آزمایشگاه تحقیقاتی ژنتیک چیست؟
در آزمایشگاه ژنتیک چه اتفاقی می افتد؟
اطلاعات زیر توصیف می کند که چه اتفاقی برای نمونه در آزمایشگاه ژنتیک می افتد. نکات اصلی مورد بحث:
- روش های مختلفی که در آزمایشگاه برای انجام آزمایش های ژنتیکی به کار می رود
- چرا برخی از آزمایشات ژنتیکی اینقدر طول می کشد در حالی که برخی دیگر می توانند به سرعت انجام شوند
- چرا در بعضی موارد آزمایشگاه نمی تواند نتیجه ای پیدا کند
آزمایش ژنتیکی چیست؟
اکثر تست های ژنتیکی DNA، مواد شیمیایی موجود در سلول های ما را بررسی می کنند که به بدن ما دستورالعمل رشد و توسعه و عملکرد را می دهد. DNA، رشته ای از پیام های رمزگذاری شده است که به دستورالعمل های خاصی به نام ژن سازمان یافته است. انسانها دارای 30،000 ژن مختلف هستند که بر روی تعدادی از ساختار ها به نام کروموزومها مرتب شده اند. ما کروموزوم های خود را از والدین خود به ارث می بریم، 23 تا از مادر و 23 تا از پدر، بنابراین ما دو مجموعه 23 کروموزومی یا 23 جفت از کروموزوم را دارا هستی. اگر شما به ژنتیک به عنوان کتاب زندگی فکر کنید، DNA حروف، ژن ها کلمات و کروموزوم ها فصل ها می باشند.

ژن ها ، کروموزوم ها و DNA
آزمایشگاه تحقیقاتی ژنتیک چیست؟
تغییرات در ژن ها یا کروموزوم ها جهش نامیده می شوند. شما می توانید یک جهش را به عنوان یک اشتباه املایی یا یک سری از کلمات در یک جمله بدانید. جهش ها بسیار متداول هستند و همه ما تعدادی از آنها را حمل می کنیم. اثر یک جهش می تواند خوب یا بد باشد، یا ممکن است به هیچ وجه اثر نداشته باشد. این به عوامل محیطی، عنصر شانس یا جهش در ژنهای دیگر بستگی دارد.
اگر آنها ژن یا کروموزوم را متوقف کنند و دستورالعمل های صحیح لازم برای عملکرد صحیح بدن را تغییر دهند، جهش ها می تواند مشکلاتی ایجاد کند. بنابراین آزمایشات ژنتیکی با هدف یافتن جهش در ژن یا کروموزوم خاص انجام می شود. این آزمایشات معمولاً بر روی خون یا بعضی اوقات روی بافتهای دیگر انجام می شود. با این حال، معمولاً دانشمندان به مقدار خوبی از DNA با کیفیت بالا نیاز دارند ، بنابراین به همین دلیل یک نمونه خون ترجیح داده می شود.
کلینیک های ژنتیکی معمولاً آزمایشگاه تحقیقاتی ژنتیک خود را دارند. با این حال، از آنجا که برای بسیاری از شرایط مختلف آزمایش های ژنتیکی وجود دارد، همه آزمایشگاه ها هر آزمایش را انجام نمی دهند. این به ویژه در مورد آزمایشاتی که برای نادرترین شرایط ژنتیکی وجود دارد، انجام می شود. بنابراین، این نمونه ممکن است به آزمایشگاه دیگری ارسال شود که در آن تست خاص که پزشک می خواهد انجام دهد ، متخصص باشد.
همچنین لازم به یادآوری است که یک آزمایش ژنتیکی معمولاً فقط اطلاعاتی راجع به وضعیت آزمایش شده در آزمایشگاه تحقیقاتی ژنتیک ارائه می دهد. در نظر داشته باشید که هیچ آزمایش عمومی برای همه شرایط ژنتیکی وجود ندارد. هدف از انجام آزمایش ژنتیکی که در کلینیک ژنتیک انجام شده است، ارائه اطلاعاتی در مورد سلامتی فرد یا خانواده است. کلینیک های ژنتیکی معمولاً برای سایر موارد مانند آزمایش پدر بودن، آزمایش نمی کنند، اگرچه ممکن است در طول آزمایش اطلاعات مربوط به این موضوع آشکار شود.
آزمایشگاه های ژنتیک
دو آزمایشگاه اصلی ژنتیک وجود دارد. یکی ژنها و دیگری کروموزوم ها را بررسی می کند:
- سیتوژنتیک
اگر پزشک مشکوک شود که یک بیماری ژنتیکی به دلیل وجود یکی از کروموزوم ها ایجاد شده است، آنها از یک آزمایشگاه سیتوژنتیک می خواهند تا کروموزوم های بیمار را معاینه کند. به منظور این فرآیند از نمونه های گرفته شده از خون، پوست یا مواد حاصل از آزمایش آمنیوسنتز و آزمایش CVS استفاده می شود. ابتدا سلول ها رشد می کنند. سلول ها سپس روی اسلایدهای میکروسکوپ قرار داده شده و کروموزوم ها رنگ آمیزی می شوند تا دیدن آنها راحت تر باشد.
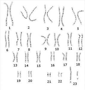
چگونه کروموزوم ها در زیر میکروسکوپ ظاهر می شوند

آزمایشگاه تحقیقاتی ژنتیک چیست
سیتوژنتیک ابتدا تعداد کروموزوم ها را بررسی می کند. برخی از شرایط به دلیل وجود کروموزوم های اضافی ایجاد می شوند. یکی از متداول ترین نمونه های این سندرم داون است. افراد مبتلا به این بیماری معمولاً یک کروموزوم اضافی در سلولهای خود دارند. سیتوژنتیک همچنین ساختار کروموزوم ها را بررسی می کند. تغییرات در ساختار کروموزوم هنگامی اتفاق می افتد که مواد در یک کروموزوم فردی به شکلی شکسته و از نو تنظیم شوند. این تغییرات می توانند آنقدر کوچک باشند که تشخیص آنها سخت باشد. گاهی اوقات تکنیک متفاوتی به نام Hybridisation Fluorescence In-Situ (FISH) برای تشخیص تغییراتی که بسیار کوچک هستند برای دیدن در زیر میکروسکوپ یا برای بررسی دو برابر یک تغییر کوچک که در زیر میکروسکوپ مشاهده می شود، استفاده می شود.

کروموزوم ها به ترتیب اندازه: کاریوتایپ
آزمایش سیتوژنتیک می تواند یک فرایند طولانی باشد. ابتدا آزمایشگاه نیاز به رشد سلولها دارد و این حداقل یک هفته طول می کشد. سپس می تواند یک هفته دیگر طول بکشد تا اسلایدها آماده شوند و کروموزوم ها را یک به یک در زیر میکروسکوپ تجزیه و تحلیل کنند.
- ژنتیک مولکولی
اگر پزشک به یک بیماری ژنتیکی که در اثر تغییر (جهش) در یک ژن ایجاد می شود مشکوک باشد، از یک آزمایشگاه ژنتیک مولکولی می خواهد تا DNA یک ژن خاص را بررسی کند. دستورالعملهای موجود در DNA به عنوان كدی تشكیل شده از چهار حرف A ، C ، G و T نوشته شده است. با این حال، یک ژن واحد ممکن است شامل 10،000 یا بیشتر حروف کد DNA باشد. بنابراین، یک متخصص ژنتیک مولکولی توانایی خواندن کد و یافتن تغییرات را داراست. اگر این تغییرات باعث شود ژن دستورات صحیحی به بدن ندهد، این می تواند یک بیماری ژنتیکی ایجاد کند.
بر خلاف کروموزوم ها، DNA را نمی توان در زیر میکروسکوپ مشاهده کرد. این متخصص ژنتیک مولکولی DNA را از سلولها استخراج می کند و از DNA برای انجام واکنش های شیمیایی خاص برای خواندن کد ژن مورد علاقه استفاده می کند. بسیاری از تکنیک های مختلف برای تشخیص جهش ها استفاده می شود. بررسی توالی DNA یکی از روشهای متداول است.
توالی DNA: تفاوت را مشاهده کنید

در اینجا یک کد کوتاه از یک ژن وجود دارد. اگر می توانید تصویر را به صورت رنگی مشاهده کنید، خواهید دید که هر حرف کد DNA با رنگی متفاوت نمایش داده می شود. تصویر در سمت چپ دنباله طبیعی را نشان می دهد و تصویر سمت راست از یک بیمار است. در تصویر سمت چپ هر حرف دارای یک “اوج” است. اما در تصویر سمت راست می بینید که این بیمار دو قله در یک موقعیت دارد، یک G (خط سیاه) و یک C (خط آبی). این نشان می دهد که در این مرحله روی یکی از جفت های کروموزومی جهش وجود دارد.
چگونه یک آزمایشگاه می داند که آیا جهش مضر است؟
در برخی شرایط آزمایشگاهی بررسی ها برای یافتن علت مشکل انجام شده ولی هیچ جهشی یافت نمی شود. دلایل زیادی وجود دارد که دلیل این امر چیست:
- گاهی اوقات یک آزمایش ژنتیکی فقط به شایع ترین جهش هایی که باعث یک بیماری خاص می شوند می پردازد و در صورت وجود جهش بسیار غیرمعمول، آزمایشگاه ممکن است آن را پیدا نکند
- دانشمندان تمام ژنهای ایجاد کننده شرایط ژنتیکی را شناسایی نکرده اند
- ممکن است بیمار شرایطی را که به نظر می رسد نداشته باشد ، و بنابراین ممکن است دانشمندان به دنبال ژن درست نباشند
مهم است که به یاد داشته باشید که تکنیک های آزمایش ژنتیک و دانش ما در مورد ژنتیک به سرعت پیشرفت می کند. بنابراین ، حتی اگر اکنون جهشی یافت نشد، هنوز هم وجود دارد که تکنیک های جدید دانشمندان را قادر می سازد تا در آینده آن را پیدا کنند.
چرا بعضی از آزمایشات ژنتیکی اینقدر طول می کشد در حالی که برخی دیگر می توانند به سرعت انجام شوند؟
اگر آزمایشگاه تحقیقاتی دقیقاً بداند که جهش را در چه مواردی جستجو می کند ( بری مثال شخص دیگری در خانواده شرایط مشابهی داشته باشد)، کار بسیار ساده تری در پیش رو دارد. در این صورت آزمون ممکن است فقط یک یا دو هفته طول بکشد.
اما اگر قبلاً هیچ جهشی در خانواده پیدا نشده باشد یا تعدادی ژن مرتبط با این بیماری وجود داشته باشد، برای رسیدن به نتیجه باید کار بیشتری انجام دارد .آزمایشگاه ژنتیک مولکولی ممکن است به جای تمرکز در یک ناحیه از یک ژن، کل ژن یا حتی بیش از یک ژن را آنالیز کند. این می تواند یک روند بسیار طولانی باشد و ماه های زیادی طول بکشد. این امر به عوامل مختلفی چون اندازه ژن و امکانات موجود در آزمایشگاه بستگی دارد.
کیفیت DNA نیز یک عامل مهمی است. گاهی اوقات آزمایشگاه ها برای شناسایی جهش خاص، باید DNA کسی را که متوفی شده است بررسی کنند. اگر DNA از فرد متوفی کیفیت پایین داشته باشد، می تواند زمان لازم برای یافتن جهش را دو یا سه برابر کند. در برخی موارد ممکن است کافی نبودن DNA آزمایش را متوقف کند.
دوره کارآموزی مهندسی ژنتیک و کلونینگ
آزمایشگاه ژنتیک مولکولی ژنیران



سلام، آیا امکان این هست که با آزمایش ژنتیک بتونیم از نژاد خودمون سر دربیاریم ، ما بزرگانمون از چند نسل میشه که مدعی عرب بودن دارن ، میخاستم بدونم میشه از طریق ژنتیک اینو اثبات کرد؟
بله، تا حدی امکانپذیر است.
با آزمایشهای ژنتیکی تبارشناسی (بهویژه Y-DNA برای خط پدری و mtDNA برای خط مادری) میتوان ریشههای جغرافیایی و جمعیتی را بررسی کرد، اما اثبات قطعی «نژاد» یا انتساب دقیق به یک قوم خاص (مثل عرب بودن) بهصورت ۱۰۰٪ ممکن نیست.
نتیجه معمولاً احتمالی و آماری است و برای تفسیر دقیق، مقایسه با پایگاههای مرجع معتبر لازم دارد.