مقدمهای بر خونسازی و انواع سلول های خونی
آشنایی و شناخت مسیرهای تولید سلول های خونی و همچنین آشنایی با مورفولوژی سلول های خونی در تشخیص اختلالات خونی از اهمیت به سزایی برخوردار است. یک هماتولوژیست موظف است با بررسی روند تولید سلول های خونی و انجام آزمایشات مختلف در این زمینه در تشخیص اختلالات خونی به پزشک معالج کمک کند.
گلبول قرمز و روند تولید آن
گلبول قرمز سلولی مقعرالطرفین است که وظیفهی اصلی آن حمل نقل اکسیژن و دی اکسید کربن است. گلبول قرمز فاقد هسته بوده ولی حاوی مقادیر زیادی هموگلوبین است. در فرایند خونسازی تولید گلبول قرمز با توجه به سن میتواند در مغز استخوان، کبد، طحال و کیسهی زرده اتفاق بیفتد.
تولید گلبولهای قرمز در مرحلهی اول از یک سلول HSC شروع شده و مرحله به مرحله در سلول های پروژینتوری و پرکورسوری ادامه یافته تا در نهایت به RBC ختم شود. سلول HSC در ابتدا به سلول پروژینیتوری CFU-GEMM تبدیل میشود که توانایی تولید سلول های گرانولوسیت، اریتروسیت، مایلوئید و مگاکاریوسیت را دارد.
CFU-GEMM در مرحلهی بعد به سلول تولید کنندهی اریتروسیت و مگاگاریوسیت یا CFU-EM تبدیل میشود. این سلولتوانایی تبدیل شدن به ردهی اریتروسیت و مگاکاریوسیتی را دارد. بعد از این مرحله اولین سلول متعهد به ردهی اریتروسیتی یا BFU.E تولید میشود. این سلول در نهایت تبدیل به سلول CFU-E شده که اخرین سلول در مرحله پروژینیتوری است و بعد از آن سلول وارد مرحلهی پرکورسوری میشود. CFU-E در ورود به مرحلهی پرکورسوری تبدیل به پرونرموبلاست میشود. در شکل زیر مراحل تولید RBC در مرحلهی پرکورسوری مشاهده میشود.

پرونرموبلاست طی تقسیمهای میتوزی به سلول های بالغتر تبدیل شده که درنهایت این سلولها وارد خون شده و یک مرحله بلوغ را طی میکنند و به RBC تبدیل میشوند. در مغز استخوان سلول های نابالغ ردهی ایتروئیدی در ارتباط با سلول های ماکروفاژ قرار دارند که در مجموع به آنها جزایر اریتروبلاستیک میگویند. به سلول های ماکروفاز در جزایر اریتروبلاستیک سلول های پرستار هم گفته میشود که از طریق ارتباط با سلول های نابالغ با استفاده از فاکتورهای رشد خونساز بلوغ این سلول ها را تنظیم میکنند.
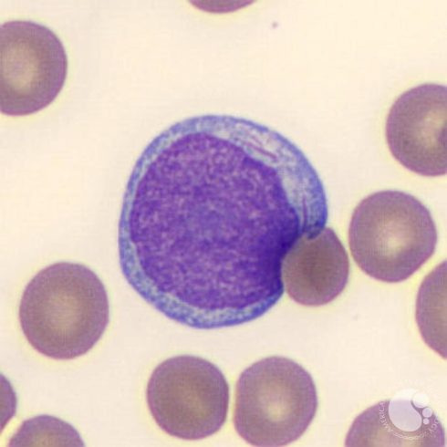
سلول پرونرموبلاست یا پرواریتروسیت

این سلولها اولین سلول قابل تشخیص با میکروسکوپ نوری هستند که با رنگآمیزی رومانوفسکی قابل تمایز از سایر سلول های نابالغ ردهی اریتروسیتی هستند. این سلول بزرگترین سلول پیشساز اریتروسیتی است و هنگام بررسی میکروسکوپی هستکهای برجسته در هستهی آن مشاهده میشود. این سلول نسبت N/C بالایی دارد و الگوی کروماتینی آن نیز ظریف و به شکل لانهی زنبور است.
در شکل ۲ تصویر یک سلول پرونرموبلاست دیده میشود. بیشتر بخوانید
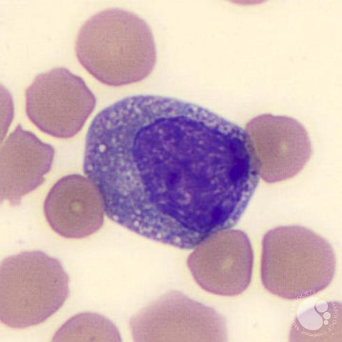
بازوفیلیک نرموبلاست

سلول های نابالغ اریتروسیتی در روند بلوغ خود رفته رفته از نظر سایز کوچکتر میشوند. سلول پرونرموبلاست طی تقسیمهای میتوز تبدیل به سلول بازوفیلیک نرموبلاست میشود که از نظر سایز از سلول پرونرموبلاست کوچک تر هستند. یک وجه تمایزی این سلولها وجود الگوی کروماتینی شبیه چرخ درشکه است که دارای پرههای پهن است. همچنین این سلول در رنگ آمیزی رومانوفسکی دارای سیتوپلاسم به شدت آبی رنگ است که به علت حضور ریبوزوم و RNA زیاد در اسن سلولها است. این سلول هم به نوبهی خود با تقسیم میتوز به سلول بالغ تر تبدیل میشود.
در تصویر ۳ سلول بازوفیلیک نرموبلاست در نمونهی مغز ساتخوان مشاهده میشود. بیشتر بخوانید

پلیکروماتوفیلیک نرموبلاست
این سلول از بالغ شدن سلول بازوفیلیک نرموبلاست طی تقسیم میتوز ایجاد میشود.
این سلول به دلیل حضور هموگلوبین در خود برخلاف سلول بازوفیلیک نرموبلاست دارای سیتوپلاسمی به رنگ پلی کروماتوفیلی (ترکیب رنگ آبی و قرمز). دلیل این تغییر رنگ تولید هموگلوبین در این سلول و تجمع آن در سیتوپلاسم سلول است.
در تصویر شماره ۴ سلول پلی کروماتوفیلیک مشاهده میشود. بیشتر بخوانید.
اورتوکروماتوفیلیک نرموبلاست

در این مرحله سلول دیگر توانایی انجام میتوز ندارد و سلول دچار تغییراتی میشود که رفته رفته به سلول نهایی تمایز پیدا کند.
در این مرحله سلول هسته خود را از دست داده و به رتیکلوسیت تبدیل میشود.
هستهی خارج شده از سلول توسط ماکروفاژهای جزایر اریتروبلاستیک برداشت میشوند.
در تصویر ۵ سلول های اورتوکروماتوفیلیک مشاهده میشوند. بیشتر بخوانید
رتیکلوسیت

سلول های رتیکلوسیت اولین سلول های رده اریتروسیتی هستند که وارد خون میشوند. سلول های رتیکلوسیتی حاوی مقادیری ریبوزوم هستند که به صورت پلی ریبوزوم دیده میشوند.
هرچقدر که رتیکلوسیت بیشتر در خون محیطی باقی میماند بالغ تر شده و به RBC تبدیل میشود.
مدت زمان بلوغ رتیکلوسیت ۳ روز است که ۱ روز آن در خون محیطی است. در صورت وجود ضرورت در خونسازی، مثل کاهش هماتوکریت یا در خونریزیها، آزادسازی رتیکلوسیت ها از مغز استخوان سریع تر اتفاق افتاده و رتیکلوسیتهای نارس تر به خون آزاد میشوند.
در تصویر شماره ۶ رتیکلوسیت مشخص شده است. بیشتر بخوانید.
تشخیص هر کدام از این سلولها در خون محیطی در بیماریهای مختلف از جمله آنمیها بسیار ارزشمند است. برای مثال کاهش تعداد سلول های رتیکلوسیت در خون محیطی در آنمیهایی مثل آنمی آپلاستیک مشاهده میشود. همچنین حضور همزمان سلول های نابالغ ردهی اریتروسیتی در خون محیطی میتواند در بیماریهای مختلف یک وجه تمایزی یا حتی بیانگر نوع خاصی از اختلال در روند خونسازی باشد. آزمایشگاه تحقیقاتی ژنیران در جهت افزایش مهارت کارآموزان در دورههای کاراموزی هماتولوژی اقدام به آموزش تشخیص و بررسی این سلولها و روشهای رنگ آمیزی آنها کرده است.
آشنایی با گلبولهای سفید و روند تولید آن
نوتروفیل
تولید سلول های نوتروفیل هم مثل گلبولهای قرمز از یک سلول HSC شروع شده و در مرحلهی پروژینیتوری و پرهکورسوری ادامه یافته تا به سلول پایانی میرسد. نوتروفیلها به عنوان بیشترین گلبولهای سفید موجود در خون شناخته میشوند. روند تولید آنها از سلول HSC تا سلول نهایی شامل ۹ مرحله است که ۳ مرحله در تمایز پروژینیتوری و ۶ مرحله در تمایز پرهکورسوری.
سلول میلوبلاست

در مرحلهی پروژینیتوری سلول HSC ابتدا به سلول CFU-GEMM تبدیل میشود. سپس این سلول به سلول CFU-GM تبدیل میشود که قابلیت تولید ردهی گرانولوسیتی و منوسیتی را دارد.
در نهایت سلول CFU-GM تبدیل به سلول CFU-G میشود که اختصاصی تولید سلول های گرانولوسیتی را بر عهده دارد. بعد از ان مرحله سلول میلوبلاست تولید میشود که اولین سلول در تمایز پرهکورسوری است.
سلول میلوبلاست همچنین اولین قابل تشخیص در ردهی میلوئیدی است که توسط میکروسکوپ نوری قابل تشخیص است. هستهی این سلول بیضی شکل بوده و دارای هستک است. در رنگ آمیزی سیتوپلاسم آن آبی بوده اما نسبت به سلول پرونرموبلاست آبی کم رنگی تری را نشان میدهد. در سیتوپلاسم آن با توجه به میزان بلوغش گرانول ممکن است دیده شود یا دیده نشود. در نوع ۱ پرونرموبلاست گرانول معمولا دیده نمیشود ولی در نوع بالغ تر گرانول دیده میشود.
سلول پرومیلوسیت

سلول میلوبلاست بعد از انجام میتوز تبدیل به سلول پرومیلوسیت میشود که کمی بزرگتر از سلول پرونرموبلاست است. در هستهی این سلول معمولا هستک دیده نمیشود اما سیتوپلاسم آن حاوی گرانولهایی به رنگ آزروفیل است.
گرانولهای این سلول حاوی آنزیمهای خاصی هستند که هرکدام در سلول نوتروفیل بالغ عملکردهای مهمی دارند.
این گرانولها ارزش تشخیصی دارند و در بدخیمیهای میلوئیدی مثل زیرگروه M2 اتصال این گرانولها به هم باعث ایجاد اجسامی به اسم آئورراد میشود.

سلول میلوسیت
این سلول در اثر میتوز سلول پرومیلوسیت ایجاد شده و اولین مرحلهای است که در آن گرانولهای اختصاصی نوتروفیل شکل میگیرند و دیده میشوند.
ظهور گرانولهای آزروفیل در این سلولها از اهمیت خاصی برخوردار بوده و اختلال در ایجاد این گرانولها منجر به یک بیماری به اسم SGD (Neutrophil-specific granule deficiency) میشود.
سلول متامیلوسیت

سلول متامیلوسیت در اثر تقسیم میتوز در سلولهای میلوسیت ایجاد میشود.
در سلول متامیلوسیت هسته دارای یک تو رفتگی است که در زیر میکروسکوپ به شکل کلیه مشاهده میشود.
در این سلولها گرانولهای نوع سوم تولید میشوند.
سلول متامیلوسیت توانایی تقسیم ندارد ولی به سلول باند تمایز پیدا میکند.
سلول باند

سلول باند در اثر تمایز سلول متامیلوسیت ایجاد میشود.
این سلول نسبت به سلول متامیلوسیت دارای هسته ای دو لوبه است.
این سلول در نهایت به نوتروفیل تبدیل میشود.
شایان ذکر است که این سلول اولین سلول ردهی میلوئیدی است که وارد خون میشود و در خون تبدیل به نوتروفیل میشود.
نوتروفیل

نوتروفیل از نظر تعداد قسمت اعظم لکوسیتها (گلبول سفید) را تشکیل میدهد و دارای یک هسته ۲ تا ۵ لوبه هستند. در این سلول گرانولهای اولیه، ثانویه و ثالثیه وجود دارند که هرکدام حاوی مواد خاصی هستند. گرانولهای اولیه حاوی آنزیم های لیزوزومی ( اسید فسفاتاز، β گلوکورونیداز و اسید هیدرولاز)، میلوپرکسیداز، آریل سولفاتاز، پروتئینهای کاتیونی ضد باکتریایی (دیفنسین، کاتپسین، آزروسیتیدین) و پروتئین ضدباکتریایی افزایش دهندهی نفوپذیری است.
در پدیدهای به اسم شیفت به چپ (shift to left) به دلایلی مثل عفونت سرعت تولید نوتروفیلها افزایش یافته و سلولهای نابالغ مثل متایلوسیت و کمی میلوسیت وارد جریان خون میشوند. سلول نوتروفیل بعد از مدتی ماندن در خون محیطی وارد بافت میشوند. در خون محیطی هم نوتروفیل ها بین دو مخزن مختلف که یکی به نام حوضچهی گرانولوسیتی در گردش و یکی حوضچه گرانولوسیتی حاشیه ای نامیده میشوند در چرخش هستند.
نوتروفیلها از طریق محتویاتی گرانولی خود و همچنین از طریق مسیرهای وابسته به NADPH میتوانند عوامل بیماریزا را از بین ببرند. نوتروفیل بعد از بلعیدن عوامل بیماریزا با استفاده از ترشحات گرانولی خود مثل BPI، لاکتوفرین و یا مواد باکتروسیدال دیگر منجر به مرگ عامل بیماریزا میشوند.
سلولهای ائوزینوفیل و روند تولید آنها

سلولهای ائوزینوفیل از سلول CFU-GEMM مشتق میشوند.
این سلول در مرحلهی بعد CFU-EO را تولید میکند.
این سلول در مرحله پروژینیتوری مراحل میلوبلاست، پرومیلوسیت، میلوسیت ائوزینوفیل، متامیلوسیت ائوزینوفیل و درنهایت باند ائوزینوفیل را طی کرده و به ائوزینوفیل بالغ تبدیل میشود.
تشخیص و تمایز سلولهای پیشساز سلولهای ائوزینوفیل از مرحله میلوسیت که در آن گرانولهای اختصاصی شکل میگیرند، امکان پذیر است.
لازم به ذکر است که ائوزینوفیلها مهمترین سلولهای بدن در فعالیت های حساسیتی و مبارزه با انگلها هستند. این سلولها از طریق مکانسیمهای مختلف مثل فاگوسیتوز و ترشح محتویات گرانولی در ایجاد ایمنی در برابر میکروبها و انگلها نقش ایفا میکنند.
بازوفیل ها و ماستسلها

بازوفیل ها همانند سایر سلولهای خونی از سلولهای HSC منشآ میگیرند. در روند تولید بازوفیل ها اولین سلول CFU-GEMM تبدیل به CFU-Baso میشود که در ادامه این سلول به میلوبلاست، میلوسیت بازوفیل، متامیلوسیت بازوفیل و در نهایت بازوفیل تبدیل میشود.
بازوفیلها کمترین تعداد گلبولهای سفید در خون را دارند و بلوغ آنها در مغز استخوان حدود ۷ روز طول میکشد.
برخلاف بازوفیلها درباره منشا سلولهای ماستسل در منابع هماتولوژی اختلاف نظر وجود دارد. برخی منشا این سلولها را سلولهای HSC و برخی منشا آنها را سلولهای مزانشیم استم سل (Mesenchymal stem cells) میدانند.
ماستسلها سلولهایی هستند که غالبا در بافت حضور دارند و همانند بازوفیلها در ایجاد واکنشهای ازدیاد حساسیت نقش دارند.
منوسیتها و ماکروفاژها

سلولهای منوسیتی از پیشساز مشترک CFU-GM تولید میشوند. این سلول در اثر یکسری فاکتور رشد و فاکتورهای رونویسی تبدیل به CFU-M میشود و در نهایت با تقسیمهای متوالی ابتدا نرموبلاست و درمراحل بعدی به ترتیب پرومنوسیت، منوسیت و ماکروفاژ تولید میشود.
منوسیتها بزرگترین سلول خون هستند که زمانی که وارد بافت میشوند.
بر اساس اینکه این سلولها در کدام بافت حضور دارند ممکن است نامهای متفاوتی داشته باشند.
برای مثال به ماکروفاژهای موجود در پوست هیستوسیت میگویند و به ماکروفاژهای موجود در کبد سلولهای کوپفر میگویند.
ماکروفاژها از طریق فاگوسیتوز عوامل عفونی و بقایای سلولی نقش خود را در سیستم ایمنی بدن ایفا میکنند. همانطور که در مبحث تولید گلبولهای قرمز به آن اشاره شد، حتی این سلولها تحت عنوان سلولهای پرستار در حمایت و بلوغ سلولهای نابالغ اریتروئیدی نیز نقش دارند.
پلاکتها و روند تولید آنها
در تولید سلولهای پلاکتی اولین سلول CFU-GEMM است تبدیل به سلول CFU-EM میشود. این سلول در روند بلوغ خود تبدیل به سلول BFU-Meg و درنهایت CFU-Meg میشود.
در مرحله پرکورسوری اولین سلول مگاکاریوبلاست است که با طی کردن روند بلوغ به سلول پرومگاکاریوسیت و در نهایت به مگاکاریوسیت تبدیل می شود.
تکامل مگاکاریوبلاست به صورت اندومیتوز است به طوری که هسته در روند تقسیم قرار دارد اما سیتوپلاسم تقسیم نمیشود.

شناخت انواع سلولهای نابالغ لکوسیتی و آگاهی از نحوهی بلوغ اسن سلولها در علم هماتولوژی از اهمیت ویژهای برخوردار است. در عمده بیماریهای خونی افزایش یا کاهش این سلولها و مشاهدهی سلولهای نابالغ ردههای مختلف لکوسیتی در خون یا مغز استخوان حاکی از اختلال در سیستم خونسازی است. متخصصان هماتولوژیست آزمایشگاهی از طریق بررسی لامهای خون محیطی و مغز استخوان در افراد و با بررسی مورفولوژیکی سلولهای خونی در تشخیص اکثر بیماریها نقش مهمی ایفا میکنند.
لنفوسیت ها روند تولید آنها
لنفوسیتها گروهی از گلبولهای سفید هستند که در روند ایجاد ایمنی در بدن نقش به سزایی دارند این سلولها به ۳ دستهی لنفوسیتهای B لنفوسیتهای T و سلولهای NK تقسیم میشوند.
لنفوسیت B
مانند تمام سلول های خونی، پیش ساز سلول B، سلول بنیادی خونساز (HSC) است. در تصویر شماره ۱۲ روند تولید لنفوسیت B از سلول HSC تا سلول لنفوسیت B بالغ نشان داده شده است.
در این مسیر سلول HSC به سلول LMPP یا سلول متعهد به ردهی لنفوسیتی تبدیل میشود. در ادامه این سلول با گزراندن مراحل بلوغ خود به سلول B نابالغ تبدیل شده و از مغز استخوان خارج میشود.
سلول B نابالغ در ادامه یا درگردش خون حضور دارد یا وارد گرههای لنفی شده و با آنتیژن برخورد کرده و به سلول بالغ تر که پلاسماسل است تبدیل میشود.

لنفوسیت T
سلول T هم مشابه سلول B از سلول CLP منشا میگیرد. این سلول با تاثیرپذیری از سایتوکاین ها و سایر عوامل مثل فعالیت فاکتورهای رونویسی خاص به سمت تولید سلول T پیش میشود. سلول CLP در روند تولید سلول T ابتدا به سلول Pro T تبدیل شده و در ادامه به سلول Pre T تبدیل میشود و در ادامه روند تکامل خود را طی کرده و برای ادامه روند تکامل خود وارد خون شده و در نهایت وارد تیموس میشود.

اطلاعات خود را درباره خونسازی و شناخت انواع سلول های خونی افزایش دهید؛ با شرکت در:




سلام ببخشید تشخیص پاتولوژی مغز استخوان . سلول نارمو چند شکلی یعنی چه.
سلولهای نارموچندشکلی به سلولهای نابالغ اریتروئیدی گفته میشود که در مغز استخوان دیده میشوند.
وجود تعداد زیاد این سلولها در گزارش پاتولوژی مغز استخوان ممکن است نشاندهنده بیماریهای خونی یا افزایش تولید گلبولهای قرمز باشد.
برای تفسیر دقیقتر، پزشک باید نتیجه آزمایش را همراه با سایر فاکتورهای خون و علائم بیمار بررسی کند.
عالی بود سپاس
خوشحالیم که مفید بوده