آرشیو دسته بندی: ویکی ژن
تردمیل موش
تردمیل ماژول برای حیوانات آزمایشگاهی کوچک یک سیستم کاملاً کامپیوتری کنترل شده الکترونیکی برای کالریمتری[بیشتر بخوانید]
6 دیدگاه
پوآر اتوماتیک
کنترل کننده پیپت، دستگاه کمکی کلاسیک است که برای همه پیپت های پاستور چه بزرگ[بیشتر بخوانید]
8 دیدگاه
کار با نرم افزار Illustrator
ایلوستریتور نرم افزار طراحی به صورت وکتور کمپانی ادوبی، تنها رقیب واقعی نرنم افزار Corel[بیشتر بخوانید]
بررسی انواع نرم افزار های گرافیکی
در گذشته که هنر گرافیک محدود به طراحی دقیق با ابزار ها و رنگ های[بیشتر بخوانید]
آشنایی با مبانی هنر های تجسمی
مبانی هنرهای تجسمی یا بصری به قواعد و اصولی گفته میشود که فراگیری و استفاده[بیشتر بخوانید]
آشنایی با طراحی گرافیک
واژه گرافیک دارای ریشه ای یونانیست به معنای طراحی کردن، اما آنچه امروزه از گرافیک[بیشتر بخوانید]
انتخاب سیستم آنزیمی یا رنگ فلورسنت مناسب
در ایمونوهیستوشیمی مانند دیگر تکنیک های ایمونواسی سه بخش مهم وجود دارد :آنتی بادی[بیشتر بخوانید]
1 دیدگاه
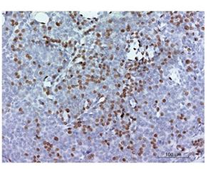
معرفی تکنیک ایمونوهیستوشیمی(IHC)
ایمونوهیستوشیمی immunohistochemistry) ) که به اختصار IHC نیز نامیده می شود ترکیبی از هیستولوژی و ایمونولوژی است. در[بیشتر بخوانید]
آنالیز کمی نتایج وسترن با نرم افزار Image J
Image J به انگلیسی مخفف واژه Image Processing and Analysis in Java) ( نرمافزاری[بیشتر بخوانید]
Immunoblotting
برای بررسی پروتیین مورد نظر پس از انجام الکتروفورز پروتیین ها به غشایی که قابلیت[بیشتر بخوانید]
SDS-PAGE و رنگ آمیزی ژل
در این روش ابتدا غلظت مشخصی از پروتئین ها را با لودینگ بافر مخلوط[بیشتر بخوانید]
اصول وسترن بلات و کاربردهای آن
وسترن بلات (که بعضاً به آن ایمونوبلوت پروتئین گفته می شود) یک روش آزمایشگاهی است[بیشتر بخوانید]
1 دیدگاه
کار با دستگاه اسپکتروفتومتر
تعیین غلظت مواد، اندازه گیری فعالیت اکثر آنزیمها، تری گلیسیرید، کلسترول، لیپو پروتئینها، قند،[بیشتر بخوانید]
آزمایشگاه تحقیقاتی چیست؟
آزمایشگاه تحقیقاتی چیست؟ آزمایشگاه ، تأسیساتی است که شرایط کنترل شده ای را فراهم می[بیشتر بخوانید]
24 دیدگاه
مقایسه کارگاه های آموزشی با دوره های کارآموزی
کارآموزی یک دوره بلندمدت در یک حوزه تخصصی می باشد که طی آن افراد[بیشتر بخوانید]
پرایمر چیست؟
پرایمر چیست؟ آغازگر (پرایمر) نوعی نوکلئیک اسید تک رشته ای کوتاه است که توسط همه[بیشتر بخوانید]
2 دیدگاه
آموزش استخراج CSF از رت
مجموعه مایع مغزی نخاعی (CSF) یک آزمایش برای بررسی مایعاتی است که مغز و[بیشتر بخوانید]
القای سرطان در موشهای کوچک آزمایشگاهی و رت: پروتکلها، مخاطرات، ابزارها و مراقبت از حیوانات
مقدمهای بر القای سرطان در موشهای کوچک آزمایشگاهی و رت موشهای صحرایی (Rattus norvegicus) و موشهای[بیشتر بخوانید]
4 دیدگاه
تفاوت بین PCR Basic و Real time PCR در چیست؟
تکامل PCR به real time PCR: PCR در شناسایی RNA و DNA کاملاً انقلابی[بیشتر بخوانید]
ایمنی زیستی و آشنایی با چهار درجه آن
سطح یک ایمنی زیستی سطح ایمنی زیستی یک ماده بر اساس ارزیابی خطر انسانی با[بیشتر بخوانید]
4 دیدگاه
نحوه خونگیری از حیوانات آزمایشگاهی
جمع آوری خون از حیوانات آزمایشگاهی کوچک برای طیف گسترده ای از تحقیقات علمی ضروری[بیشتر بخوانید]
4 دیدگاه


