در یک چشم رخ میدهد. این کودکان در معرض خطر انتقال جهش ژنی به فرزندان خود نیستند.
(در بخش بسیار کوچکی از رتینوبلاستوماهای غیر ارثی، جهش ژن RB1 وجود ندارد. به نظر میرسد برخی از این رتینوبلاستوماها در اثر تغییرات در ژن دیگری به نام MYCN ایجاد میشوند.)
اینکه تغییرات در ژن RB1 ارثی باشد یا پراکنده، مشخص نیست که چه چیزی باعث این تغییرات میشود. آنها ممکن است ناشی از خطاهای ژنی تصادفی باشند که گاهی اوقات هنگام تقسیم سلولها برای ساخت سلولهای جدید رخ میدهند. هیچ دلیل شناخته شده ای مرتبط با سبک زندگی یا محیطی برای رتینوبلاستوما وجود ندارد، بنابراین مهم است که به خاطر داشته باشید که این کودکان یا والدین آنها کاری نمیتوانستند برای پیشگیری از این سرطانها انجام دهند.
عوامل خطرزا برای رتینوبلاستوما
عامل خطرزا هر چیزی است که احتمال ابتلای فرد به بیماری مانند سرطان را افزایش دهد. سرطانهای مختلف عوامل خطرزا متفاوتی دارند.
عوامل خطرزا مرتبط با سبک زندگی مانند وزن بدن، فعالیت بدنی، رژیم غذایی و مصرف دخانیات نقش عمده ای در بسیاری از سرطانهای بزرگسالان دارند. اما این عوامل معمولاً سالها طول میکشد تا بر خطر سرطان تأثیر بگذارند و تصور نمیشود که نقش زیادی در سرطانهای دوران کودکی از جمله رتینوبلاستوما داشته باشند.
عوامل خطرزا بسیار کمی برای رتینوبلاستوما شناخته شده است.
سن
اکثر کودکانی که مبتلا به رتینوبلاستوما تشخیص داده میشوند، کمتر از 3 سال سن دارند. اکثر رتینوبلاستوماهای مادر زادی (ارثی) در سال اول زندگی یافت میشوند، در حالی که رتینوبلاستوماهای غیر ارثی معمولاً در کودکان 1 و 2 ساله تشخیص داده میشوند. رتینوبلاستوما بعد از 6 سالگی نادر است.
وراثت
خطر ابتلا به رتینوبلاستوما در کودکانی که والدینشان دارای شکل مادر زادی (ارثی) رتینوبلاستوما هستند، بسیار بیشتر است. این شکل اغلب منجر به تومور در هر دو چشم (رتینوبلاستوم دوطرفه) میشود.
اما برای اکثر کودکان مبتلا به رتینوبلاستوما، هیچ سابقه خانوادگی این بیماری وجود ندارد. این درست است چه آنها دارای فرم ارثی یا غیر ارثی رتینوبلاستوما باشند.
از سوی دیگر، کودکان مبتلا به نوع ارثی رتینوبلاستوما، شانس ۵۰ درصدی دارند که در نهایت تغییر ژن RB1 را که باعث ایجاد تومور به فرزندانشان میشود، به آنها منتقل کنند. کودکان مبتلا به فرم غیر ارثی خطر افزایشی را منتقل نمیکنند.
عوامل خطرزا نامشخص
برخی از مطالعات برخی از عوامل مربوط به والدین را پیشنهاد کرده اند که ممکن است با افزایش خطر رتینوبلاستوما مرتبط باشند، مانند:
- رژیمهای غذایی کم میوه و سبزیجات در بین مادران در دوران بارداری
- قرار گرفتن در معرض مواد شیمیایی موجود در اگزوز بنزین یا گازوئیل در دوران بارداری
- قرار گرفتن پدران در معرض تشعشعات
- سن بالاتر در بین پدران
ارتباط احتمالی بین این عوامل و رتینوبلاستوما هنوز در حال بررسی است.
جلوگیری
در بزرگسالان، خطر ابتلا به بسیاری از سرطانها را میتوان با اجتناب از برخی عوامل خطرزا، مانند سیگار کشیدن کاهش داد اما هیچ فاکتور خطر قابل اجتناب شناخته شده ای برای رتینوبلاستوما وجود ندارد. اگر کودک شما به رتینوبلاستوما مبتلا شد، مهم است که بدانید شما یا فرزندتان هیچ کاری برای ایجاد آن انجام نداده اید.
برخی از تغییرات ژنی که کودک را در معرض خطر بالای رتینوبلاستوما قرار میدهد، میتواند از والدین منتقل شود. کودکانی که از والدینی با سابقه رتینوبلاستوما به دنیا میآیند باید بلافاصله پس از تولد برای این سرطان غربالگری شوند زیرا تشخیص زود هنگام این سرطان شانس درمان موفقیت آمیز را تا حد زیادی بهبود میبخشد.
آیا میتوان رتینوبلاستوما را زود تشخیص داد؟
رتینوبلاستوما یک سرطان نادر است و هیچ آزمایش غربالگری گسترده ای برای رتینوبلاستوما وجود ندارد. (غربالگری آزمایش بررسی بیماری مانند سرطان در افرادی است که هیچ علامت یا علامتی ندارند.) با این حال، بسیاری از رتینوبلاستوماها در مراحل اولیه توسط والدین، بستگان یا پزشک کودک یافت میشوند.
در طول معاینات فیزیکی منظم کودکان، پزشکان به طور معمول چشمان آنها را بررسی میکنند. برخی از مواردی که پزشکان به دنبال آن هستند عبارتند از:
- تغییر در ظاهر چشم (داخل یا بیرون)
- تغییر در نحوه حرکت چشمها
- تغییرات در بینایی کودک
هر یک از اینها ممکن است نشانه رتینوبلاستوما باشد، اگرچه اغلب به دلیل چیز دیگری ایجاد میشود.
گاهی اوقات، یکی از والدین یا خویشاوندان ممکن است متوجه شود که چشم کودک خردسال عادی به نظر نمیرسد و باعث میشود که به پزشک مراجعه کند. برای والدین مهم است که از علائم و نشانههای احتمالی رتینوبلاستوما آگاه باشند و هر چیز غیر عادی را در اسرع وقت به پزشک گزارش دهند. بیشتر اوقات علت آن چیزی غیر از رتینوبلاستوما است اما مهم است که آن را بررسی کنید تا در صورت نیاز بتوان علت را فورا پیدا کرده و آن را درمان کرد.
برای کودکان در معرض خطر
برای کودکان خانوادههایی که دارای تغییر ژن RB1 هستند (که باعث رتینوبلاستوما ارثی میشود) یا در خانوادههایی با سابقه رتینوبلاستوما که آزمایش ژنتیکی برای تغییرات ژن RB1 انجام نداده اند، پزشکان معاینه چشمی منظم و کامل را در سالهای اول زندگی توصیه میکنند. برای شناسایی تومورها در مراحل اولیه این کودکان ممکن است بلافاصله پس از تولد نیاز به معاینه چشم داشته باشند و سپس در سالهای اول زندگی به طور مکرر به این معاینه نیاز داشته باشند.
نقص ژن RB1 را میتوان با آزمایش خون خاصی پیدا کرد، بنابراین اکثر پزشکان در حال حاضر توصیه میکنند که کودکان دارای والدین یا خواهر و برادرهایی که سابقه رتینوبلاستوما دارند این آزمایش ژنتیکی را در چند هفته اول پس از تولد انجام دهند. سپس نتایج آزمایش به تعیین اینکه چند بار معاینه چشم باید انجام شود، کمک میکند. به عنوان مثال، کودکانی که در معرض خطر هستند زیرا دارای تغییر ژن RB1 میباشند، ممکن است در طول سال اول هر ماه یا بیشتر و سپس هر چند ماه یک بار تا حداقل ۴ یا ۵ سالگی نیاز به معاینه چشم داشته باشند.
کودکان مبتلا به فرم ارثی رتینوبلاستوما معمولاً در هر دو چشم تومور ایجاد میکنند (رتینوبلاستوم دوطرفه). بیشتر رتینوبلاستوماهای ارثی در نوزادان تنها چند ماهه ایجاد و تشخیص داده میشوند. معمولاً اگر تومور در هر دو چشم ایجاد شود، همزمان اتفاق میافتد اما در برخی از کودکان، تومورها ابتدا در یک چشم و سپس چند ماه (یا حتی سالها) بعد در چشم دیگر ایجاد میشوند. بنابراین حتی اگر رتینوبلاستوما تنها در یک چشم تشخیص داده شود، این کودکان همچنان به معاینه منظم چشم دیگر تا چندین سال پس از درمان نیاز خواهند داشت.
اگر کودکی مبتلا به رتینوبلاستوما باشد که تصور میشود ارثی باشد، بسیاری از پزشکان اسکنهای تصویر برداری رزونانس مغناطیسی (MRI) از مغز را در فواصل زمانی منظم تا 5 سال توصیه میکنند تا رتینوبلاستوما سه طرفه (که شامل تومور مغزی مانند پینئوبلاستوم است) بررسی شود. برای اطلاعات بیشتر، به مبحث آزمایشات رتینوبلاستوما مراجعه کنید.
آزمایشات رتینوبلاستوما
رتینوبلاستوما معمولاً زمانی که کودک را نزد پزشک میبرند، به دلیل داشتن علائم یا نشانههای خاصی پیدا میکند.
برای اکثر انواع سرطان، بیوپسی برای تشخیص مورد نیاز است. در طول بیوپسی، پزشک نمونه ای از تومور میگیرد و آن را به آزمایشگاه میفرستد تا با میکروسکوپ بررسی شود.
اما بیوپسی معمولاً برای تشخیص رتینوبلاستوما انجام نمیشود، به دو دلیل اصلی:
- گرفتن نمونه بیوپسی از تومور در چشم را نمیتوان به راحتی بدون آسیب رساندن به چشم و خطر گسترش سلولهای سرطانی در خارج از چشم انجام داد.
- رتینوبلاستوما معمولاً بدون بیوپسی توسط پزشکانی که تجربه این بیماری را دارند به طور دقیق تشخیص داده میشود و بعید است که با سایر مشکلات چشمی در کودکان اشتباه گرفته شود.
سابقه پزشکی و معاینه فیزیکی
اگر کودک شما نشانه یا علائم رتینوبلاستوما را داشته باشد، پزشک چشمهای کودکتان را معاینه میکند و یک تاریخچه پزشکی کامل را از شما میگیرد تا در مورد علائم کودک شما بیشتر بداند. پزشک همچنین ممکن است در مورد هرگونه سابقه خانوادگی رتینوبلاستوما یا سایر سرطانها از شما سؤال کند.
این میتواند هنگام تصمیم گیری در مورد نیاز به تستها و امتحانات بیشتر مهم باشد. سابقه خانوادگی شما همچنین برای تعیین اینکه آیا سایر اقوام ممکن است تغییر ژن رتینوبلاستوما (RB1) را به فرزندان خود منتقل کنند یا خودشان به این سرطان مبتلا شوند (اگر بچههای کوچک هستند) یا خیر و اینکه آیا ممکن است از مشاوره و آزمایش ژنتیک بهره مند شوند، مفید است.
اگر مشکوک به رتینوبلاستوما باشید، پزشک شما را به چشم پزشک (پزشکی که در بیماریهای چشمی تخصص دارد) ارجاع میدهد که برای اطمینان بیشتر در مورد تشخیص، چشم را از نزدیک معاینه میکند. چشم پزشک از چراغهای مخصوص و لنزهای ذره بین برای مشاهده داخل چشم استفاده میکند. معمولاً کودک در طول معاینه باید بخوابد (تحت بیهوشی عمومی) تا پزشک بتواند با دقت و جزئیات نگاه کند.
اگر تشخیص رتینوبلاستوما بر اساس معاینه چشم محتمل به نظر میرسد، آزمایشهای تصویر برداری برای کمک به تایید آن و تعیین میزان انتشار آن در داخل چشم و احتمالاً به سایر قسمتهای بدن انجام میشود. معمولاً یک چشم پزشک متخصص در درمان سرطانهای چشم (به نام انکولوژیست چشم) تصمیم نهایی را میگیرد. این پزشک همچنین باید بخشی از تیم پزشکان معالج سرطان باشد.
تستهای تصویر برداری
در آزمایشهای تصویر برداری از اشعه ایکس، امواج صوتی، میدانهای مغناطیسی یا مواد رادیواکتیو برای ایجاد تصاویری از داخل بدن استفاده میشود. آزمایشات تصویر برداری ممکن است به دلایل مختلفی انجام شود، از جمله:
- برای کمک به تشخیص اینکه آیا یک تومور در چشم به احتمال زیاد رتینوبلاستوما است یا خیر.
- تعیین اندازه تومور و میزان گسترش آن
- برای کمک به تعیین اینکه آیا روند درمان موثر است یا خیر.
کودکانی که تصور میشود رتینوبلاستوما دارند ممکن است یک یا چند مورد از این آزمایشها را انجام دهند.
سونوگرافی چشم (Ultrasound of the eye)

اولتراسوند از امواج صوتی برای ایجاد تصاویری از بافتهای داخل بدن مانند قسمتهای داخلی چشم استفاده میکند. برای این آزمایش، یک پروب سونوگرافی کوچک در برابر پلک یا کره چشم قرار میگیرد. این کاوشگر امواج صوتی را منتشر میکند و پژواکهایی را که از بافتهای داخل و اطراف چشم منعکس میشود، تشخیص میدهد. پژواکها توسط کامپیوتر به تصویر روی صفحه تبدیل میشوند.
سونوگرافی یکی از رایج ترین آزمایشهای تصویر برداری برای تأیید ابتلای کودک به رتینوبلاستوما است. زمانی که تومورهای چشم به قدری بزرگ هستند که پزشکان را از دیدن کل چشم باز میدارند، این آزمایش میتواند بسیار مفید باشد.
این آزمایش آسیبی ندارد و کودک را در معرض تشعشع قرار نمیدهد اما ممکن است لازم باشد به کودک دارویی داده شود تا او را آرام نگه دارد یا حتی بخوابد تا پزشک بتواند چشم را به خوبی ببیند.
توموگرافی انسجام نوری (OCT یا Optical coherence tomography) نوع مشابهی از آزمایش است که از امواج نور به جای امواج صوتی برای ایجاد تصاویر بسیار دقیق از پشت چشم استفاده میکند.

اسکن تصویر برداری رزونانس مغناطیسی (MRI یا Magnetic resonance imaging)
اسکن MRI با استفاده از امواج رادیویی و آهنرباهای قوی (به جای اشعه ایکس) تصاویر دقیقی ایجاد میکند. اسکن MRI اغلب برای رتینوبلاستوما استفاده میشود زیرا تصاویر بسیار دقیقی از چشم و ساختارهای اطراف آن بدون استفاده از اشعه ارائه میدهد. این آزمایش برای بررسی مغز و نخاع نیز بسیار خوب است.

اکثر کودکان مبتلا به رتینوبلاستوما یک اسکن MRI را به عنوان بخشی از کار اولیه خود انجام میدهند. برای کودکان مبتلا به رتینوبلاستوما دو طرفه (تومور در هر دو چشم)، بسیاری از پزشکان چندین سال پس از درمان به انجام اسکنهای MRI از مغز ادامه میدهند تا تومورهای غده صنوبری یا پینه آل (pineal gland) را بررسی کنند (گاهی اوقات رتینوبلاستوما سه جانبه نامیده میشود).
ممکن است کودک شما برای انجام این آزمایش مجبور باشد داخل یک لوله باریک دراز بکشد که محدود کننده است و میتواند ناراحت کننده باشد. این آزمایش همچنین مستلزم بی حرکت ماندن برای مدت طولانی است. ممکن است به کودکان خردسال دارو داده شود تا در طول آزمایش آرام بمانند یا حتی بخوابند.
اسکن توموگرافی کامپیوتری (CT یا Computed tomography)
سی تی اسکن میتواند به تعیین اندازه تومور رتینوبلاستوما و میزان انتشار آن در داخل چشم و نواحی مجاور کمک کند.

به طور معمول، سی تی اسکن یا اسکن MRI مورد نیاز است اما معمولاً هر دو مورد نیاز نیست. اکثر پزشکان ترجیح میدهند از MRI استفاده کنند زیرا سی تی اسکن از اشعه ایکس استفاده میکند که ممکن است خطر ابتلا به سرطانهای دیگر را در آینده افزایش دهد. با این حال، سی تی اسکن میتواند رسوبات کلسیم را در تومور بسیار بهتر از MRI نشان دهد که میتواند زمانی که تشخیص رتینوبلاستوما مشخص نیست، بسیار مفید باشد.
اسکن استخوان (Bone scan)

اسکن استخوان میتواند نشان دهد که آیا رتینوبلاستوما به جمجمه یا سایر استخوانها گسترش یافته است یا خیر. اکثر کودکان مبتلا به رتینوبلاستوما نیازی به اسکن استخوان ندارند. این روش به طور معمول تنها زمانی استفاده میشود که دلیل قوی وجود داشته باشد که تصور شود رتینوبلاستوما ممکن است در خارج از چشم پخش شده باشد.
برای این آزمایش، مقدار کمی از مواد رادیو اکتیو سطح پایین به خون تزریق میشود و به استخوانها میرود. یک دوربین مخصوص میتواند رادیو اکتیویته را تشخیص دهد و تصویری از اسکلت ایجاد کند. نواحی تغییرات استخوانی فعال به صورت “نقاط داغ یا hot spots” در اسکن ظاهر میشوند. این نواحی ممکن است نشان دهند سرطان در یک ناحیه وجود دارد اما سایر بیماریهای استخوانی نیز میتوانند همین الگو را ایجاد کنند. برای کمک به تشخیص این موارد، آزمایشهای دیگری مانند عکس برداری با اشعه ایکس ساده یا اسکن MRI از استخوان ممکن است مورد نیاز باشد.
آزمایش ژنتیک
هنگامی که یک کودک مبتلا به رتینوبلاستوما تشخیص داده میشود، مهم است که بدانیم این بیماری فرم ارثی (مادر زادی) است یا غیر ارثی.
اگر تومور در هر دو چشم یافت شود (رتینوبلاستوم دوطرفه)، میتوان فرض کرد که کودک دارای رتینوبلاستوما ارثی است (حتی اگر سابقه خانوادگی این بیماری وجود نداشته باشد). این بدان معناست که آنها ژن جهش یافته RB1 را در تمام سلولهای خود حمل میکنند. برخی از کودکان مبتلا به رتینوبلاستوما تنها در یک چشم ممکن است ژن جهش یافته RB1 را در تمام سلولهای خود حمل کنند.
برای بررسی تغییر ژن RB1 در سلولهای خارج از چشم میتوان آزمایش خون انجام داد. این آزمایش معمولاً میتواند تشخیص دهد که آیا کودک دارای فرم ارثی رتینوبلاستوما است یا خیر.
دانستن نوع بیماری کودک مهم است زیرا کودکان مبتلا به رتینوبلاستوما ارثی در معرض خطر بیشتری برای ابتلا به سرطانهای دیگر در زندگی خود هستند و در صورت دریافت پرتو درمانی احتمال ابتلا به سرطان در آنها بیشتر است. این کودکان پس از درمان نیاز به پیگیری دقیق خواهند داشت. آنها همچنین شانس ۵۰ درصدی انتقال ژن RB1 را به هر یک از فرزندان خود خواهند داشت.
کودکی که به شکل ارثی رتینوبلاستوما مبتلا باشد، میتواند پیامدهایی برای سایر اعضای خانواده مانند برادران یا خواهران نیز داشته باشد که ممکن است حامل تغییر ژن RB1 باشند. ملاقات با یک مشاور ژنتیک میتواند به شما ایده بهتری درباره این خطر بدهد و اینکه آیا سایر فرزندان خانواده باید برای جهش آزمایش شوند یا خیر.
گاهی اوقات آزمایشها نمیتوانند با قطعیت بگویند که آیا یک کودک تغییر ژن RB1 را به ارث برده است یا خیر. در این موارد، ایمن ترین برنامه این است که بر کودک (و سایر کودکان خانواده) از نظر رتینوبلاستوما با معاینات مکرر چشم نظارت دقیق شود.
تستهای دیگر
آزمایشات دیگر اغلب برای رتینوبلاستوما مورد نیاز نیست اما ممکن است در برخی شرایط مفید باشد.
بیوپسی (Biopsy)
برای اکثر سرطانها، بیوپسی (برداشتن نمونه بافت از تومور و مشاهده آن در زیر میکروسکوپ) برای تشخیص مورد نیاز است اما تلاش برای بیوپسی یک تومور در پشت چشم اغلب میتواند به چشم آسیب برساند و ممکن است سلولهای تومور را گسترش دهد، بنابراین این کار تقریباً هرگز برای تشخیص رتینوبلاستوما انجام نمیشود. در عوض، پزشکان تشخیص را بر اساس معاینات چشمی و آزمایشهای تصویر برداری، مانند موارد ذکر شده در بالا، انجام میدهند. به همین دلیل است که تشخیص رتینوبلاستوما توسط متخصصان بسیار مهم است.
پونکسیون کمری یا Lumbar puncture (تپ ستون فقرات یا spinal tap)
گاهی اوقات رتینوبلاستوما میتواند در امتداد عصب بینایی رشد کند که چشم را به مغز متصل میکند. اگر سرطان به سطح مغز گسترش یافته باشد، این آزمایش اغلب میتواند سلولهای سرطانی را در نمونههای مایع مغزی نخاعی (CSF یا cerebrospinal fluid) که مایعی است که مغز و نخاع را احاطه کرده است، پیدا کند. اکثر کودکان مبتلا به رتینوبلاستوما نیازی به پونکسیون کمری ندارند. این عمدتاً زمانی استفاده میشود که دلیلی وجود داشته باشد که فکر کنیم رتینوبلاستوما ممکن است به مغز سرایت کرده باشد.
به طور معمول برای این آزمایش، به کودک داروی بیهوشی داده میشود تا در طول عمل خواب باشد و حرکت نکند. این کار میتواند ما را مطمئن کند که ضربه ستون فقرات تمیز انجام میشود. پزشک ابتدا ناحیه ای را در قسمت پایین کمر روی ستون فقرات بی حس میکند. سپس یک سوزن کوچک و توخالی بین استخوانهای ستون فقرات قرار داده میشود تا مقدار کمی از مایع خارج شود و سپس برای آزمایش به آزمایشگاه فرستاده میشود.
آسپیراسیون مغز استخوان (Bone marrow aspiration) و بیوپسی

این 2 آزمایش ممکن است برای بررسی اینکه آیا سرطان به مغز استخوان – بخش نرم و داخلی برخی از استخوانها – گسترش یافته است یا خیر، انجام شود. این آزمایشها معمولاً مورد نیاز نیستند، مگر اینکه رتینوبلاستوما در خارج از چشم رشد کرده باشد و پزشکان مشکوک باشند که ممکن است به مغز استخوان نیز سرایت کرده باشد.
آزمایشها معمولاً در همان زمان انجام میشوند. نمونهها معمولاً از پشت استخوان لگن (hip) گرفته میشوند اما گاهی اوقات ممکن است از استخوانهای دیگر گرفته شوند. معمولاً به کودک داروی بیهوشی داده میشود تا در طول عمل خواب باشد.
برای آسپیراسیون مغز استخوان، یک سوزن نازک و توخالی سپس وارد استخوان میشود و از یک سرنگ برای مکیدن (اسپیراسیون) مقدار کمی از مغز استخوان مایع استفاده میشود.
بیوپسی مغز استخوان معمولاً درست بعد از آسپیراسیون انجام میشود. یک تکه کوچک از استخوان و مغز آن را با یک سوزن کمی بزرگتر که به پایین به داخل استخوان فشار میدهند، برداشته میشود. پس از انجام بیوپسی، فشار به محل برای کمک به توقف هرگونه خونریزی وارد میشود.
نمونهها سپس به آزمایشگاه فرستاده میشوند تا از نظر وجود سلولهای سرطانی آزمایش شوند.
مراحل رتینوبلاستوما
مرحله سرطان بیانگر میزان گسترش آن است. چشم انداز (پیش آگهی) کودکان مبتلا به رتینوبلاستوما تا حدی به مرحله سرطان بستگی دارد. مرحله نیز عامل مهمی در انتخاب روش درمان است.
رتینوبلاستوما بر اساس نتایج معاینات چشمی، آزمایشهای تصویر برداری و هر آزمایشی که انجام شده است – که در مبحث تستهای مربوط به رتینوبلاستوما توضیح داده شده است – مرحله بندی میشود.
یک سیستم مرحله بندی روشی استاندارد برای تیم مراقبت از سرطان فرزند شما است تا میزان گسترش سرطان را جمع بندی کنند. پزشکان از سیستمهای مرحله بندی برای پیش بینی چشم انداز نجات بینایی کودک و همچنین برای بقا و احتمال مؤثر بودن برخی درمانها استفاده میکنند.
هنگام تعیین بهترین گزینههای درمانی، پزشکان اغلب رتینوبلاستوما را به 2 گروه اصلی تقسیم میکنند:
- رتینوبلاستوما داخل چشمی (Intraocular retinoblastoma): سرطان هنوز در داخل چشم است.
- رتینوبلاستوما خارج چشمی (Extraocular retinoblastoma): سرطان به خارج از چشم گسترش یافته است. سرطانهای خارج چشمی را میتوان به رتینوبلاستوماهای اربیتال (orbital retinoblastomas) که فقط به حفره چشم گسترش یافته و رتینوبلاستوماهای متاستاتیک (metastatic retinoblastomas) که به قسمتهای دور دست بدن مانند مغز یا مغز استخوان گسترش یافته است، تقسیم کرد.
در ایالات متحده، اکثر رتینوبلاستوماها قبل از انتشار به خارج از چشم تشخیص داده میشوند، بنابراین سیستمهای مرحله بندی که فقط برای رتینوبلاستوما داخل چشمی اعمال میشود، اغلب در این کشور استفاده میشود. 2 سیستم مرحله بندی برای رتینوبلاستوماهای داخل چشمی وجود دارد.
مهم است بدانید که صرف نظر از مرحله، تقریباً تمام کودکان مبتلا به رتینوبلاستوما داخل چشمی در صورت دریافت روند درمانی مناسب قابل درمان هستند اما مرحله تأثیر بیشتری بر روی اینکه آیا میتوان چشم آسیب دیده (یا بینایی در چشم) را نجات داد، دارد.
طبقه بندی بین المللی رتینوبلاستوما داخل چشمی
طبقه بندی بین المللی رتینوبلاستوما داخل چشمی سیستم مرحله بندی است که اکثر پزشکان اکنون از آن استفاده میکنند. رتینوبلاستوماهای داخل چشمی را بر اساس وسعت سرطان و احتمال نجات چشم با استفاده از گزینههای درمانی فعلی به 5 گروه با برچسب A تا E تقسیم میکند.
گروه A
تومورهای کوچک (با عرض بیش از 3 میلی متر [mm]) که فقط در شبکیه هستند و نزدیک ساختارهای مهمی مانند دیسک بینایی یا optic disc (محل ورود عصب بینایی به شبکیه) یا فووئولا یا foveola (مرکز بینایی) نیستند.
گروه B
تمام تومورهای دیگر (چه بزرگتر از 3 میلی متر یا نزدیک به دیسک بینایی یا فووئولا) که هنوز فقط در شبکیه هستند.
گروه C
تومورهای کاملاً مشخص با انتشار مقادیر کمی در زیر شبکیه (تزریق زیر شبکیه) یا در مواد ژله مانندی که چشم را پر میکند (vitreous seeding).
گروه D
تومورهای بزرگ یا به سختی مشخص شده با بذرهای زجاجیه یا زیر شبکیه گسترده. شبکیه ممکن است از پشت چشم جدا شده باشد.
گروه E
تومور بسیار بزرگ است، نزدیک جلوی چشم گسترش مییابد، خونریزی میکند یا باعث گلوکوم (فشار بالا در داخل چشم) میشود یا دارای ویژگیهای دیگری است که به این معنی است که تقریباً هیچ شانسی برای نجات چشم وجود ندارد.
سیستم صحنه سازی ریس-الزورث (The Reese-Ellsworth staging system)
سیستم Reese-Ellsworth در دهه 1960 توسعه یافت، زمانی که اکثر کودکان تحت درمان با پرتو درمانی خارجی (external beam radiation therapy یا EBRT) بودند. در حالی که این دیگر یک درمان رایج نیست، برخی از پزشکان ممکن است همچنان از این سیستم برای طبقه بندی رتینوبلاستوماهایی که فراتر از چشم گسترش نیافته اند، استفاده کنند. این سیستم میتواند به تعیین احتمال حفظ بینایی در حین درمان تومور کمک کند.
اصطلاحاتی مانند مطلوب (favorable)، مشکوک (doubtful) و نامطلوب (unfavorable) که در این سیستم مرحله بندی استفاده میشود به احتمال درمان سرطان در حین نجات چشم آسیب دیده اشاره دارد، نه به احتمال زنده ماندن کودک. در واقع، بیش از 9 کودک از هر 10 کودک مبتلا به رتینوبلاستوم داخل چشمی درمان میشوند. چالش اصلی حفظ بینایی در چشم آسیب دیده است.
برای توضیح گروه بندیهای زیر، تعریف چند اصطلاح کمک میکند.
- دیسک بینایی (optic disc) انتهای عصب بینایی است که به شبکیه چشم متصل میشود. رتینوبلاستوما با نگاه کردن به شبکیه از جلوی چشم تشخیص داده میشود، بنابراین پزشکان نمیتوانند اندازه آنها را مستقیماً با استفاده از خط کش اندازه گیری کنند. در عوض اندازه تومور را با اندازه دیسک بینایی که معمولاً ۵/۱ میلی متر (۱۶/۱ اینچ) عرض دارد مقایسه میکنند. به عنوان مثال، توموری که 3 برابر اندازه دیسک تخمین زده میشود (3 قطر دیسک یا 3 DD) حدود ۵/۴ میلی متر (۱۶/۳ اینچ) عرض دارد.

خط استوا (equator) خطی خیالی است که نیمه جلو و عقب کره چشم را تقسیم میکند.
سیستم مرحله بندی ریس-الزورث رتینوبلاستوم داخل چشمی را به 5 گروه تقسیم میکند. هر چه تعداد گروه از 1 تا 5 بیشتر باشد، شانس کنترل رتینوبلاستوما یا نجات چشم یا هر بینایی مفید کمتر است.
گروه 1 (بسیار مطلوب برای حفظ [یا حفاظت] چشم)
- 1A: یک تومور، کوچکتر از 4 قطر دیسک (DD)، در استوا یا پشت آن
- 1B: تومورهای متعدد کوچکتر از 4 DD، همه در استوا یا پشت آن
گروه 2 (مناسب برای حفظ [یا حفاظت] چشم)
- 2A: یک تومور، 4 تا 10 DD، در استوا یا پشت آن
- 2B: تومورهای متعدد، با حداقل یک 4 تا 10 DD و همه در خط استوا یا پشت آن
گروه 3 (مشکوک برای نجات [یا حفاظت] چشم)
- 3A: هر توموری در جلوی خط استوا
- 3B: یک تومور، بزرگتر از 10 DD، در پشت استوا
گروه 4 (مناسب برای حفظ [یا حفاظت] چشم)
- 4A: تومورهای متعدد، برخی بزرگتر از 10 DD
- 4B: هر توموری که به سمت جلوی چشم تا ora serrata (لبه جلوی شبکیه) گسترش یابد.
گروه 5 (بسیار نامطلوب برای حفظ [یا حفاظت] چشم)
- 5A: تومورهایی که بیش از نیمی از شبکیه را درگیر میکنند.
- 5B: بذر زجاجیه (گسترش تومورها در مواد ژله مانندی که چشم را پر میکند)
سایر سیستمهای مرحله بندی
سایر سیستمهای مرحله بندی که هم شامل رتینوبلاستوماهای داخل چشمی و هم آنهایی که به خارج از چشم گسترش یافته اند (رتینوبلاستومهای خارج چشمی) اند ممکن است توسط برخی پزشکان استفاده شوند. اینها میتوانند به ویژه در کشورهایی که احتمال گسترش این سرطانها در زمان پیدا شدن وجود دارد، مفید باشند. برای مثال، سیستم مرحلهب ندی کمیسیون مشترک سرطان آمریکا یا American Joint Commission on Cancer (AJCC) ۴ اطلاعات کلیدی را در نظر میگیرد:
- T: اندازه تومور اصلی (اولیه) و میزان رشد آن در داخل و خارج چشم
- N: اینکه آیا سرطان به غدد لنفاوی مجاور رسیده است یا نه.
- M: اینکه آیا سرطان به قسمتهای دورتر بدن مانند مغز استخوان، مغز، جمجمه یا استخوانهای بلند گسترش یافته یا نه.
- H: اینکه آیا کودک به شکل ارثی رتینوبلاستوما مبتلا است یا خیر.
این سیستم میتواند برای توصیف وسعت رتینوبلاستوماها به طور دقیق مورد استفاده قرار گیرد، به ویژه برای آنهایی که در خارج از چشم پخش شده اند که به ندرت در ایالات متحده اتفاق میافتد.
سیستمهای مرحله بندی مختلف مورد استفاده برای رتینوبلاستوما میتواند گیج کننده باشد. اگر در مورد مرحله سرطان فرزندتان سوالی دارید حتما از پزشک کودک خود بپرسید.
جراحی (انوکلئاسیون) برای رتینوبلاستوما
برای بسیاری از رتینوبلاستوماها، به ویژه برای تومورهای کوچکتر، نیازی به جراحی نیست.
اما اگر تومور قبل از پیدا شدن بزرگ شده باشد، بینایی چشم ممکن است قبلاً از بین رفته باشد، بدون امید به بازگشت آن. درمان معمول در این مورد تخلیه هسته است، عملی برای برداشتن کل چشم به علاوه بخشی از عصب بینایی متصل به آن.
اگر سرطان با استفاده از درمانهای دیگری که برای نجات چشم بوده اند، درمان نشود، ممکن است انوکلئولاسیون (Enucleation) نیز مورد نیاز باشد.
این جراحی در حالی انجام میشود که کودک تحت بیهوشی عمومی (در خواب عمیق) است. در طی همان عمل، معمولاً یک ایمپلنت اربیتال قرار داده میشود تا جای کره چشم را بگیرد. ایمپلنت از سیلیکون یا هیدروکسی آپاتیت (hydroxyapatite، ماده ای شبیه به استخوان) ساخته شده است. این ایمپلنت به ماهیچههایی که چشم را حرکت میدهند متصل است، بنابراین باید به همان روشی که چشم حرکت میکند، حرکت کند.
احتمالاً فرزند شما میتواند همان روز یا روز بعد بیمارستان را ترک کند.
پس از چند هفته، میتوانید به یک چشم پزشک مراجعه کنید که یک چشم مصنوعی برای کودک شما ایجاد میکند. این یک پوسته نازک است که مانند یک لنز تماسی بزرگ روی ایمپلنت اربیتال و زیر پلکها قرار میگیرد. با اندازه و رنگ چشم باقی مانده مطابقت دارد. وقتی در جای خود قرار گرفت، تشخیص آن از چشم واقعی بسیار سخت خواهد بود.
هنگامی که رتینوبلاستوما در هر دو چشم رخ میدهد، انوکلئولاسیون هر دو چشم منجر به کوری کامل میشود. اگر هیچ یک از چشمها به دلیل آسیبی که قبلاً توسط سرطان ایجاد شده است، بینایی مفیدی نداشته باشد، این ممکن است بهترین راه برای اطمینان از از بین رفتن همه سرطان باشد. اما اگر شانسی برای حفظ دید مفید در یک یا هر دو چشم وجود داشته باشد، پزشکان ممکن است ابتدا انواع دیگر درمان را امتحان کنند.
خطرات و عوارض جانبی احتمالی
عوارض حین یا بلافاصله پس از جراحی، مانند خونریزی، واکنش به بیهوشی یا عفونت، شایع نیستند اما ممکن است رخ دهند.
بارزترین عارضه جانبی انوکلئولاسیون، از دست دادن بینایی در آن چشم است، اگرچه بیشتر اوقات بینایی به دلیل سرطان از بین رفته است.
برداشتن چشم همچنین میتواند بر رشد آینده استخوان و سایر بافتهای اطراف حفره چشم تأثیر بگذارد که میتواند ناحیه را تا حدودی فرورفته نشان دهد. استفاده از ایمپلنت اربیتال گاهی اوقات میتواند این اثر را کاهش دهد. (پرتو درمانی، که اغلب گزینه اصلی درمانی دیگر در چنین مواردی است، ممکن است همین عارضه جانبی را ایجاد کند.)
پرتو درمانی (Radiation Therapy) برای رتینوبلاستوما
این درمان از اشعه ایکس یا ذرات با انرژی بالا برای از بین بردن سلولهای سرطانی استفاده میکند. پرتو درمانی یک درمان موثر برای برخی از کودکان مبتلا به رتینوبلاستوما است. در مقایسه با جراحی، مزیت این روش احتمالاً حفظ بینایی در چشم است اما پرتو درمانی معایبی نیز دارد.
برای درمان کودکان مبتلا به رتینوبلاستوما میتوان از دو نوع پرتو درمانی استفاده کرد.
پرتو درمانی خارجی (External beam radiation therapy)
پرتو درمانی خارجی (EBRT) پرتوها از منبعی خارج از بدن را بر روی سرطان متمرکز میکند. این زمانی یک درمان رایج برای رتینوبلاستوما بود اما به دلیل عوارض جانبی که میتواند ایجاد کند، اکنون اغلب فقط برای سرطانهایی استفاده میشود که به خوبی با سایر درمانها کنترل نمیشوند.
نحوه انجام EBRT
قبل از شروع دوره درمان، تیم پرتو درمانی با آزمایشهای تصویر برداری مانند اسکنهای MRI اندازه گیریهای دقیقی انجام میدهد تا زوایای صحیح برای نشانه گیری پرتوهای تشعشعی و دوز مناسب تابش را تعیین کند. این جلسه برنامه ریزی شبیه سازی (simulation) نامیده میشود.
تابش معمولاً 5 روز در هفته و به مدت چند هفته انجام میشود.
هر جلسه درمانی بسیار شبیه به عکس برداری با اشعه ایکس است اما دوز تابش بسیار قوی تر است. در هر جلسه، کودک شما روی یک میز مخصوص دراز میکشد در حالی که یک دستگاه تابش را از زوایای دقیق ارسال میکند.
جلسه درمان واقعی هر روز فقط چند دقیقه طول میکشد اما زمان تنظیم – قرار دادن کودک شما در وضعیت مناسب برای درمان – معمولاً بیشتر طول میکشد. سر کودک در یک قالب سفارشی قرار داده شده است که شبیه به قالبی است که برای درمان استخوانهای شکسته استفاده میشود. این درمان دردناک نیست اما ممکن است به کودکان خردسال دارویی داده شود تا بخوابند تا در طول درمان بی حرکت بمانند.
اشکال جدیدتر EBRT
اکنون بسیاری از مراکز از انواع جدیدتر پرتو درمانی خارجی استفاده میکنند که میتواند تومور را با دقت بیشتری هدف قرار دهد. این امر دوزهایی را که بافتهای طبیعی اطراف دریافت میکنند کاهش میدهد که ممکن است به کاهش عوارض جانبی کمک کند.
پرتو درمانی تعدیل شده با شدت (Intensity modulated radiation therapy یا IMRT)

IMRT به پزشکان اجازه میدهد تا پرتوهای تشعشعی را شکل دهند و آنها را از چندین زاویه به سمت تومور هدف قرار دهند، همچنین شدت (قدرت) پرتوها را برای محدود کردن دوز رسیدن به بافتهای طبیعی مجاور تنظیم کنند. این ممکن است به پزشک اجازه دهد دوز بالاتری را به تومور برساند و در عین حال عوارض جانبی را کاهش دهد. بسیاری از بیمارستانهای بزرگ و مراکز سرطان اکنون از IMRT استفاده میکنند.
درمان پرتو پروتون (Proton beam therapy)

پروتونها بخشهای مثبت اتمها هستند. برخلاف پرتوهای X مورد استفاده در تشعشعات استاندارد، که هم قبل و هم بعد از برخورد با هدف خود انرژی آزاد میکنند، پروتونها آسیب کمی به بافتهایی که از آنها عبور میکنند، وارد میکنند و سپس انرژی خود را پس از طی مسافت معینی آزاد میکنند. تابش پرتو پروتون ممکن است بتواند همان سطح تابش را به تومور برساند و در عین حال آسیب بسیار کمتری به بافتهای طبیعی مجاور وارد کند.
نتایج اولیه با پرتو درمانی با پروتون امیدوارکننده است اما هنوز نسبتاً جدید است و اطلاعات دراز مدت بسیار کمی در مورد استفاده از آن برای رتینوبلاستوما وجود دارد. در حال حاضر تنها تعداد محدودی از مراکز درمانی با پرتو پروتون را در ایالات متحده ارائه میدهند.
عوارض جانبی احتمالی EBRT
برخی از عوارض جانبی EBRT پس از مدت کوتاهی از بین میروند و معمولاً جدی نیستند. مشکلات کوتاه مدت ممکن است شامل اثراتی بر روی نواحی پوستی باشد که تابش دریافت میکنند که میتواند از تغییرات خفیف مانند آفتاب سوختگی و ریزش مو تا واکنشهای پوستی شدیدتر باشد.
مهم تر از آن، EBRT میتواند به بافتهای طبیعی بدن مجاور آسیب برساند. این ممکن است در نهایت منجر به آب مروارید (کدر شدن عدسی چشم) و آسیب به شبکیه یا عصب بینایی شود که میتواند بینایی را کاهش دهد. تابش همچنین میتواند رشد استخوانها و سایر بافتهای نزدیک چشم را کاهش دهد که میتواند به مرور زمان بر ظاهر ناحیه اطراف چشم تأثیر بگذارد.
پرتو درمانی خارجی همچنین میتواند خطر ابتلا به سرطان دوم را در این ناحیه افزایش دهد. این امر به ویژه در کودکان مبتلا به فرم ارثی رتینوبلاستوما که در حال حاضر در معرض افزایش خطر ابتلا به انواع دیگر سرطان هستند، مهم است.
اشکال جدیدتر پرتو درمانی، مانند IMRT و پرتو درمانی با پروتون، تومور را با دقت بیشتری هدف قرار داده و بافت طبیعی بیشتری را حفظ میکند. این ممکن است برخی از این عوارض جانبی را نسبت به گذشته کمتر کند.
براکی تراپی یا Brachytherapy (رادیوتراپی پلاک یا plaque radiotherapy)
استفاده از براکی تراپی که به عنوان پرتو درمانی داخلی یا رادیوتراپی پلاک اپی اسکلر (episcleral plaque radiotherapy) نیز شناخته میشود، محدود به تومورهای کوچک است.
در حین براکی تراپی، مقدار کمی ماده رادیو اکتیو در قسمت بیرونی کره چشم که تومور در آن قرار دارد، قرار میگیرد و تا چند روز در آن جا باقی میماند. مواد رادیو اکتیو در یک حامل کوچک (معروف به پلاک) قرار میگیرد که به شکل یک درب بطری بسیار کوچک است. این پلاک از طلا یا سرب ساخته شده است تا از بافتهای مجاور در برابر تشعشعات محافظت کند. پرتوها مسافت بسیار کوتاهی را طی میکنند، بنابراین بیشتر آن فقط روی تومور متمرکز میشود.
این پلاک طی یک عمل کوتاه در جای خود با بخیههای ریز روی کره چشم دوخته میشود. سپس طی عملیات دوم چند روز بعد برداشته میشود. هر دو عمل در حالی انجام میشود که کودک تحت بیهوشی عمومی است (در خواب عمیق). کودک معمولاً در حالی که پلاک در جای خود قرار دارد در بیمارستان میماند.
عوارض جانبی احتمالی براکی تراپی
براکی تراپی نسبت به پرتوهای خارجی کمتر عوارض جانبی ایجاد میکند. نگرانی اصلی آسیب به شبکیه یا عصب بینایی است که میتواند ماهها بعد بینایی را تحت تأثیر قرار دهد. پیشرفتهای اخیر در درمان ممکن است این مشکل را کمتر کند. براکی تراپی با افزایش خطر ابتلا به سرطان دوم مرتبط نیست.
لیزر درمانی یا Laser Therapy (فتوکاگولاسیون یا ترموتراپی) برای رتینوبلاستوما
لیزرها پرتوهای نور بسیار متمرکزی هستند که میتوانند برای گرم کردن و تخریب بافتهای بدن استفاده شوند. گاهی اوقات میتوان از انواع مختلف لیزر درمانی برای درمان تومورهای کوچک رتینوبلاستوما استفاده کرد.
فتوکواگولاسیون لیزری (Laser photocoagulation)
فتوکواگولاسیون نوعی درمان است که از پرتو لیزر از طریق مردمک (نقطه تیره جلوی چشم) استفاده میکند. لیزر بر روی رگهای خونی که تومور را احاطه کرده و تامین میکنند متمرکز شده و با گرم کردن آنها را از بین میبرد. فتوکواگولاسیون فقط برای تومورهای کوچکتر در پشت چشم موثر است.
کودک شما در طول درمان تحت بیهوشی عمومی (در خواب عمیق) خواهد بود.
این درمان معمولاً 2 یا 3 بار انجام میشود که بین دو جلسه درمانی حدود یک ماه فاصله است.
عوارض جانبی احتمالی
در برخی موارد، لیزر درمانی میتواند به شبکیه آسیب برساند که میتواند منجر به نقاط کور شود یا به طور موقت باعث جدا شدن شبکیه از پشت کره چشم شود.
درمان حرارتی ترانس مردمک (TTT یا Transpupillary thermal therapy)
در این درمان که فقط به آن ترموتراپی (thermotherapy) نیز گفته میشود، پزشک از نوع لیزر متفاوتی نسبت به لیزر استفاده میکند. این لیزر نور مادون قرمز را مستقیماً به تومور میزند تا سلولهای تومور را گرم کرده و از بین ببرد. دماها به اندازه دمای مورد استفاده در فتوکواگولاسیون بالا نیستند، بنابراین ممکن است برخی از رگهای خونی روی شبکیه در امان باشند.
ترموتراپی را میتوان به تنهایی برای تومورهای بسیار کوچک استفاده کرد. برای تومورهای بزرگتر، میتوان آن را همراه با شیمی درمانی (به نام ترموشیمی درمانی یا thermochemotherapy) یا با پرتو درمانی (به نام ترمو رادیوتراپی یا thermoradiotherapy) استفاده کرد. به نظر میرسد گرما به درمانهای دیگر کمک میکند تا بهتر عمل کنند.
درمان در حالی که کودک در خواب است (تحت بیهوشی عمومی) معمولاً هر بار حدود 10 دقیقه انجام میشود. به طور معمول، برای کنترل هر تومور به 3 درمان با فاصله حدود یک ماه از هم نیاز است. هنگامی که به عنوان بخشی از ترموشیمی درمانی استفاده میشود، گرما معمولاً در دمای پایین تری در مدت زمان کمی طولانی تر اعمال میشود که در عرض چند ساعت پس از شیمی درمانی شروع میشود.
عوارض جانبی احتمالی
گرما درمانی گاهی اوقات میتواند باعث کوچک شدن بخشی از عنبیه (قسمت رنگی چشم) شود. سایر اثرات احتمالی شامل کدر شدن بخشی از عدسی چشم یا آسیب به شبکیه است که ممکن است بینایی را تحت تأثیر قرار دهد.
کرایوتراپی (Cryotherapy) برای رتینوبلاستوما
در کرایوتراپی، پزشک از یک پروب فلزی کوچک استفاده میکند که تا دمای بسیار پایین سرد میشود و سلولهای رتینوبلاستوما را با انجماد از بین میبرد. فقط برای تومورهای کوچک در جلوی چشم موثر است. به طور معمول برای کودکان مبتلا به چندین تومور استفاده نمیشود.
کودک در طول درمان در خواب عمیق (تحت بیهوشی عمومی) خواهد بود. پس از خواب کودک، کاوشگر روی سطح خارجی کره چشم در کنار تومور قرار میگیرد و سپس چندین بار منجمد و ذوب میشود. کرایوتراپی معمولاً 2 یا 3 بار انجام میشود که بین جلسات درمانی حدود یک ماه فاصله است.
عوارض جانبی احتمالی
کرایوتراپی میتواند باعث تورم چشم و پلک برای چند روز شود. همانند لیزر درمانی، کرایوتراپی میتواند به شبکیه آسیب برساند که میتواند منجر به ایجاد نقاط کور شود یا به طور موقت باعث جدا شدن شبکیه از پشت کره چشم شود.
شیمی درمانی (Chemotherapy) برای رتینوبلاستوما
شیمی درمانی (chemo) استفاده از داروهای ضد سرطان برای درمان سرطان است. شیمی درمانی را میتوان به روشهای مختلفی برای درمان رتینوبلاستوما تجویز کرد.
شیمی درمانی سیستمیک (Systemic chemotherapy)
داروهای شیمی درمانی را میتوان به داخل ورید (IV) تزریق یا از طریق دهان تجویز کرد. این داروها وارد جریان خون شده و به تمام بدن میرسند. این روش به عنوان شیمی درمانی سیستمیک (Systemic chemotherapy) شناخته میشود.
شیمی درمانی سیستمیک به صورت چرخه ای انجام میشود و هر درمان با یک دوره استراحت همراه است تا به بدن زمان لازم برای بهبودی داده شود. هر سیکل شیمی درمانی به طور معمول چند هفته طول میکشد و طول کل درمان اغلب چندین ماه است.
برخی از داروهای شیمی درمانی مورد استفاده برای درمان رتینوبلاستوما عبارتند از:
- کربوپلاتین (Carboplatin)
- سیس پلاتین (Cisplatin)
- وین کریستین (Vincristine)
- اتوپوزید (Etoposide)
- سیکلوفسفامید (Cyclophosphamide)
- توپوتکان (Topotecan)
- دوکسوروبیسین (Doxorubicin)
اغلب، 2 یا 3 دارو به طور همزمان تجویز میشود. یک ترکیب استاندارد کربوپلاتین، وین کریستین و اتوپوزید است، اگرچه برای تومورهای بسیار کوچک، فقط کربوپلاتین و وین کریستین ممکن است کافی باشد. اگر این داروها موثر نباشند، ممکن است از داروهای دیگر استفاده شود.
شیمی درمانی داخل شریانی (Intra-arterial chemotherapy)
گاهی اوقات به جای شیمی درمانی سیستمیک، شیمی درمانی مستقیماً به شریان چشمی – شریان اصلی خونرسانی به چشم – تزریق میشود. در این روش جدیدتر، یک کاتتر (catheter) بسیار نازک (یک لوله بلند، توخالی و قابل انعطاف) در یک شریان بزرگ در قسمت داخلی ران قرار داده میشود و به آرامی از طریق رگهای خونی تا انتهای شریان چشمی عبور میکند. (این کار در حالی انجام میشود که کودک تحت بیهوشی عمومی به خواب رفته است.)
سپس شیمی درمانی به داخل شریان تزریق میشود. دارویی که بیشتر مورد استفاده قرار میگیرد، ملفالان (melphalan) است اما از داروهای دیگری مانند کربوپلاتین و توپوتکان نیز میتوان استفاده کرد. بسته به میزان کوچک شدن تومور، این فرآیند ممکن است هر چند هفته یک بار تکرار شود.
از آن جا که شیمی درمانی مستقیماً در شریان تغذیه کننده چشم قرار میگیرد، پزشکان میتوانند از دوزهای بسیار کمتری از داروهای شیمی درمانی استفاده کنند (کمتر از 10 درصد دوزهای مورد استفاده برای شیمی درمانی سیستمیک). بنابراین، عوارض جانبی کمتری از شیمی درمانی وجود دارد.
نتایج تا کنون با این روش در چشمهای مبتلا به تومورهای پیشرفته، به طور کلی با کنترل خوب تومور و عوارض جانبی کم، امیدوار کننده بوده است. در بسیاری از موارد این روش به پزشکان اجازه داده است تا چشمی را که در غیر این صورت باید برداشته میشد، نجات دهند.
شیمی درمانی داخل زجاجیه (Intravitreal chemotherapy)
در این رویکرد جدیدتر، از یک سوزن کوچک برای تزریق داروی شیمی درمانی (معمولا ملفالان یا توپوتکان) به طور مستقیم به زجاجیه، ماده ژله مانند داخل چشم استفاده میشود. گاهی اوقات از این روش (همراه با شیمی درمانی سیستمیک یا داخل شریانی) برای درمان تومورهایی استفاده میشود که در داخل چشم گسترده هستند و با درمانهای دیگر بهتر نشده اند.
روشهای استفاده از شیمی درمانی
شیمی درمانی ممکن است در شرایط مختلف استفاده شود:
- شیمی درمانی میتواند به عنوان اولین روش درمانی برای کوچک کردن برخی از تومورهایی که به خارج از چشم گسترش نیافته اند، استفاده شود. به این عمل کاهش شیمیایی (chemoreduction) گفته میشود. سپس این تومورها را میتوان با درمانهای کانونی مانند لیزر درمانی، کرایوتراپی یا براکی تراپی به طور موثرتری درمان کرد.
- شیمی درمانی گاهی اوقات زمانی استفاده میشود که چشم قبلاً درمان یا برداشته شده باشد اما تومور به برخی از نواحی در چشم گسترش یافته است که احتمال گسترش آن را افزایش میدهد. این نوع درمان شیمی درمانی کمکی (adjuvant chemotherapy) نامیده میشود.
- شیمی درمانی سیستمیک همچنین برای درمان کودکانی که رتینوبلاستومای آنها در خارج از چشم گسترش یافته است، استفاده میشود که وضعیت بسیار بحرانی تر است. اگر سرطان به مغز گسترش یافته باشد، شیمی درمانی ممکن است مستقیماً به مایع مغزی نخاعی که آن را احاطه کرده است نیز داده شود. (این به عنوان شیمی درمانی داخل نخاعی یا intrathecal chemotherapy شناخته میشود.) تومورهای خارج از چشم ممکن است برای مدتی با دوزهای استاندارد شیمی درمانی کوچک شوند اما معمولاً دوباره شروع به رشد میکنند. به همین دلیل، اگر سرطان به سایر قسمتهای بدن گسترش یافته باشد، پزشکان توصیه میکنند که شیمی درمانی شدید تر، معمولاً همراه با پیوند سلولهای بنیادی انجام شود.
عوارض جانبی احتمالی شیمی درمانی
شیمی درمانی سیستمیک: داروهای شیمی درمانی میتوانند بر سلولهای بدن به غیر از سلولهای سرطانی تأثیر بگذارند که میتواند منجر به عوارض جانبی شود.
عوارض جانبی شیمی درمانی به انواع و دوز داروهای مورد استفاده و مدت زمان تجویز آنها بستگی دارد. عوارض جانبی کوتاه مدت احتمالی عبارتند از:
- ریزش مو
- زخمهای دهانی
- از دست دادن اشتها
- تهوع و استفراغ
- اسهال یا یبوست
- افزایش احتمال عفونت (به دلیل داشتن گلبولهای سفید بسیار کم)
- کبودی یا خونریزی آسان (به دلیل داشتن تعداد بسیار کم پلاکت خون)
- خستگی (به دلیل داشتن گلبولهای قرمز بسیار کم)
اکثر این عوارض پس از پایان دوره درمان از بین میروند. اغلب راههایی برای کاهش این عوارض وجود دارد. به عنوان مثال، میتوان داروهایی برای کمک به پیشگیری یا کاهش تهوع و استفراغ تجویز کرد. حتماً در مورد هرگونه سؤال در مورد عوارض جانبی با تیم مراقبت از سرطان فرزندتان صحبت کنید و به آنها اطلاع دهید که آیا فرزندتان عوارض جانبی دارد تا بتوان آنها را مدیریت کرد.
همراه با اثرات ذکر شده در بالا، داروهای شیمی درمانی خاص میتوانند عوارض جانبی خاصی ایجاد کنند. مثلا:
- سیس پلاتین و کربوپلاتین میتوانند بر کلیهها تأثیر بگذارند. دادن مایعات فراوان به کودک در طول درمان میتواند به کاهش این خطر کمک کند. این داروها همچنین میتوانند باعث کاهش شنوایی در کودکان خردسال به خصوص در نوزادان کمتر از 6 ماه شوند. پزشک کودک شما ممکن است شنوایی کودک شما را با آزمایشهایی در طول یا بعد از درمان بررسی کند. هنگامی که کربوپلاتین مستقیماً به بافتهای نزدیک چشم تزریق میشود (شیمی درمانی دور چشم یا periocular chemotherapy)، میتواند باعث قرمزی و تورم در ناحیه شود.
- وین کریستین میتواند به اعصاب آسیب برساند. برخی از کودکان ممکن است احساس سوزن سوزن شدن و بی حسی، به ویژه در دستها و پاهای خود کنند.
- برخی از داروهای شیمی درمانی میتوانند خطر ابتلا به سرطان گلبولهای سفید معروف به لوسمی میلوئید حاد (acute myeloid leukemia یا AML) را در سنین بالاتر افزایش دهند. خوشبختانه این امر رایج نیست.
- دوکسوروبیسین میتواند به قلب آسیب برساند. خطر این اتفاق با مقدار کل داروی داده شده افزایش مییابد. پزشکان سعی میکنند تا حد امکان با عدم تجویز بیش از دوزهای توصیه شده و با بررسی قلب با اکوکاردیوگرام (سونوگرافی قلب) در طول درمان، این خطر را محدود کنند.
- سیکلوفسفامید میتواند به مثانه آسیب برساند که میتواند باعث ایجاد خون در ادرار شود. با دادن این دارو به همراه مایعات فراوان و با دارویی به نام مسنا (mesna) که به محافظت از مثانه کمک میکند، میتوان این خطر را کاهش داد. سیکلوفسفامید همچنین میتواند شانس بچه دار شدن در آینده را کاهش دهد.
شیمی درمانی داخل شریانی: در این روش از دوزهای بسیار کمتری از شیمی درمانی استفاده میشود، بنابراین عوارض جانبی به ناحیه چشم محدود میشود. عوارض جانبی احتمالی عبارتند از:
- تورم اطراف چشم
- جدا شدن شبکیه از پشت چشم
- خونریزی داخل چشم
- ضعیف شدن عضلات حرکت دهنده چشم
- افتادگی پلک
- ریزش مژهها
عوارض جانبی احتمالی طولانی مدت هنوز مشخص نیستند زیرا این تکنیک هنوز نسبتاً جدید است. درمان ممکن است بر رگهای خونی کوچک در داخل و اطراف چشم تأثیر بگذارد، اگرچه هنوز مشخص نیست که آیا این ممکن است با بزرگتر شدن روی بینایی کودک تأثیر بگذارد یا خیر. این رویکرد همچنین کودک را در معرض مقداری تابش قرار میدهد زیرا اشعه ایکس ریل تایم (real time x-rays) برای کمک به هدایت کاتتر در محل استفاده میشود. هنوز مشخص نیست که آیا این امر ممکن است خطر ابتلا به سرطان را در آینده افزایش دهد یا حتی مقدار این افزایش چقدر است.
شیمی درمانی داخل زجاجیه ای: مانند شیمی درمانی داخل شریانی، به نظر میرسد عوارض جانبی این روش جدیدتر محدود به چشم و نواحی مجاور است. هر درمان ممکن است کمی به شبکیه آسیب برساند که ممکن است بینایی را تحت تأثیر قرار دهد.
در گذشته، این نگرانی وجود داشت که قرار دادن یک سوزن در چشم برای انجام شیمی درمانی ممکن است سوراخ کوچکی را باز کند که به سلولهای تومور اجازه میدهد به خارج از چشم پخش شوند. با این حال، مطالعات نشان داده اند که این خطر بسیار کم است و پزشکان اکنون از تکنیکهایی استفاده میکنند که این خطر را حتی بیشتر کاهش میدهد.
رویکردهای درمانی رایج
گاهی اوقات ممکن است بیش از یک نوع درمان استفاده شود. گزینههای درمانی بر اساس وسعت (مرحله) سرطان و سایر عوامل است.
اهداف درمان رتینوبلاستوما عبارتند از:
- برای رهایی از سرطان و نجات جان کودک
- برای نجات چشم در صورت امکان
- برای حفظ دید تا حد امکان
- برای محدود کردن خطر عوارض جانبی بعدی در زندگی که میتواند ناشی از درمان باشد، به ویژه سرطان دوم در کودکان با رتینوبلاستوما ارثی.
مهم ترین عواملی که به تعیین درمان کمک میکنند، عبارتند از:
- اندازه و محل تومور(ها)
- آیا سرطان فقط در یک چشم است یا هر دو
- دید در چشم چقدر خوب است.
- آیا سرطان به خارج از چشم گسترش یافته است یا خیر.
به طور کلی، بیش از 9 کودک از هر 10 کودک مبتلا به رتینوبلاستوما درمان میشوند. اگر تومور به خارج از چشم گسترش نیافته باشد، شانس بقای طولانی مدت بسیار بهتر است.
درمان رتینوبلاستوما بر اساس وسعت بیماری
اگر فرزند شما رتینوبلاستوما دارد، تعدادی از عوامل میتوانند گزینههای درمانی توصیه شده توسط پزشک کودک شما را تحت تاثیر قرار دهند. برخی از این موارد عبارتند از:
- اندازه و محل تومور(ها)
- آیا سرطان فقط در یک چشم است یا هر دو
- شانس حفظ بینایی در چشم(ها)
- آیا سرطان به خارج از چشم گسترش یافته است یا خیر.
بسیاری از این عوامل به عنوان بخشی از مرحله سرطان در نظر گرفته میشوند.
اگر رتینوبلاستوما فقط در یک چشم باشد، درمان بستگی به این دارد که آیا بینایی در چشم قابل نجات است یا خیر.
اگر رتینوبلاستوما در هر دو چشم باشد، پزشکان سعی میکنند حداقل یک چشم را در صورت امکان نجات دهند تا کودک کمی بینایی داشته باشد.
بسیاری از کودکان انواع مختلفی از درمان را دریافت خواهند کرد. ممکن است ماهها یا حتی سالها به درمان نیاز باشد.
مهم نیست که کدام نوع درمان استفاده میشود، بسیار مهم است که توسط متخصصان مراکزی که در درمان این تومورها تجربه دارند، ارائه شوند.
اگر چشم میتواند ببیند و احتمالا میتوان آن را نجات داد
برای برخی از تومورهای کوچک تر، درمانهای کانونی مانند لیزر درمانی یا کرایوتراپی ممکن است تنها درمان مورد نیاز باشد.
اما اغلب، تومورها بزرگتر یا در مناطقی هستند که درمان آنها سخت است. دوره درمان معمولاً شامل ترکیبی از شیمی درمانی و درمانهای کانونی است.
اگر از شیمی درمانی سیستمیک (شیمی درمانی که از طریق ورید انجام میشود) استفاده شود، معمولاً حدود 6 ماه برای کوچک کردن تومور تا حد امکان انجام میشود. اخیراً، بسیاری از مراکز به جای شیمی درمانی سیستمیک، شروع به شیمی درمانی مستقیماً در شریان تغذیه کننده چشم کرده اند (که به عنوان شیمیدرمانی داخل شریانی شناخته میشود). اگر سرطان به طور گسترده در داخل چشم پخش شده باشد، شیمی درمانی ممکن است مستقیماً به چشم نیز تزریق شود (که به عنوان شیمی درمانی داخل زجاجیه شناخته میشود). معمولاً چند درمان مورد نیاز است که هر کدام با فاصله چند هفته انجام میشود.
بسته به میزان کوچک شدن تومور و محل قرارگیری آن در چشم، میتوان از درمانهای کانونی متفاوتی استفاده کرد که معمولاً بعد از اولین یا دومین سیکل شیمی درمانی شروع میشوند. گزینههای درمانی ممکن است شامل براکی تراپی (رادیوتراپی پلاک)، کرایوتراپی یا لیزر درمانی (فتوکاگولاسیون یا گرما درمانی) باشد. ممکن است پرتو درمانی خارجی نیز انجام شود اما اگر چنین باشد، معمولاً تا پایان شیمی درمانی به تعویق میافتد.
اگر ترکیب این درمانها بیماری را کنترل نکند، ممکن است نیاز به برداشتن چشم باشد.
اگر چشم نتواند ببیند یا نجات یابد، اگر بینایی در چشم وجود نداشته باشد، اگر تومور در داخل چشم به حدی پیشرفته باشد که امیدی به درمان با روشهای دیگر وجود نداشته باشد یا اگر گلوکوم دردناک (افزایش فشار داخل چشم) وجود داشته باشد، چشم برداشته میشود و ایمپلنت اربیتال در جای آن قرار میگیرد.
اگر سرطان تنها یک چشم را تحت تاثیر قرار دهد، ممکن است به درمان دیگری نیاز نباشد. اما گاهی اوقات، پزشکان پس از مشاهده چشم برداشته شده در زیر میکروسکوپ، متوجه میشوند که برخی از سلولهای رتینوبلاستوما ممکن است از چشم خارج شده باشند، به این معنی که سرطان ممکن است بعداً در سایر قسمتهای بدن عود کند. به این کودکان ممکن است شیمی درمانی، احتمالاً همراه با پرتو درمانی در ناحیه اطراف چشم، داده شود تا این خطر کاهش یابد.
در برخی موارد که تومورهای بزرگ در هر دو چشم وجود دارد، ممکن است ابتدا از شیمی درمانی برای کوچک کردن تومورها و اجتناب از نیاز به جراحی در هر دو چشم استفاده شود. اگر شیمی درمانی به اندازه کافی تومورها را کوچک کند، درمانهای کانونی مانند براکی تراپی (رادیوتراپی پلاک)، کرایوتراپی یا لیزر درمانی (فتوکاگولاسیون یا حرارت درمانی) ممکن است حداقل یک چشم (و مقداری بینایی) را نجات دهد.
برخی از کودکان مبتلا به رتینوبلاستوما تنها در یک چشم، ممکن است در واقع شکل ارثی رتینوبلاستوما را داشته باشند، به این معنی که احتمالاً در چشم دیگر نیز به سرطان مبتلا خواهند شد. بنابراین، برای تعیین اینکه آیا کودک مبتلا به رتینوبلاستوما ارثی است، مشاوره و آزمایش ژنتیک بسیار مهم است. در این صورت، پس از درمان باید چشم دیگر را به طور مرتب معاینه کنند.
اگر سرطان به خارج از چشم گسترش یافته باشد
در این وضعیت غیر معمول، روند درمان معمولاً ترکیبی از شیمی درمانی، پرتو درمانی و در برخی موارد جراحی است.
اگر سرطان فقط به اربیت (ناحیه اطراف چشم) گسترش یافته باشد، درمان با شیمی درمانی، برداشتن جراحی (انوکلئولاسیون) چشم و پرتو درمانی به چشم اغلب موفقیت آمیز است.
اگر سرطان در خارج از مدار چشم به نقاط دورتر بدن مانند کبد یا استخوانها و مغز استخوان گسترش یافته باشد، شانس درمان با استفاده از شیمی درمانی استاندارد و سایر درمانها چندان خوب نیست. در این موارد معمولاً استفاده از دوزهای بالاتر شیمی درمانی و به دنبال آن پیوند سلولهای بنیادی توصیه میشود.
سرطانهایی که به مغز گسترش یافته اند (از جمله رتینوبلاستوماهای سه جانبه که رتینوبلاستوماهایی هستند که معمولاً از غده صنوبری شروع میشوند) درمان بسیار سخت است. شیمی درمانی با دوز بالا و پیوند سلولهای بنیادی تا حدی نوید بخش این سرطانهاست. آزمایشهای بالینی با استفاده از سایر درمانهای جدیدتر نیز ممکن است گزینه مناسبی در این شرایط باشد.
اگر سرطان پس از درمان اولیه در چشم عود کند
درمان سرطانی که در چشم عود میکند بستگی به اندازه و محل تومور و درمانهایی دارد که اولین بار استفاده شده است.
اگر تومور کوچک باشد، اغلب میتوان بینایی کودک را نجات داد و سرطان را با درمانهای موضعی مانند کرایوتراپی، لیزر درمانی، پرتو درمانی (اگر قبلاً استفاده نشده است) یا سایر درمانها از بین برد. شیمی درمانی ممکن است ابتدا برای کوچک کردن تومور انجام شود که ممکن است به درمانهای دیگر کمک کند تا بهتر عمل کنند.
اگر بینایی کودک قابل حفظ نباشد، ممکن است نیاز به برداشتن چشم باشد.
در هر صورت، تا زمانی که سرطان همچنان محدود به چشم باشد، شانس درمان بسیار خوب است.
اگر بعد از درمان اولیه سرطان به خارج از چشم بازگردد
درمان سرطانهایی که خارج از چشم عود میکنند، سخت تر است. گزینهها ممکن است شامل شیمی درمانی و پرتو درمانی یا شیمی درمانی با دوز بالا با پیوند سلولهای بنیادی در برخی موارد باشد. در این شرایط، درمان و شانس بهبودی مشابه آنچه در بالا توضیح داده شد (زمانی که سرطان قبل از درمان اولیه به خارج از چشم گسترش یافته است)، است.
خلاصه درمان
اگر سرطان فقط در یک چشم باشد و پتانسیل نجات بینایی خوب باشد، شیمی درمانی (از طریق ورید یا مستقیماً در شریان چشم) و درمانهای کانونی مانند کرایوتراپی، لیزر درمانی (فتوکاگولاسیون یا گرما درمانی) یا پرتو درمانی پلاک استفاده میشوند (اگرچه تومورهای بسیار کوچک که بسیار نادر هستند، میتوانند به تنهایی با درمانهای کانونی درمان شوند). اگر شانس کمی برای نجات چشم (یا دید مفید) وجود داشته باشد، احتمالاً چشم باید برداشته شود.
اگر سرطان در هر دو چشم باشد، پزشکان سعی خواهند کرد تا حد امکان بینایی را حفظ کنند. درمان معمولاً با شیمی درمانی شروع میشود و سپس درمانهای کانونی انجام میشود. اگر این درمانها مؤثر نباشند، ممکن است همچنان به جراحی نیاز باشد.
اگر سرطان به خارج از چشم گسترش یافته باشد، درمان معمولاً ترکیبی از شیمی درمانی، پرتو درمانی و در برخی موارد جراحی است.
در همه موارد، کودکانی که رتینوبلاستوما داشته اند باید برای مدتی پس از درمان به دقت تحت نظر باشند.
چه چیزی در تحقیقات رتینوبلاستوما جدید است؟
طی چند دهه گذشته، تحقیقات در مورد رتینوبلاستوما منجر به پیشرفتهای زیادی در درمان شده است که به نوبه خود منجر به نرخ درمان بسیار بالاتر و عوارض جانبی کمتری شده است. با این حال، همه کودکان درمان نمیشوند و حتی آنهایی که درمان میشوند ممکن است عوارض جانبی طولانی مدت درمان داشته باشند، بنابراین تحقیقات بیشتری مورد نیاز است.
تحقیقات در مورد رتینوبلاستوما در بسیاری از مراکز پزشکی، بیمارستانهای دانشگاهی و سایر موسسات در سراسر جهان در حال انجام است.
ژنتیک، آزمایش ژنتیک و ژن درمانی
ژن معیوب مسئول تقریباً همه رتینوبلاستوماها (ژن RB1) در سال 1986 شناسایی شد. این کشف، همراه با پیشرفتهای فنی در یافتن تغییرات DNA، آزمایش ژنتیکی برای رتینوبلاستوما ارثی (ارثی) را ممکن ساخته است.
تحقیقات زیادی برای کشف اینکه چگونه برخی تغییرات DNA در سلولهای شبکیه باعث سرطانی شدن آنها میشود، انجام شده است. دانشمندان این تغییرات را برای رتینوبلاستوما بهتر از سایر انواع سرطان درک میکنند. اگرچه احتمالاً هنوز سالها برای رسیدن به این هدف باقی مانده است اما محققان امیدوارند که این درک روزی به ژن درمانی منجر شود، درمانهای بسیار خاصی که میتوانند این تغییرات DNA را ترمیم یا خنثی کنند.
به عنوان مثال، محققان دریافته اند که یک انکوژن به نام SYK در سلولهای رتینوبلاستوما بیش فعال است. داروهایی که پروتئینی که این ژن میسازد را هدف قرار میدهند، اکنون در حال توسعه هستند. به نظر میرسد ژن دیگری به نام MDM4 نیز در ایجاد رتینوبلاستوما نقش داشته باشد و داروهایی با هدف جلوگیری از اثرات آن در حال مطالعه هستند.
محققان همچنین دریافتهاند که به نظر نمیرسد بخش بسیار کوچکی از رتینوبلاستوماها تغییراتی در ژن RB1 داشته باشند اما در عوض کپیهای زیادی از ژن دیگری به نام MYCN دارند. به نظر میرسد این سرطانها از جهات مهمی با سرطانهای دارای تغییرات ژن RB1 متفاوت هستند.
درمان
تحقیقات بر روی پیشرفتهای صورت گرفته در درمان رتینوبلاستوما در چند دهه گذشته انجام شده است.
پرتو درمانی
پرتو درمانی خارجی را میتوان برای درمان رتینوبلاستوما استفاده کرد اما میتواند عوارض جانبی ایجاد کند زیرا اشعه اغلب به بافتهای مجاور نیز میرسد. این امر به ویژه در کودکان مبتلا به رتینوبلاستوما ارثی که سلولهای آنها بیشتر در معرض آسیب اشعه هستند، اهمیت دارد.
اشکال جدیدتر پرتو درمانی مانند پرتو درمانی تعدیلشده شدت (IMRT) و پرتو درمانی با پروتون میتوانند تومور را بهتر هدف قرار دهند و بافتهای طبیعی مجاور را حفظ کنند. این تکنیکها، که در مبحث پرتو درمانی برای رتینوبلاستوما توضیح داده شده اند، ممکن است به پزشکان در محدود کردن عوارض جانبی پرتو درمانی کمک کنند.
درمانهای کانونی
پزشکان به بهبود تکنیکهای مورد استفاده برای سرما درمانی، لیزر درمانی (فوتوکاگولاسیون و گرما درمانی) و سایر درمانهای کانونی ادامه میدهند. هدف این است که سلولهای تومور را با دقت بیشتری از بین ببریم و در عین حال از آسیب سایر قسمتهای چشم خود داری کنیم.
شیمی درمانی
شیمی درمانی (chemo) نقش بیشتری در درمان بسیاری از رتینوبلاستوماها در سالهای اخیر ایفا کرده است.
شیمی درمانی سیستمیک: شیمی درمانی در ورید (IV) در حال حاضر معمولاً برای کوچک کردن تومورها قبل از درمانهای موضعی مانند کرایوتراپی یا لیزر درمانی استفاده میشود. همچنین به برخی از کودکان پس از برداشتن چشم (به عنوان شیمی درمانی کمکی) برای کمک به جلوگیری از عود رتینوبلاستوما در خارج از چشم، شیمی درمانی داده میشود. پزشکان همچنین در حال مطالعه استفاده از داروهای شیمی درمانی مختلف و همچنین روشهای جدید ترکیب داروهای مورد استفاده در حال حاضر، هستند تا سعی کنند عملکرد شیمی درمانی را بهبود بخشند.
شیمی درمانی موضعی: پزشکان به بهبود روشهای جدیدتر وارد کردن شیمی به چشم، مانند شیمی درمانی داخل شریانی و شیمی داخل زجاجیه ادامه میدهند. این رویکردها به پزشکان اجازه میدهد تا دوزهای بالاتری از شیمی درمانی را به تومورها برسانند و در عین حال بسیاری از عوارض جانبی معمول شیمی درمانی را کاهش دهند و به سرعت بخشی از درمان استاندارد برای بسیاری از رتینوبلاستوماها میشوند. این تکنیکها در مبحث شیمی درمانی برای رتینوبلاستوما توضیح داده شده است.
شیمی درمانی با دوز بالا و پیوند سلولهای بنیادی: پیوند سلولهای بنیادی (stem cell transplant یا SCT) به پزشکان اجازه میدهد دوزهای بالاتری از شیمی درمانی را نسبت به آنچه که میتوان با خیال راحت انجام داد، ارائه دهند. (در گذشته، این نوع درمان معمولاً به عنوان پیوند مغز استخوان یا bone marrow transplant نامیده میشد.) پزشکان در حال مطالعه استفاده از این نوع درمان در کودکان مبتلا به رتینوبلاستوما هستند که به خارج از چشم گسترش یافته و بعید است با درمانهای دیگر درمان شوند.
داروهای شیمی درمانی میتوانند بر سلولهایی که به سرعت تقسیم میشوند مانند مغز استخوان – جایی که سلولهای خونی جدید ساخته میشوند – تأثیر بگذارند. حتی اگر دوزهای بالاتر از این داروها ممکن است در درمان تومورها موثرتر باشد، نمیتوان آنها را تجویز کرد زیرا باعث آسیب شدید به سلولهای مغز استخوان میشود که منجر به کمبود سلولهای خونی تهدید کننده زندگی میشود.
برای دور زدن این مشکل، پزشک ممکن است کودک را با شیمی درمانی با دوز بالا (گاهی همراه با پرتو درمانی) درمان کند و سپس از پیوند سلولهای بنیادی برای “نجات” مغز استخوان استفاده کند.
درمان ویروس انکولیتیک (Oncolytic virus therapy)
محققان همچنین در حال تلاش برای یافتن راههایی برای استفاده از تغییرات ژنی در سلولهای رتینوبلاستوما برای درمان این تومورها هستند. یک مثال VCN-01 است، ویروسی که در آزمایشگاه برای آلوده کردن و از بین بردن سلولهایی که نسخههای فعال ژن RB1 (که اکثریت قریب به اتفاق رتینوبلاستوماها را شامل میشود) را ندارند، اصلاح شده است. این درمان در حال حاضر در مراحل اولیه آزمایشات بالینی در حال بررسی است.
همچنین بخوانید:
- سرطان پوست سلول بازال و سنگفرشی چیست؟ علائم، تشخیص و درمان
- مولتیپل میلوما (Multiple Myeloma) چیست؟ انواع، علائم، تشخیص و درمان
- نوروبلاستوما (Neuroblastoma) چیست؟ علائم، تشخیص، پیشگیری و درمان
- استئوسارکوم (Osteosarcoma) چیست؟ علائم، تشخیص، پیشگیری و درمان
مترجم: فاطمه فریادرس




کسی که 60سال سن دارد والان دو سال توده رشد ندارن احتمال اینکه دیگه رشد نکند هست
به سابقه پزشکی شما کاملا مربوط است از پزشک خود مشورت بگیرید
آیاتداوی retinoblastoma درکودکان بدون تخلیه چشم امکان دارد؟
با پزشک خود مشورت کنید
سلام خسته نباشید اگر یک فرزند پسر مبتلا به رتینو بلاستوما ارثی از یک خانواده به دنیا امده باشد در صورتی که هیچ یک از والدین مبتلا نباشد در بارداری بعدی امکان ابتلا چقدر است و ایا از طریق امنیو سنتز قابل تشخیص است ?
رتینوبلاستوما (Retinoblastoma) یک نوع نادر اما شدید سرطان چشم در کودکان است که میتواند به صورت ارثی یا غیرارثی بروز کند. در موارد ارثی، این بیماری به دلیل جهش در ژن RB1 (که یک ژن سرکوبکننده تومور است) به وجود میآید. اگر یک فرزند مبتلا به رتینوبلاستوما ارثی باشد ولی هیچیک از والدین مبتلا نباشند، احتمالاً جهش جدید (de novo) در ژن RB1 رخ داده است.
احتمال ابتلای فرزند بعدی
اگر جهش در ژن RB1 در فرزند اول به صورت de novo رخ داده باشد و این جهش به طور ژرمینال (در تمامی سلولها) باشد، والدین میتوانند ناقل این جهش باشند. در این صورت، احتمال انتقال این جهش به فرزند بعدی وجود دارد. به طور کلی:
جهش جدید در ژن RB1:
اگر جهش در فرزند اول به صورت de novo و ژرمینال باشد، هر یک از والدین ممکن است ناقل این جهش شوند، حتی اگر هیچگونه علائمی از بیماری نداشته باشند.
احتمال انتقال جهش به فرزند بعدی 50 درصد است اگر یکی از والدین ناقل باشد.
جهش سوماتیک:
اگر جهش به صورت سوماتیک باشد (فقط در سلولهای خاصی مانند سلولهای شبکیه) و ژرمینال نباشد، احتمال ابتلای فرزند بعدی کم است.
تشخیص پیش از تولد
آمنیوسنتز و تشخیص ژنتیکی
آمنیوسنتز یک روش تشخیصی پیش از تولد است که در آن نمونهای از مایع آمنیوتیک (مایع دور جنین) گرفته میشود و برای بررسیهای ژنتیکی مورد استفاده قرار میگیرد. این روش میتواند به تشخیص جهشهای ژنتیکی مانند جهش در ژن RB1 کمک کند.
مراحل آمنیوسنتز:
مشاوره ژنتیکی:
پیش از انجام آمنیوسنتز، مشاوره ژنتیکی توصیه میشود تا والدین از مزایا، ریسکها و محدودیتهای این روش آگاه شوند.
انجام آمنیوسنتز:
آمنیوسنتز معمولاً بین هفتههای 15 تا 20 بارداری انجام میشود.
یک نمونه کوچک از مایع آمنیوتیک با استفاده از یک سوزن نازک تحت هدایت اولتراسونوگرافی گرفته میشود.
تحلیل ژنتیکی:
نمونه مایع آمنیوتیک برای بررسی وجود جهش در ژن RB1 تحلیل میشود.
اگر جهش موجود باشد، میتوان وجود رتینوبلاستوما را پیشبینی کرد.